留言板

尊敬的读者、作者、审稿人, 关于本刊的投稿、审稿、编辑和出版的任何问题, 您可以本页添加留言。我们将尽快给您答复。谢谢您的支持!

姓名
邮箱
手机号码
标题
留言内容
验证码

KRT17、STOML2和miR-196a在宫颈病变中的表达特征及其对宫颈癌预后的预测价值

吕宜华 刁雪芹 于珊 孙小荣

吕宜华, 刁雪芹, 于珊, 孙小荣. KRT17、STOML2和miR-196a在宫颈病变中的表达特征及其对宫颈癌预后的预测价值[J]. 昆明医科大学学报, 2026, 47(3): 133-142. doi: 10.12259/j.issn.2095-610X.S20260315
引用本文: 吕宜华, 刁雪芹, 于珊, 孙小荣. KRT17、STOML2和miR-196a在宫颈病变中的表达特征及其对宫颈癌预后的预测价值[J]. 昆明医科大学学报, 2026, 47(3): 133-142. doi: 10.12259/j.issn.2095-610X.S20260315
Yihua LÜ, Xueqin DIAO, Shan YU, Xiaorong SUN. Expression Profiles of KRT17,STOML2 and miR-196a in Cervical Lesions and Their Predictive Value for Cervical Cancer Prognosis[J]. Journal of Kunming Medical University, 2026, 47(3): 133-142. doi: 10.12259/j.issn.2095-610X.S20260315
Citation: Yihua LÜ, Xueqin DIAO, Shan YU, Xiaorong SUN. Expression Profiles of KRT17,STOML2 and miR-196a in Cervical Lesions and Their Predictive Value for Cervical Cancer Prognosis[J]. Journal of Kunming Medical University, 2026, 47(3): 133-142. doi: 10.12259/j.issn.2095-610X.S20260315

KRT17、STOML2和miR-196a在宫颈病变中的表达特征及其对宫颈癌预后的预测价值

doi: 10.12259/j.issn.2095-610X.S20260315
基金项目: 济南市临床医学科技创新计划(202216)
详细信息
    作者简介:

    吕宜华(1972~),女,山东济南人,医学硕士,副主任技师,主要从事输血相关免疫生物学研究工作

    通讯作者:

    刁雪芹,E-mail:diaoxueqin0802@163.com

  • 中图分类号: R711.74

Expression Profiles of KRT17,STOML2 and miR-196a in Cervical Lesions and Their Predictive Value for Cervical Cancer Prognosis

  • 摘要:   目的   探讨角蛋白17(keratin 17,KRT17)、人口型蛋白样蛋白2(stomatin-like protein 2,STOML2)、微小RNA-196a(microRNA-196a,miR-196a)在宫颈病变组织中的表达及在宫颈癌病理学评估中的价值。  方法   回顾性纳入济南市妇幼保健院2022年1月-2024年1月收治的206例患者的宫颈组织,包括宫颈癌98例、宫颈上皮瘤变(cervical intraepithelial neoplasia Ⅲ,CIN Ⅲ)65例、正常43例,采用RT-qPCR检测KRT17 mRNA、STOML2 mRNA及miR-196a表达,分析其与宫颈癌病理特征的相关性,随访宫颈癌患者1年结局,采用Cox回归筛选预后影响因素,并以ROC评估单指标及联合预测效能,Western blot对STOML2相关信号通路关键蛋白磷酸化水平进行验证。  结果  KRT17 mRNA、STOML2 mRNA及miR-196a在对照组、CIN Ⅲ组、宫颈癌组组织中呈递增表达趋势(P < 0.05);多因素Logistic结果显示,在控制混杂因素后,三种分子表达水平均为宫颈病变等级的独立影响因素;KRT17 mRNA(OR = 2.42,95%CI:1.61~3.66,P < 0.001)、STOML2 mRNA(OR = 2.19,95%CI:1.39~3.46,P = 0.001)和 miR-196a(OR = 2.76,95%CI:1.65~4.32,P < 0.001)均显著与病变等级升高相关;宫颈癌组织中KRT17 mRNA、STOML2 mRNA、miR-196a高表达与TNM分期、分化程度及淋巴结转移相关(P < 0.05);98例宫颈癌患者随访1年死亡17例(17.35%);Cox回归提示TNMⅢ期、低分化、淋巴结转移及癌组织KRT17 mRNA、STOML2 mRNA、miR-196a高表达为死亡的独立危险因素(P < 0.05)。癌组织KRT17 mRNA、STOML2 mRNA、miR-196a联合检测宫颈癌患者预后的AUC为0.873,敏感度61.73%,特异度99.06%。Western blot结果提示STOML2下调可抑制NF-κB通路相关蛋白磷酸化水平。  结论   KRT17、STOML2及miR-196a在宫颈癌组织中高表达并与不良预后相关,其通过NF-κB信号通路协同促进肿瘤进展。联合检测三者可提高宫颈癌患者预后预测的准确性,具有潜在临床转化价值。
  • 图  1  癌组织KRT17 mRNA、STOML2 mRNA、miR-196a预测宫颈癌患者预后的ROC曲线

    Figure  1.  ROC curves of KRT17 mRNA,STOML2 mRNA,and miR-196a in cancer tissues for predicting prognosis in patients with cervical cancer

    图  2  联合预测模型的校准曲线

    Figure  2.  Calibration curve of the combined predictive model      

    图  3  不同癌组织STOML2 mRNA患者生存期比较

    Figure  3.  Comparison of survival duration in patients with different levels of STOML2 mRNA expression in cancer tissues

    图  4  不同癌组织KRT17 mRNA患者生存期比较

    Figure  4.  Comparison of survival duration in patients with different levels of KRT17 mRNA expression in cancer tissues

    图  5  不同癌组织miR-196a水平患者生存期比较

    Figure  5.  Comparison of survival duration in patients with different levels of miR-196a expression in cancer tissues

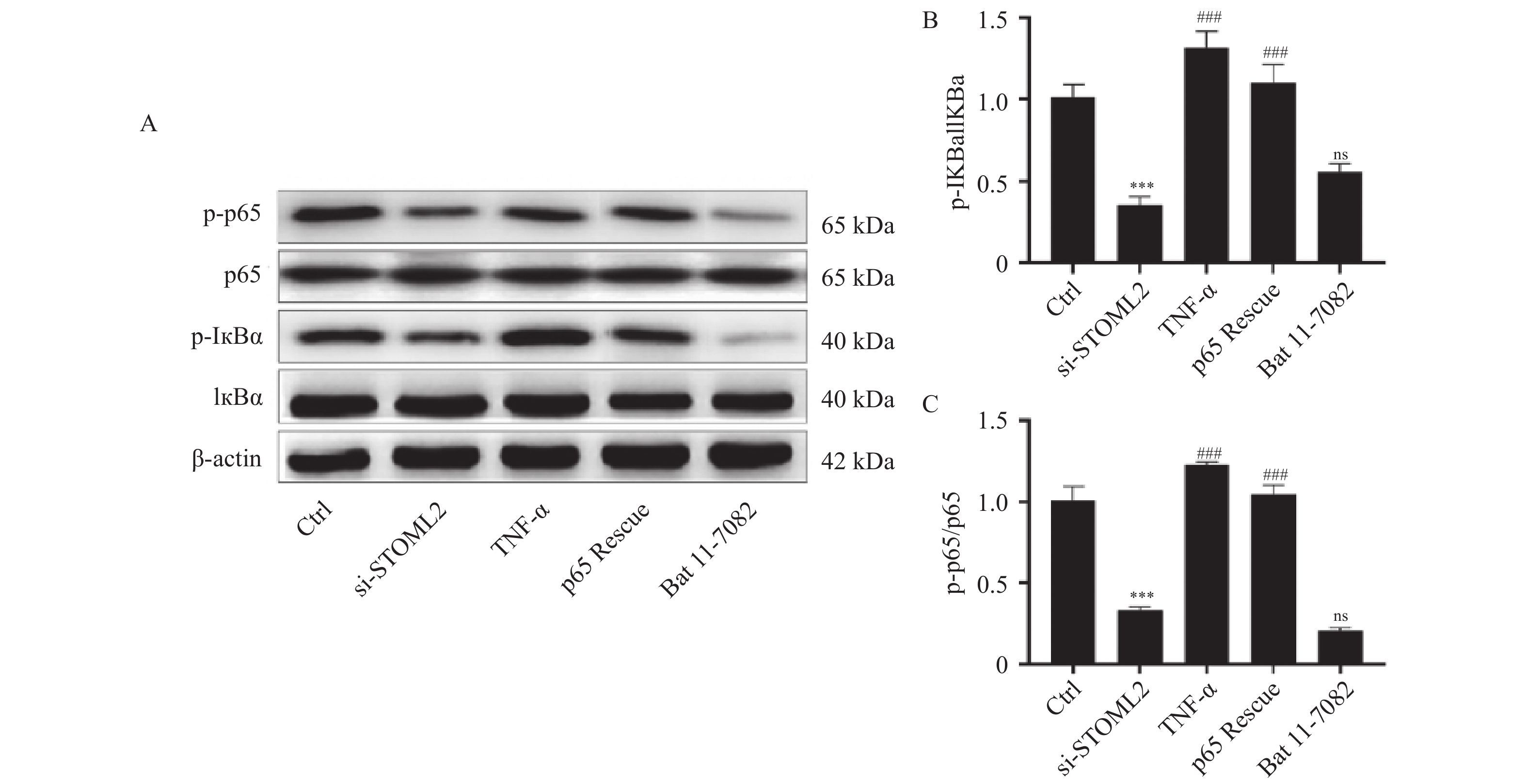
    图  6  STOML2调控NF-κB通路关键蛋白的磷酸化水平($ \bar x \pm s $,n = 3)

    A: STOML2调控NF-κB通路关键蛋白的磷酸化水平;B: p-I κ Bα /I κ Bα相对表达量的定量分析;C: p-p65/p65相对表达量的定量分析。

    Figure  6.  Phosphorylation levels of key proteins in the NF-κB signaling pathway regulated by STOML2($ \bar x \pm s $,n = 3)

    表  1  KRT17 mRNA、STOML2 mRNA、miR-196a 及内参基因β-actin的引物序列

    Table  1.   Primer Sequences of KRT17 mRNA,STOML2 mRNA,miR-196a,and the Internal Reference Gene β-actin

    基因名称 引物类型 引物序列(5′-3′)
    β-actin 上游(F) CCGCATCCTCTTCCTCCCT
    下游(R) GCCACAGGATTCCATACCCAG
    KRT17 mRNA 上游(F) CCACCCAGAAGACTGTGGAT
    下游(R) TTCTAGACGGCAGGTCAGGT
    STOML2 mRNA 上游(F) GGAGCCTGGTTTGAACAT
    下游(R) TGATGACAATTTCCTTGAGACT
    miR-196a 上游(F) CGTCAGAAGGAATGATGCACAG
    下游(R) ACCTGCGTAGCTAGTTTCATGT
    下载: 导出CSV

    表  2  3组患者基线资料比较[($ \bar x \pm s $)/n(%)]

    Table  2.   Comparison of baseline characteristics among the three patient groups[($ \bar x \pm s$)/n(%)]

    变量 宫颈癌组 (n = 98) CIN Ⅲ组 (n = 65) 对照组 (n = 43) F/χ2 P
    年龄(岁) 48.62 ± 9.58 46.90 ± 8.65 45.21 ± 7.84 2.312 0.102
    绝经状态 45(45.92) 22(33.85) 14(32.56) 4.293 0.117
    取材方式 0.417 0.812
     手术切除 60(61.22) 39(60.00) 28(65.12)
     病理活检 38(38.78) 26(40.00) 15(34.88)
    RIN值 7.95 ± 0.49 7.91 ± 0.46 7.88 ± 0.44 0.439 0.645
    Ct(GAPDH) 22.41 ± 0.75 22.55 ± 0.78 22.58 ± 0.81 1.072 0.345
    下载: 导出CSV

    表  3  3种宫颈组织中KRT17 mRNA、STOML2 mRNA、miR-196a表达情况($ \bar x \pm s $)

    Table  3.   Expression levels of KRT17 mRNA,STOML2 mRNA,and miR-196a in three types of cervical tissues($ \bar x \pm s $)

    组别 n KRT17 mRNA STOML2 mRNA miR-196a
    宫颈癌组 98 1.19 ± 0.15# 2.71 ± 0.52# 2.63 ± 0.49#
    CIN Ⅲ组 65 0.86 ± 0.14 1.83 ± 0.36 1.76 ± 0.41
    对照组 43 0.55 ± 0.09∆# 0.98 ± 0.16∆# 1.03 ± 0.22∆#
    F 350.692 270.791 233.499
    P <0.001* <0.001* <0.001*
      *P < 0.05;与宫颈癌组比较,P < 0.05;与CIN Ⅲ组比较,#P < 0.05。
    下载: 导出CSV

    表  4  宫颈病变等级的多因素有序Logistic回归分析结果

    Table  4.   Results of multivariate ordinal logistic regression analysis of cervical lesion grades

    变量 β SE Wald χ2 P OR 95%CI
    KRT17 mRNA 0.884 0.213 17.223 <0.001* 2.42 1.61~3.66
    STOML2 mRNA 0.782 0.232 11.337 0.001* 2.19 1.39~3.46
    miR-196a 1.015 0.287 12.496 <0.001* 2.76 1.65~4.32
    年龄 0.019 0.021 0.792 0.372 1.02 0.97~1.07
    绝经状态 0.077 0.229 0.114 0.748 1.08 0.67~1.74
    组织来源 0.14 0.168 0.694 0.402 1.15 0.82~1.61
    RIN值 0.086 0.135 0.404 0.537 1.09 0.84~1.43
    Ct(GAPDH) −0.062 0.114 0.296 0.583 0.94 0.77~1.16
      *P < 0.05。
    下载: 导出CSV

    表  5  宫颈癌组织KRT17 mRNA、STOML2 mRNA、miR-196a表达与病理特征相关性($ \bar x \pm s $)

    Table  5.   Correlation between expression of KRT17 mRNA,STOML2 mRNA,miR-196a in cervical cancer tissues and pathological characteristics ($ \bar x \pm s $)

    病理特征 n KRT17 mRNA t/P STOML2 mRNA t/P miR-196a t/P
    年龄(岁)
     >45 52 1.20 ± 0.16 0.636/0.526 2.74 ± 0.54 0.263/0.575 2.66 ± 0.53 0.574/0.567
     ≤45 46 1.18 ± 0.15 2.68 ± 0.51 2.60 ± 0.50
    病理类型
     鳞癌 72 1.18 ± 0.15 1.104/0.272 2.73 ± 0.53 0.673/0.503 2.65 ± 0.51 0.675/0.501
     腺癌及其他 26 1.22 ± 0.18 2.65 ± 0.49 2.57 ± 0.54
    肿瘤直径(cm)
     >4 59 1.21 ± 0.17 1.492/0.139 2.73 ± 0.50 0.473/0.637 2.67 ± 0.52 0.911/0.365
     ≤4 39 1.16 ± 0.15 2.68 ± 0.53 2.57 ± 0.55
    TNM分期
     Ⅰ~Ⅱ期 68 1.14 ± 0.15 4.670/<0.001* 2.56 ± 0.54 4.163/<0.001* 2.39 ± 0.50 7.122/<0.001*
     Ⅲ期 30 1.30 ± 0.17 3.05 ± 0.53 3.18 ± 0.52
    分化程度
     中高分化 59 1.12 ± 0.16 4.897/<0.001* 2.51 ± 0.49 4.865/<0.001* 2.29 ± 0.48 8.258/<0.001*
     低分化 39 1.29 ± 0.18 3.01 ± 0.51 3.15 ± 0.54
    肌层浸润
     有 44 1.21 ± 0.16 1.189/0.237 2.75 ± 0.52 0.649/0.518 2.68 ± 0.55 0.814/0.418
     无 54 1.17 ± 0.17 2.68 ± 0.54 2.59 ± 0.54
    淋巴结转移
     是 28 1.31 ± 0.17 4.289/<0.001* 3.11 ± 0.56 4.650/<0.001* 3.22 ± 0.57 6.680/<0.001*
     否 70 1.14 ± 0.18 2.55 ± 0.53 2.39 ± 0.55
      *P < 0.05。
    下载: 导出CSV

    表  6  宫颈癌患者预后单因素分析[($ \bar x \pm s $)/n(%)]

    Table  6.   Univariate analysis of prognosis in patients with cervical cancer[($ \bar x \pm s $)/n(%)]

    指标 存活(n = 81) 死亡(n = 17) t/χ2 P
    年龄(岁)
     >45 43(53.09) 9(52.94) 0.000 0.991
     ≤45 38(46.91) 8(47.06)
    病理类型
     鳞癌 59(72.84) 13(76.47) 0.000 0.995
     腺癌及其他 22(27.16) 4(23.53)
    肿瘤直径(cm)
     >4 48(59.26) 11(64.71) 0.174 0.677
     ≤4 33(40.74) 6(35.29)
    TNM分期
     Ⅰ~Ⅱ期 62(76.54) 6(35.29) 11.255 <0.001*
     Ⅲ期 19(23.46) 11(64.71)
    分化程度
     中高分化 54(66.67) 5(29.41) 8.140 0.004*
     低分化 27(33.33) 12(70.59)
    肌层浸润
     有 34(41.98) 10(58.82) 1.612 0.204
     无 47(58.02) 7(41.18)
    淋巴结转移
     是 18(22.22) 10(58.82) 7.517 0.006*
     否 63(77.78) 7(41.18)
    KRT17 mRNA 1.16 ± 0.15 1.32 ± 0.17 3.907 <0.001*
    STOML2 mRNA 2.64 ± 0.48 3.06 ± 0.53 3.222 0.002*
    miR-196a 2.56 ± 0.44 2.98 ± 0.50 3.494 <0.001*
      *P < 0.05。
    下载: 导出CSV

    表  7  宫颈癌患者预后多因素分析

    Table  7.   Multivariate analysis of prognosis in patients with cervical cancer

    因素 参考类别 β SE Wald χ2 P HR 95%CI
    TNM分期 Ⅰ~Ⅱ期=1,Ⅲ期=2 1.097 0.398 7.600 <0.001* 2.996 1.972~4.551
    分化程度 中高分化=1,低分化=2 1.171 0.425 7.596 <0.001* 3.226 2.069~5.031
    淋巴结转移 否=1,是=2 1.118 0.413 7.333 <0.001* 3.060 1.874~4.996
    KRT17 mRNA 实际值 1.546 0.449 11.857 <0.001* 4.693 3.025~7.281
    STOML2 mRNA 实际值 1.588 0.502 10.013 <0.001* 4.896 2.987~8.026
    miR-196a 实际值 1.474 0.518 8.093 <0.001* 4.365 2.445~7.792
      *P < 0.05。
    下载: 导出CSV

    表  8  癌组织KRT17 mRNA、STOML2 mRNA、miR-196a对宫颈癌患者预后的预测价值

    Table  8.   Predictive value of KRT17 mRNA,STOML2 mRNA,and miR-196a in tumor tissues for prognosis in patients with cervical cancer

    指标 AUC 95%CI P 截断值 敏感度(%) 特异度(%)
    KRT17 mRNA 0.834 0.733~0.936 <0.001* 1.22 65.43 88.24
    STOML2 mRNA 0.678 0.546~0.809 <0.001* 2.86 74.07 58.82
    miR-196a 0.768 0.650~0.885 <0.001* 2.67 65.43 82.35
    联合 0.873 0.794~0.952 <0.001* 61.73 99.06
      *P < 0.05。
    下载: 导出CSV
  • [1] 于盼盼, 杨萍, 孙倩玉, 等. 宫颈癌组织GSTO1的表达与宫颈癌预后的相关性分析及其N-糖基化对宫颈癌恶性生物学行为的影响[J]. 安徽医科大学学报, 2023, 58(12): 2002-2010. doi: 10.19405/j.cnki.issn1000-1492.2023.12.003
    [2] 郭丽娜, 杜小强, 黄丽玲, 等. 淋巴结平均直径对不伴淋巴结转移宫颈癌患者预后的影响[J]. 现代妇产科进展, 2023, 32(2): 86-89. doi: 10.13283/j.cnki.xdfckjz.2023.02.002
    [3] Jang T H, Huang W C, Tung S L, et al. microRNA-485-5p targets keratin 17 to regulate oral cancer stemness and chemoresistance via the integrin/FAK/Src/ERK/β-catenin pathway[J]. J Biomed Sci, 2022, 29(1): 42. doi: 10.1186/s12929-022-00824-z
    [4] Liang W, Liu H, Zeng Z, et al. KRT17 promotes T-lymphocyte infiltration through the YTHDF2-CXCL10 axis in colorectal cancer[J]. Cancer Immunol Res, 2023, 11(7): 875-894.
    [5] 邵建民, 杨文超, 胡豪杰, 等. STOML2基因对口腔鳞状细胞癌细胞致瘤能力的影响及相关机制[J]. 实用口腔医学杂志, 2024, 40(2): 247-251.
    [6] 王蔓莉, 陈辉, 段智, 等. 普列克底物蛋白2/miR-196a信号轴介导肿瘤微环境中肺癌细胞的通讯机制研究[J]. 中国癌症杂志, 2024, 34(7): 628-638. doi: 10.19401/j.cnki.1007-3639.2024.07.002
    [7] 孙倩, 王宇, 邱卫强. 血清miR-92a、miR-196a表达与宫颈癌淋巴结转移的相关性[J]. 实用癌症杂志, 2021, 36(11): 1771-1774+1782. doi: 10.3969/j.issn.1001-5930.2021.11.008
    [8] 李静, 索红燕, 孔为民. 《国际妇产科联盟(FIGO)2018癌症报告: 宫颈癌新分期及诊治指南》解读[J]. 中国临床医生杂志, 2019, 47(6): 4-7. doi: 10.3969/j.issn.2095-8552.2019.06.008
    [9] Lizano M, Carrillo-García A, De La Cruz-Hernández E, et al. Promising predictive molecular biomarkers for cervical cancer (Review)[J]. Int J Mol Med, 2024, 53(6): 50.
    [10] 胡运洲, 王小军, 张亚奇, 等. KRT7在结肠癌细胞和组织中的表达及生物学功能[J]. 中国免疫学杂志, 2023, 39(2): 343-348. doi: 10.3969/j.issn.1000-484X.2023.02.022
    [11] Tang S, Liu W, Yong L, et al. Reduced expression of KRT17 predicts poor prognosis in HER2high breast cancer[J]. Biomolecules, 2022, 12(9): 1183. doi: 10.3390/biom12091183
    [12] 吴莹, 李媛, 王晓燕. Keratin17联合HPV E6/E7 mRNA对宫颈低度鳞状上皮内病变转归的预测价值[J]. 医学分子生物学杂志, 2024, 21(5): 470-474. doi: 10.3870/j.issn.1672-8009.2024.05.013
    [13] 常畅, 高静, 李志强. 宫颈癌组织中KRT17 KLF4表达与其临床病理特征及患者预后的相关性[J]. 河北医学, 2023, 29(11): 1811-1816. doi: 10.3969/j.issn.1006-6233.2023.11.010
    [14] 夏玲芳, 朱俊, 吴小华. 2023年ESMO妇科肿瘤治疗最新进展及展望[J]. 中国癌症杂志, 2023, 33(11): 969-980. doi: 10.19401/j.cnki.1007-3639.2023.11.001
    [15] Yan X, Yang C, Hu W, et al. Knockdown of KRT17 decreases osteosarcoma cell proliferation and the Warburg effect via the AKT/mTOR/HIF1α pathway[J]. Oncol Rep, 2020, 44(1): 103-114. doi: 10.3892/or.2020.7611
    [16] Liu L, Sun L, Zheng J, et al. Berberine modulates Keratin 17 to inhibit cervical cancer cell viability and metastasis[J]. J Recept Signal Transduct Res, 2021, 41(6): 521-531. doi: 10.1080/10799893.2020.1830110
    [17] 李立坤. 敲低STOML2基因对前列腺癌PC3细胞肿瘤生物学行为的影响[D]. 唐山: 华北理工大学, 2020.
    [18] Ma W, Chen Y, Xiong W, et al. STOML2 interacts with PHB through activating MAPK signaling pathway to promote colorectal cancer proliferation[J]. J Exp Clin Cancer Res, 2021, 40(1): 359. doi: 10.1186/s13046-021-02116-0
    [19] Qin C, Wang Y, Zhao B, et al. STOML2 restricts mitophagy and increases chemosensitivity in pancreatic cancer through stabilizing PARL-induced PINK1 degradation[J]. Cell Death Dis, 2023, 14(3): 191. doi: 10.1038/s41419-023-05711-5
    [20] Gong H, Chen S, Liu S, et al. Overexpressing lipid raft protein STOML2 modulates the tumor microenvironment via NF-κB signaling in colorectal cancer[J]. Cell Mol Life Sci, 2024, 81(1): 39. doi: 10.1007/s00018-023-05105-y
    [21] 姚佳雯, 时永强. 皮肤鳞状细胞癌组织miR-20a, miR-196a表达水平与临床病理特征和预后的关系[J]. 检验医学与临床, 2024, 21(16): 2390-2395. doi: 10.3969/j.issn.1672-9455.2024.16.017
    [22] 赵晓慧, 李爽. 循环肿瘤细胞、微小RNA-196a、肿瘤特异性生长因子在宫颈癌中的表达及与临床病理特征和预后的关系[J]. 安徽医药, 2023, 27(4): 814-818. doi: 10.3969/j.issn.1009-6469.2023.04.042
    [23] 梁燕, 朱万娇, 张志苏, 许红, 张健. miR-196a通过靶向NR6A1降低宫颈癌Hela细胞生存和运动能力[J]. 局解手术学杂志, 2021, 30(2): 93-99. doi: 10.11659/jjssx.07E020084
    [24] Liu X, Fan Z, Li Y, et al. microRNA-196a-5p inhibits testicular germ cell tumor progression via NR6A1/E-cadherin axis[J]. Cancer Med, 2020, 9(23): 9107-9122.
  • [1] 何配配, 陈珂, 徐郡, 汪志霞, 严雪梅.  内质网PERK/eIF-2α信号通路在宫颈癌中的表达及其临床意义, 昆明医科大学学报.
    [2] 刘静波, 张媛, 刘梦君, 刘静, 刘红丽, 张競.  细胞周期蛋白O通过调控糖酵解促进宫颈癌细胞增殖和转移, 昆明医科大学学报. doi: 10.12259/j.issn.2095-610X.S20250710
    [3] 王玲, 秦祥川, 李金秋, 阿仙姑·哈斯木.  CD147通过AIM2炎症小体介导宫颈癌细胞焦亡和增殖, 昆明医科大学学报. doi: 10.12259/j.issn.2095-610X.S20240103
    [4] 闵志波, 周冉, 蒲丹, 杨涛.  宫颈癌组织中ANXA8、PGRMC1和miR-92a表达水平及其与临床病理特征的关系, 昆明医科大学学报. doi: 10.12259/j.issn.2095-610X.S20240815
    [5] 苗春霞, 王一娜, 张云霞.  宫颈癌组织中EMC6、C-myc及BCL-2的表达和预后, 昆明医科大学学报. doi: 10.12259/j.issn.2095-610X.S20240709
    [6] 潘虹, 邓都尉, 刘石林.  彩超Adler分级对宫颈癌的诊断分析及与病理指标的相关性, 昆明医科大学学报. doi: 10.12259/j.issn.2095-610X.S20240517
    [7] 陈靖珊, 李黎, 赏石丽, 何国勇, 周文京, 李莎, 张迪, 刘勇兰, 李俊.  IgA肾病病理特征与血脂异常的相关性分析, 昆明医科大学学报. doi: 10.12259/j.issn.2095-610X.S20230111
    [8] 张娟, 张红芸.  宫颈管搔刮术在宫颈癌筛查中的价值, 昆明医科大学学报. doi: 10.12259/j.issn.2095-610X.S20210822
    [9] 谭丁及, 尹洪莉, 朱锐, 张曦, 余鑫, 飞勇, 李昕, 段铭, 何亮, 杨宏英.  宫颈上皮内瘤变和宫颈癌患者的阴道微生态特点, 昆明医科大学学报. doi: 10.12259/j.issn.2095-610X.S20210821
    [10] 李刚, 李金凇, 谢楠, 李春满, 魏雷, 曹凡, 苏莹珍.  B7-H4在肝内胆管癌的表达及临床意义, 昆明医科大学学报. doi: 10.12259/j.issn.2095-610X.S20210415
    [11] 卿清, 刘洋, 周红林.  宫颈癌筛查策略的研究进展, 昆明医科大学学报.
    [12] 刘洋, 黄娅娟, 廖婧, 孙春意, 翟淑娟, 周红林.  宫颈病变中应用FISH技术检测C-MYC基因及HC2技术、SPR技术检测HPV结果的相关性, 昆明医科大学学报.
    [13] 胡滔, 洪颖, 陈红兰, 常业飞, 姜水, 习杨彦彬, 檀雅欣, 李珊, 刘光彩, 吴晓虹.  miR-1对HR HPV 16~+/18~+宫颈癌细胞周期相关蛋白的调控, 昆明医科大学学报.
    [14] 张志波.  自身免疫性肝炎C57BL/6小鼠肝脏病理特点的实验研究, 昆明医科大学学报.
    [15] 魏洁.  Twist在中晚期宫颈癌组织中的表达及临床意义研究, 昆明医科大学学报.
    [16] 赵东岩.  2013年昆明市2 899例妇科宫颈糜烂患者人乳头瘤病毒检测分析, 昆明医科大学学报.
    [17] 钱忠义.  猴实验性肺螨感染的病理学观察, 昆明医科大学学报.
    [18] 芮章茹.  云南地区IgA肾病的病理及临床特点, 昆明医科大学学报.
    [19] 男性两性畸形伴巨大髓脂肪瘤1例临床病理分析, 昆明医科大学学报.
    [20] 黄雅.  Brn-3a、PPAR-γ在宫颈癌及癌前病变中的表达, 昆明医科大学学报.
  • 加载中
图(6) / 表(8)
计量
  • 文章访问数:  306
  • HTML全文浏览量:  200
  • PDF下载量:  115
  • 被引次数: 0
出版历程
  • 收稿日期:  2025-08-07
  • 网络出版日期:  2026-01-10
  • 刊出日期:  2026-03-31

目录

    /

    返回文章
    返回