留言板

尊敬的读者、作者、审稿人, 关于本刊的投稿、审稿、编辑和出版的任何问题, 您可以本页添加留言。我们将尽快给您答复。谢谢您的支持!

姓名
邮箱
手机号码
标题
留言内容
验证码

不同临床特征痛风性关节炎患者血清CXCL5、TLR4、MMP-3水平及其与关节破坏程度、血尿酸水平的相关性

李晓华 符亚璐 王丹

李晓华, 符亚璐, 王丹. 不同临床特征痛风性关节炎患者血清CXCL5、TLR4、MMP-3水平及其与关节破坏程度、血尿酸水平的相关性[J]. 昆明医科大学学报, 2025, 46(11): 90-99. doi: 10.12259/j.issn.2095-610X.S20251112
引用本文: 李晓华, 符亚璐, 王丹. 不同临床特征痛风性关节炎患者血清CXCL5、TLR4、MMP-3水平及其与关节破坏程度、血尿酸水平的相关性[J]. 昆明医科大学学报, 2025, 46(11): 90-99. doi: 10.12259/j.issn.2095-610X.S20251112
Xiaohua LI, Yalu FU, Dan WANG. The Levels of Serum CXCL5,TLR4,and MMP-3 in Gouty Arthritis Patients with Different Clinical Features and Their Correlation with the Joint Destruction and Serum Uric Acid Levels[J]. Journal of Kunming Medical University, 2025, 46(11): 90-99. doi: 10.12259/j.issn.2095-610X.S20251112
Citation: Xiaohua LI, Yalu FU, Dan WANG. The Levels of Serum CXCL5,TLR4,and MMP-3 in Gouty Arthritis Patients with Different Clinical Features and Their Correlation with the Joint Destruction and Serum Uric Acid Levels[J]. Journal of Kunming Medical University, 2025, 46(11): 90-99. doi: 10.12259/j.issn.2095-610X.S20251112

不同临床特征痛风性关节炎患者血清CXCL5、TLR4、MMP-3水平及其与关节破坏程度、血尿酸水平的相关性

doi: 10.12259/j.issn.2095-610X.S20251112
基金项目: 陕西省重点研发计划项目(2022-SF362)
详细信息
    作者简介:

    李晓华(1989~),女,陕西韩城人,医学硕士,主治医师,主要从事风湿免疫诊治工作

  • 中图分类号: R684.3

The Levels of Serum CXCL5,TLR4,and MMP-3 in Gouty Arthritis Patients with Different Clinical Features and Their Correlation with the Joint Destruction and Serum Uric Acid Levels

  • 摘要:   目的   分析不同临床特征痛风性关节炎(GA)患者血清趋化因子5(CXCL5)、Toll样受体4(TLR4)、基质金属蛋白酶-3(MMP-3)水平与关节破坏程度、血尿酸(SUA)水平的相关性及其重度GA预测价值。  方法   选择2023年6月至2025年6月期间于西安市人民医院确诊的212例GA患者(GA组)展开研究,再纳入212例体检健康者(对照组)与GA组进行对照,受试者工作特征(ROC)曲线进行预测价值分析;Pearson法进行相关性分析。  结果   GA组CXCL5、TLR4、MMP-3水平均高于对照组(P < 0.05)。不同临床分期、受累关节、痛风石、病程及年发作频率的GA患者血清CXCL5、TLR4、MMP-3表达水平比较差异有统计学意义(P < 0.05)。重度GA组CXCL5、TLR4、MMP-3水平均高于轻度GA组(P < 0.05)。当血清CXCL5、TLR4、MMP-3分别水平>612.56 pg/mL、11.15 ng/mL、12.06 ng/mL时,GA患者重度的风险更高。CXCL5、TLR4、MMP-3联合对重度GA预测的曲线下面积(AUC)为0.963。与低表达者相比,CXCL5、TLR4、MMP-3高表达者重度GA的风险分别增高2.758、2.184、2.227倍。CXCL5、TLR4、MMP-3是病情的影响因素(P < 0.05)。与低SUA组相比,高SUA组血清CXCL5、TLR4、MMP-3水平均更高(P < 0.05)。  结论   GA患者血清CXCL5、TLR4、MMP-3高表达,且与GA患者临床特征、关节破坏程度及SUA水平显著相关,临床价值较高。
  • 图  1  RCS曲线

    A:CXCL5水平与关节破坏程度之间的关系;B:TLR4水平与关节破坏程度之间的关系;C:MMP-3水平与关节破坏程度之间的关系;拐点表示阈值。

    Figure  1.  RCS curve

    图  2  ROC曲线

    Figure  2.  ROC curve

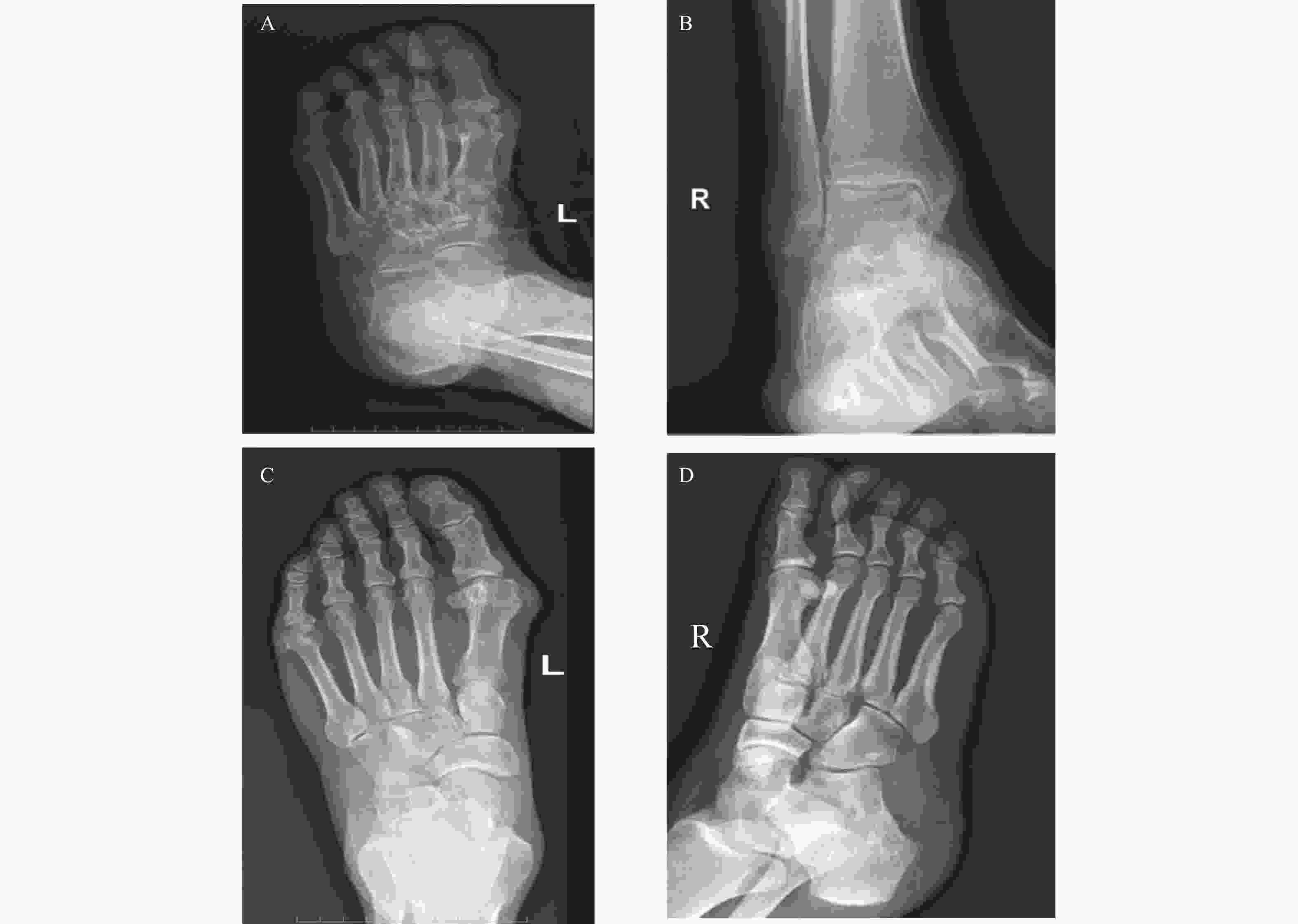
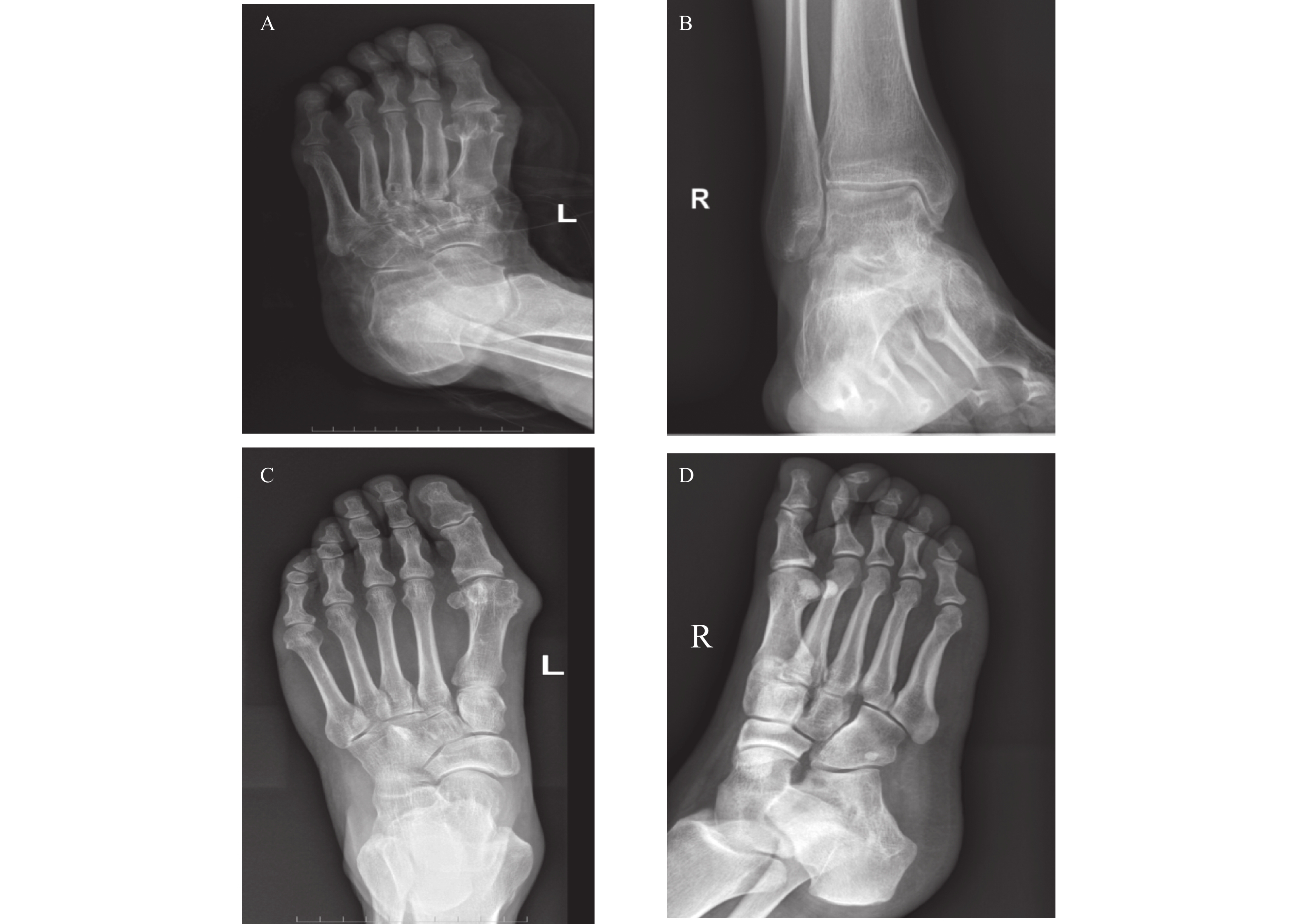
    图  3  GA患者与对照组X线图像

    A:GA患者左足X线:左足外翻;B:GA患者双踝X线:右踝关节骨质增生;C:GA患者左足X线:第1跖骨骨质欠规整;D:对照组右足X线:未见明显异常。

    Figure  3.  X-ray images of GA patients and the control group

    表  1  对照组与GA组一般资料及CXCL5、TLR4、MMP-3比较[($ \bar{x} \pm s $)/n(%)]

    Table  1.   Comparison of general data and serum CXCL5,TLR4,and MMP-3 levels between control group and GA group[($ \bar{x} \pm s $)/n(%)]

    指标 对照组(n=212) GA组(n=212) χ2/t P
    性别 0.464 0.496
     男 109(51.42) 116(54.72)
     女 103(48.58) 96(45.28)
    年龄(岁) 46.31 ± 9.14 45.67 ± 8.26 0.756 0.450
    CXCL5(pg/mL) 295.63 ± 71.45 611.80 ± 145.72 28.365 <0.001*
    TLR4(ng/mL) 3.25 ± 0.62 11.35 ± 2.18 52.036 <0.001*
    MMP-3(ng/mL) 5.73 ± 1.16 12.93 ± 2.93 33.267 <0.001*
      *P < 0.05;各组数据均经Shapiro-Wilk正态性检验及方差齐性检验,正态分布且方差齐(P > 0.05)。
    下载: 导出CSV

    表  2  不同临床特征GA患者CXCL5、TLR4、MMP-3比较[M(Q1,Q3)/($ \bar{x} \pm s $)]

    Table  2.   Comparison of serum CXCL5,TLR4,and MMP-3 levels among GA patients with different clinical characteristics [M (Q1,Q3)/($ \bar{x} \pm s $)]

    特征nCXCL5(pg/mL)H/F/tPTLR4(ng/mL)H/F/tPMMP-3(ng/mL)H/F/tP
    临床分期
     急性期139691.36(581.45,813.62)Δ#75.621<0.001*12.95(9.86,17.25)Δ#189.354<0.001*14.92(11.07,20.42)Δ#107.825<0.001*
     慢性期43535.89(465.82,608.92)Δ8.06(6.37,11.26)Δ9.65(7.43,14.91)Δ
     间歇期30335.63(281.42,379.65)3.95(1.14,6.07)6.53(4.08,9.13)
    受累关节(个)
     ≥1580741.53 ± 176.2410.418<0.001*13.92 ± 2.6213.486<0.001*14.83 ± 3.567.837<0.001*
     <15132533.18 ± 114.919.79 ± 1.8311.78 ± 2.11
    痛风石
     有63752.64 ± 183.299.828<0.001*14.08 ± 2.7411.096<0.001*15.19 ± 3.747.723<0.001*
     无149552.25 ± 109.7510.20 ± 2.1311.97 ± 2.25
    病程(年)
     ≥578738.14 ± 171.4610.188<0.001*14.26 ± 2.7214.761<0.001*15.31 ± 3.619.654<0.001*
     <5134538.26 ± 113.769.66 ± 1.8111.54 ± 2.08
    年发作频率(次)
     ≥395802.31 ± 193.6216.395<0.001*15.13 ± 2.8621.554<0.001*14.28 ± 3.726.176<0.001*
     <3117457.11 ± 108.178.28 ± 1.7211.83 ± 1.93
      *P < 0.05;与间歇期比较,ΔP < 0.05;与慢性期比较,#P < 0.05;各组数据均经Shapiro-Wilk正态性检验及方差齐性检验:间歇期组CXCL5、TLR4、MMP-3的P值分别为0.023、0.015、0.038,进行非参数检验;其他指标均符合正态分布,方差齐(P > 0.05)。
    下载: 导出CSV

    表  3  不同关节破坏程度患者指标比较($ \bar{x} \pm s $)

    Table  3.   Comparison of indicators among patients with different degrees of joint destruction($ \bar{x} \pm s $)

    指标 重度GA组(n=119) 轻中度GA组(n=93) t P
    CXCL5(pg/mL) 756.34 ± 214.73 426.85 ± 113.65 13.399 <0.001*
    TLR4(ng/mL) 14.63 ± 3.25 7.15 ± 1.69 20.160 <0.001*
    MMP-3(ng/mL) 15.09 ± 3.62 10.16 ± 2.17 11.602 <0.001*
    β-CTX(ng/mL) 1.45 ± 0.23 1.10 ± 0.18 12.067 <0.001*
    RANKL(pg/mL) 123.46 ± 48.71 178.52 ± 56.19 7.633 <0.001*
    TRACP5b(ng/mL) 3.85 ± 1.06 2.76 ± 0.64 8.746 <0.001*
    sICAM-1(pg/mL) 175.63 ± 30.45 114.28 ± 13.86 18.019 <0.001*
    sVCAM-1(pg/mL) 214.96 ± 35.62 134.18 ± 15.21 20.453 <0.001*
      *P < 0.05;均符合正态分布,方差齐(P > 0.05)。
    下载: 导出CSV

    表  4  CXCL5、TLR4、MMP-3预测价值

    Table  4.   Predictive value of CXCL5,TLR4 and MMP-3

    预测项目AUC(95%CI敏感度(95%CI,%)特异度(95%CI,%)约登指数界值
    CXCL50.797(0.737~0.849)72.27(63.30~80.10)81.72(72.40~89.00)0.540623.51
    TLR40.755(0.691~0.811)70.59(61.50~78.60)70.97(60.60~79.90)0.41610.49
    MMP-30.754(0.690~0.810)51.26(41.90~60.50)92.47(85.10~96.90)0.43712.14
    联合0.963(0.927~0.984)86.55(79.80~92.40)96.77(90.30~99.30)0.833
    下载: 导出CSV

    表  5  高、低表达CXCL5、TLR4、MMP-3与重度GA的关系[n(%)]

    Table  5.   Relationship between high and low expression of CXCL5,TLR4,MMP-3 and severe GA[n(%)]

    指标 重度GA组(n=119) 轻中度GA组(n=93) 相对危险度(95%CI χ2 P
    CXCL5
     高表达 86(72.27) 17(18.28) 2.758(2.048~3.714) 60.914 <0.001*
     低表达 33(27.73) 76(81.72)
    TLR4
     高表达 84(70.59) 27(29.03) 2.184(1.638~2.912) 36.140 <0.001*
     低表达 35(29.41) 66(70.97)
    MMP-3
     高表达 61(51.26) 7(7.53) 2.227(1.797~2.760) 45.827 <0.001*
     低表达 58(48.74) 86(92.47)
      *P < 0.05;均符合正态分布,方差齐(P > 0.05)。
    下载: 导出CSV

    表  6  病情影响因素分析

    Table  6.   Analysis of factors influencing disease severity

    影响因素 B SE Wald P OR 95%CI
    CXCL5 0.757 0.126 36.101 <0.001* 2.132 1.665~2.729
    TLR4 0.680 0.136 25.005 <0.001* 1.974 1.512~2.577
    MMP-3 0.791 0.218 13.172 <0.001* 2.206 1.439~3.382
      *P < 0.05。
    下载: 导出CSV

    表  7  不同SUA水平患者的匹配[($\bar x \pm s $)/n]

    Table  7.   Matching of patients with different SUA levels[($\bar x \pm s$)/n]

    资料 高SUA组
    n=135/50)
    低SUA组
    n=77/50)
    SMD
    年龄(岁)
     匹配前 45.08 ± 8.12 46.70 ± 8.57 0.315
     匹配后 45.16 ± 8.16 45.37 ± 8.39 0.021
    性别(男/女)
     匹配前 73/62 43/34 0.136
     匹配后 28/22 28/22 0.000
    下载: 导出CSV

    表  8  匹配前不同SUA水平患者血清CXCL5、TLR4、MMP-3比较($\bar x \pm s $)

    Table  8.   Comparison of serum CXCL5,TLR4 and MMP-3 levels among patients with different SUA levels before matching ($\bar x \pm s $)

    组别 n CXCL5(pg/mL) TLR4(ng/mL) MMP-3(ng/mL)
    高SUA组 135 716.25 ± 203.68 13.26 ± 2.87 14.56 ± 3.24
    低SUA组 77 428.67 ± 127.45 8.00 ± 1.36 10.07 ± 2.13
    t 11.196 15.131 10.887
    P <0.001* <0.001* <0.001*
      *P < 0.05。
    下载: 导出CSV

    表  9  匹配后不同SUA水平患者血清CXCL5、TLR4、MMP-3比较($\bar x \pm s$)

    Table  9.   Comparison of serum CXCL5,TLR4 and MMP-3 levels among patients with different SUA levels after matching ($\bar x \pm s $)

    组别 n CXCL5(pg/mL) TLR4(ng/mL) MMP-3(ng/mL)
    高SUA组 50 725.63 ± 211.47 14.07 ± 2.91 14.69 ± 3.15
    低SUA组 50 421.75 ± 120.68 8.04 ± 1.34 10.02 ± 2.08
    t 8.825 13.309 8.748
    P <0.001* <0.001* <0.001*
      *P < 0.05;匹配前、后高SUA组与低SUA组各指标均符合正态分布,方差齐(P > 0.05)。
    下载: 导出CSV

    表  10  相关性分析

    Table  10.   Correlation analysis

    指标 CXCL5 TLR4 MMP-3
    r P 验证P r P 验证P r P 验证P
    β-CTX 0.354 <0.001* 0.034* 0.406 <0.001* 0.031* 0.425 <0.001* 0.029*
    RANKL −0.462 <0.001* 0.021* −0.513 <0.001* 0.013* −0.631 <0.001* 0.010*
    TRACP5b 0.681 <0.001* 0.005* 0.391 <0.001* 0.032* 0.557 <0.001* 0.011*
    sICAM-1 0.661 <0.001* 0.009* 0.426 <0.001* 0.025* 0.426 <0.001* 0.027*
    sVCAM-1 0.529 <0.001* 0.011* 0.671 <0.001* 0.007* 0.369 <0.001* 0.030*
    SUA 0.461 <0.001* 0.022* 0.506 <0.001* 0.015* 0.478 <0.001* 0.019*
      *P < 0.05;各组数据符合正态分布,方差齐(P > 0.05),满足相关性分析条件;对r值,使用t检验统计量,验证*P均<0.05,拒绝原假设(即变量间无线性相关关系),存在显著相关性。
    下载: 导出CSV
  • [1] Yao T K, Lee R P, Wu W T, et al. Advances in gouty arthritis management: Integration of established therapies, emerging treatments, and lifestyle interventions[J]. Int J Mol Sci, 2024, 25(19): 10853. doi: 10.3390/ijms251910853
    [2] Yin C, Lyu Q, Dong Z, et al. Well-defined alginate oligosaccharides ameliorate joint pain and inflammation in a mouse model of gouty arthritis[J]. Theranostics, 2024, 14(8): 3082-3103. doi: 10.7150/thno.95611
    [3] Hou Z, Ma A, Mao J, et al. Overview of the pharmacokinetics and pharmacodynamics of URAT1 inhibitors for the treatment of hyperuricemia and gout[J]. Expert Opin Drug Metab Toxicol, 2023, 19(12): 895-909. doi: 10.1080/17425255.2023.2287477
    [4] Chang T T, Li S Y, Tsai M T, et al. CXCL5 inhibition ameliorates acute kidney injury and prevents the progression from acute kidney injury to chronic kidney disease[J]. Clin Sci (Lond), 2024, 138(22): 1451-1466. doi: 10.1042/CS20241713
    [5] Brandolini L, Aramini A, Bianchini G, et al. Inflammation-independent antinociceptive effects of DF2755A, a CXCR1/2 selective inhibitor: A new potential therapeutic treatment for peripheral neuropathy associated to non-ulcerative interstitial cystitis/bladder pain syndrome[J]. Front Pharmacol, 2022, 13: 854238. doi: 10.3389/fphar.2022.854238
    [6] Ciesielska A, Matyjek M, Kwiatkowska K. TLR4 and CD14 trafficking and its influence on LPS-induced pro-inflammatory signaling[J]. Cell Mol Life Sci, 2021, 78(4): 1233-1261. doi: 10.1007/s00018-020-03656-y
    [7] Shi B, Guo X, Iv A, et al. Polymorphism of MMP-3 gene and imbalance expression of MMP-3/TIMP-1 in articular cartilage are associated with an endemic osteochondropathy, Kashin- Beck disease[J]. BMC Musculoskelet Disord, 2022, 23(1): 3. doi: 10.1186/s12891-021-04952-9
    [8] 中华医学会, 中华医学会杂志社, 中华医学会全科医学分会, 等. 痛风及高尿酸血症基层诊疗指南(2019年)[J]. 中华全科医师杂志, 2020, 19(4): 293-303.
    [9] 邵苗, 张学武. 2015年欧洲抗风湿病联盟/美国风湿病学会痛风分类新标准[J]. 中华风湿病学杂志, 2015, 19(12): 854-855.
    [10] van der Heijde D. How to read radiographs according to the sharp/van der heijde method[J]. J Rheumatol, 2000, 27(1): 261-263.
    [11] Dalbeth N, Doyle A J. Imaging tools to measure treatment response in gout[J]. Rheumatology (Oxford), 2018, 57(suppl 1): i27-i34.
    [12] Keller S F, Mandell B F. Management and cure of gouty arthritis[J]. Med Clin North Am, 2021, 105(2): 297-310. doi: 10.1016/j.mcna.2020.09.013
    [13] Metzemaekers M, Mortier A, Vacchini A, et al. Endogenous modification of the chemoattractant CXCL5 alters receptor usage and enhances its activity toward neutrophils and monocytes[J]. Sci Signal, 2021, 14(673): eaax3053. doi: 10.1126/scisignal.aax3053
    [14] Park S E, Park K, Kim E, et al. CXCL5/CXCL8 induces neutrophilic inflammation in peri-implantitis[J]. J Periodontal Res, 2024, 59(4): 698-711. doi: 10.1111/jre.13230
    [15] Liang Y, Li H, Li J, et al. Role of neutrophil chemoattractant CXCL5 in SARS-CoV-2 infection-induced lung inflammatory innate immune response in an in vivo hACE2 transfection mouse model[J]. Zool Res, 2020, 41(6): 621-631. doi: 10.24272/j.issn.2095-8137.2020.118
    [16] Li C, Huang Y, Wu C, et al. Astilbin inhibited neutrophil extracellular traps in gouty arthritis through suppression of purinergic P2Y6 receptor[J]. Phytomedicine, 2024, 130: 155754. doi: 10.1016/j.phymed.2024.155754
    [17] Yin C, Liu B, Dong Z, et al. CXCL5 activates CXCR2 in nociceptive sensory neurons to drive joint pain and inflammation in experimental gouty arthritis[J]. Nat Commun, 2024, 15(1): 3263. doi: 10.1038/s41467-024-47640-7
    [18] 冼英, 符洪明. 痛风性关节炎患者血清同型半胱氨酸、补体C3水平及其与尿酸的相关性[J]. 中外医学研究, 2023, 21(22): 71-73.
    [19] Silva C R, Saraiva A L, Rossato M F, et al. What do we know about toll-like receptors involvement in gout arthritis?[J]. Endocr Metab Immune Disord Drug Targets, 2023, 23(4): 446-457. doi: 10.2174/1871530322666220523145728
    [20] Liu L, He S, Jia L, et al. Correlation analysis of serum TLR4 protein levels and TLR4 gene polymorphisms in gouty arthritis patients[J]. PLoS One, 2024, 19(4): e0300582. doi: 10.1371/journal.pone.0300582
    [21] Lin S K, Chen S T, Zhan Y, et al. The alleviatory effects of koumine on MSU-induced gouty arthritis via the TLR4/NF-κB/NLRP3 pathway[J]. Basic Clin Pharmacol Toxicol, 2024, 135(2): 133-147. doi: 10.1111/bcpt.14037
    [22] Li Z, Yu Y, Sun Q, et al. Based on the TLR4/NLRP3 pathway and its impact on the formation of NETs to explore the mechanism of ginsenoside Rg1 on acute gouty arthritis[J]. Int J Mol Sci, 2025, 26(9): 4233. doi: 10.3390/ijms26094233
    [23] Jeong J, Lim M K, Han E H, et al. Extract of Aster glehni ameliorates potassium oxonate-induced hyperuricemia by modulating renal urate transporters and renal inflammation by suppressing TLR4/MyD88 signaling[J]. Food Sci Biotechnol, 2022, 31(13): 1729-1739. doi: 10.1007/s10068-022-01153-5
    [24] Ruan H, Zhu T, Wang T, et al. Quercetin modulates ferroptosis via the SIRT1/nrf-2/HO-1 pathway and attenuates cartilage destruction in an osteoarthritis rat model[J]. Int J Mol Sci, 2024, 25(13): 7461. doi: 10.3390/ijms25137461
    [25] Qin Y Y, Qin Z Y, Liang T, et al. Phellodendrine chloride alleviates gouty arthritis through IL-6/STAT3 signaling pathway[J]. Immunobiology, 2025, 230(4): 152918. doi: 10.1016/j.imbio.2025.152918
    [26] Shi L, Yuan Z, Liu J, et al. Modified Simiaowan prevents articular cartilage injury in experimental gouty arthritis by negative regulation of STAT3 pathway[J]. J Ethnopharmacol, 2021, 270: 113825. doi: 10.1016/j.jep.2021.113825
    [27] Zhuang H, Ren X, Jiang F, et al. Indole-3-propionic acid alleviates chondrocytes inflammation and osteoarthritis via the AhR/NF-κB axis[J]. Mol Med, 2023, 29(1): 17. doi: 10.1186/s10020-023-00614-9
    [28] Wu Y, Wang Y, Yuan W, et al. Changes in serum inflammatory factors in acute gouty arthritis patients treated using ultrashort wave combined with loxoprofen sodium[J]. Pak J Med Sci, 2021, 37(7): 1788-1794.
    [29] Shi L, Liang T, Yang F, et al. Matrix Metalloproteinase-3 induces proteoglycan degradation in gouty arthritis model[J]. Gene, 2021, 765: 145120. doi: 10.1016/j.gene.2020.145120
    [30] Bourmaud M, Zarka M, Le Cozannet R, et al. Effect of Rubus idaeus extracts in murine chondrocytes and explants[J]. Biomolecules, 2021, 11(2): 245. doi: 10.3390/biom11020245
  • [1] 章敏慧, 尹维丹, 胡竹林, 黎铧, 张利伟, 任玉玲.  新型冠状病毒感染相关急性黄斑神经视网膜病变的临床特征及预后, 昆明医科大学学报. doi: 10.12259/j.issn.2095-610X.S20250412
    [2] 马建芳, 黄晓玲, 李艳华, 马狄, 袁开芬.  社区获得性肺炎合并糖尿病患者的临床特征和死亡危险因素分析, 昆明医科大学学报. doi: 10.12259/j.issn.2095-610X.S20240217
    [3] 陈靖珊, 李黎, 赏石丽, 何国勇, 周文京, 李莎, 张迪, 刘勇兰, 李俊.  IgA肾病病理特征与血脂异常的相关性分析, 昆明医科大学学报. doi: 10.12259/j.issn.2095-610X.S20230111
    [4] 耿证琴, 谢琳, 宋红莉, 李蓉, 廖冶丹, 张雪琪, 唐嘉黛.  十二指肠腺癌88例临床特征及相关预后因素, 昆明医科大学学报. doi: 10.12259/j.issn.2095-610X.S20220109
    [5] 李伟杰, 陈丽琴, 李亚玲, 韩永慧, 李小娟, 颜粉冬.  百日咳流行病学、临床特征和重症百日咳148例危险因素分析, 昆明医科大学学报. doi: 10.12259/j.issn.2095-610X.S20220824
    [6] 路伟民, 杨小涛, 朱瑛, 黄艺, 陈后余, 金海凤, 王艳春.  儿童恙虫病175例的临床特征及重症恙虫病危险因素, 昆明医科大学学报. doi: 10.12259/j.issn.2095-610X.S20220814
    [7] 鲁智英, 王美芬, 彭俊超, 杜曾庆, 罗云娇, 马薇.  小儿轮状病毒和诺如病毒性肠炎血清PCT、IL-6、SAA水平测定及临床特征的差异, 昆明医科大学学报. doi: 10.12259/j.issn.2095-610X.S20220823
    [8] 田波, 沈银忠, 白劲松, 刘俊, 陈海云, 孙建军.  艾滋病患者中播散性马尔尼菲篮状菌病与播散性非结核分枝杆菌病的临床特征, 昆明医科大学学报. doi: 10.12259/j.issn.2095-610X.S20220718
    [9] 俞志鹏, 董爱然, 张婧, 吴芳, 高明杰, 陈健, 常红, 武力勇.  基于多重影像评估的急性缺血性脑卒中临床特征, 昆明医科大学学报. doi: 10.12259/j.issn.2095-610X.S20211039
    [10] 傅永吉, 彭飞, 郭美, 严华, 沈卿诚, 柏金喜, 杨柳.  青年胃癌的临床特征, 昆明医科大学学报. doi: 10.12259/j.issn.2095-610X.S20210515
    [11] 杨金荣, 武坤, 聂波, 贺振新, 杨雨宇, 孙杰, 曾云.  成人HPS临床特征及多种细胞因子水平与预后的相关性, 昆明医科大学学报. doi: 10.12259/j.issn.2095-610X.S20211220
    [12] 杨慧波, 缪勤, 刘德良, 李斯斯.  云南省川崎病发病特征临床研究, 昆明医科大学学报. doi: 10.12259/j.issn.2095-610X.S20201121
    [13] 董玮, 袁小淋, 李皎, 李争艳, 刘维统, 余晓玲, 张颖.  滇重楼巴布剂对大鼠急性痛风性关节炎及炎症的调控机制, 昆明医科大学学报.
    [14] 杨科, 单祖建, 周琼华, 王峻峰.  可溶性细胞因子受体及基质金属蛋白酶与胰腺癌的关系, 昆明医科大学学报.
    [15] 沈雯.  肺栓塞患者178例临床特征及误诊分析, 昆明医科大学学报.
    [16] 李燕萍.  射血分数保留的心力衰竭临床特征, 昆明医科大学学报.
    [17] 杨静.  CIAPIN1基因在结肠癌组织的表达及其相关性研究, 昆明医科大学学报.
    [18] 周虹.  皮肤基底细胞癌178例临床特征及组织病理学分析, 昆明医科大学学报.
    [19] 李鲜丽.  老年HIV/AIDS患者的流行病学及临床特征分析, 昆明医科大学学报.
    [20] 成会荣.  肺结核合并糖尿病68例临床特征和疗效分析, 昆明医科大学学报.
  • 加载中
图(3) / 表(10)
计量
  • 文章访问数:  115
  • HTML全文浏览量:  99
  • PDF下载量:  11
  • 被引次数: 0
出版历程
  • 收稿日期:  2025-08-20
  • 网络出版日期:  2025-11-01
  • 刊出日期:  2025-11-28

目录

    /

    返回文章
    返回