留言板

尊敬的读者、作者、审稿人, 关于本刊的投稿、审稿、编辑和出版的任何问题, 您可以本页添加留言。我们将尽快给您答复。谢谢您的支持!

姓名
邮箱
手机号码
标题
留言内容
验证码

优先发表

优先发表栏目展示本刊经同行评议确定正式录用的文章,这些文章目前处在编校过程,尚未确定卷期及页码,但可以根据DOI进行引用。
显示方式:
新生儿危重病例评分、脐血MIF、IL-1β对新生儿呼吸窘迫综合征临床疗效的评估价值
段玉茹, 王毅铭, 朱磊
, doi: 10.12259/j.issn.2095-610X.S20260000
摘要(71) HTML(31) PDF (30)
摘要:
  目的   分析新生儿危重病例评分(neonatal critical illness score,NCIS)、脐血巨噬细胞移动抑制因子(migrationinhibitoryfactor,MIF)、白细胞介素-1β(interleukin-1β,IL-1β)对新生儿呼吸窘迫综合征(acute respiratory distress syndrome,ARDS)临床疗效评估价值。  方法   采用定群抽样的方法连续收集登记住本院新生儿科2023年1月至2024年12月住院的120例ARDS患儿作为观察组,另选取同期本院出生的120例健康新生儿作为对照组,以NCIS评分评估疾病严重程度,采集所有受检者出生即刻5 mL脐血,检测脐血MIF、IL-1β,比较两组NCIS评分、脐血MIF、IL-1β水平,根据肺部X线评估ARDS患儿疾病严重程度,比较轻度组、重度组NCIS评分、脐血MIF、IL-1β水平。120例ARDS患儿均给予经鼻间歇正压通气(nasal intermittent positive pressure ventilation,NIPPV)联合肺表面活性物质(pulmonarysurfactant,PS)治疗。比较有效组、无效组NCIS评分、脐血MIF、IL-1β水平,绘制受试者工作曲线(receiver operating characteristic curve,ROC),计算曲线下面积(area under curve,AUC),分析NCIS评分、脐血MIF、IL-1β对临床疗效的预测价值,单因素、多因素Logistic回归分析治疗无效的危险因素。  结果   观察组NCIS评分低于对照组(P < 0.05),观察组脐血MIF、IL-1β水平均高于对照组(P < 0.05)。重度组NCIS评分低于轻度组(P < 0.05),重度组脐血MIF、IL-1β水平均高于轻度组(P < 0.05)。无效组NCIS评分低于有效组(P < 0.05),无效组脐血MIF、IL-1β水平均高于有效组(P < 0.05)。NCIS评分、脐血MIF、IL-1β联合检测预测临床疗效AUC是0.798(95%CI: 0.702~0.947),灵敏度是93.13%,特异度是91.08%,均高于单一检测(71.85%、69.07%、76.24%、75.09%、74.82%、73.31%)(P < 0.05)。胎龄、出生体质量、产前使用糖皮质激素、治疗前PCaO2、PaO2、FiO2是导致治疗无效的危险因素(P < 0.05)。  结论   ARDS患儿脐血MIF、IL-1β水平越高,病情越重,治疗无效的风险越高,NCIS评分、脐血MIF、IL-1β联合检测可提高对临床疗效的预测效能,且胎龄、出生体质量、产前使用糖皮质激素、治疗前PCaO2、PaO2、FiO2等均为影响临床疗效的危险因素,应当引起临床重视与关注。
基于OBE理念的“逆向设计”在病理教学中的应用
宋文庆, 朱博, 俞岚, 龚晓萌
摘要(97) HTML(61) PDF (29)
摘要:
  目的  探讨基于成果导向教育(outcome based education,OBE)理念的逆向设计教学模式在病理学教学中的应用效果,评估其对临床医学专业学生临床思维能力和知识整合能力的影响。  方法  按照学生的构成年龄、性别、学习基础、入校成绩及相关学科成绩无显著差异性的原则,选取蚌埠医科大学临床医学专业2023级两个班共120名学生,在尊重学生意愿的基础上,随机分成两个组,每组60人,分别作为实验组和对照组。实验组采用逆向设计教学模式(目标导向→评估设计→教学活动);对照组采用传统教学模式。通过学生在小组讨论中的表现,考试成绩和问卷调查结果,从学习过程、学习成绩和学习体验三个维度进行综合评价。  结果  (1)学习过程:实验组学生发言频率显著提高,意见采纳率与讨论次数呈正相关(r = 0.98,P < 0.001);(2)学习成绩:实验组在客观题优秀率(75% vs 53.3%, P < 0.01)和主观题优秀率(91.5% vs 38.3%, P < 0.001)方面均显著高于对照组;(3)学习体验:实验组在知识理解深度、批判性思维、临床应用能力等方面均有显著提升(P < 0.05),但在时间管理能力方面差异无统计学意义(P = 0.116)。  结论  基于OBE理念的逆向设计教学能够有效提升病理学教学质量,促进学生临床思维能力的培养,增强知识整合与应用能力。
典型心绞痛合并中重度钙化病变的冠心病患者应用可视Stent Boost支架精显指导介入治疗的效果
陈红梅, 赵郑波, 胡云, 李俊
摘要(122) HTML(87) PDF (29)
摘要:
  目的   探讨可视支架影像增强显影技术(Stent Boost)精显指导典型心绞痛合并中重度钙化病变的冠心病患者介入治疗的效果。  方法   前瞻性选取2022年1月至2024年1月180例典型心绞痛合并中重度钙化病变的冠心病患者作为研究对象,按照随机数字表法分为对照组(n = 90)与实验组(n = 90),并根据实际病情分为中度钙化亚组(n = 30)、重度钙化亚组(n = 30)、特殊人群亚组(n = 30)。对照组采用标准支架植入治疗方案,实验组采用可视Stent Boost精显指导+标准支架植入治疗方案,支架均选择药物洗脱支架。比较两组术中操作便利性及手术效果,以及手术前后心功能指标[左心室射血分数(left ventricular ejection fraction,LVEF)、左心室收缩末期容积(left ventricular end-systolic volume,LVESV)、左心室舒张末期容积(left ventricular end-diastolic volume,LVEDV)]、并发症。并随访12个月,观察对比两组靶病变血运重建、主要不良心血管事件(major adverse cardiovascular events,MACE)事件。  结果   实验组术中即刻支架可视性优良率、支架膨胀率、最小支架管腔直径、最大支架边缘直径、最小支架管腔面积(minimal stent area,MSA)、偏心指数、LVEF均高于对照组,且后扩张率、手术时间、对比剂用量、LVESV、LVEDV均低于对照组(P < 0.05);实验组术后即刻心肌梗死溶栓治疗(thrombolysis in myocardial infarction,TIMI)分级 3级血流比例高于对照组,并发症发生率、MACE发生率低于对照组(P < 0.05);但两组中度钙化亚组、重度钙化亚组、特殊人群亚组术后即刻TIMI 3级血流比例单独比较,差异均无统计学意义(P > 0.05);两组中度钙化亚组、重度钙化亚组患者并发症发生率、MACE发生率比较,差异无统计学意义(P > 0.05);实验组中特殊人群亚组并发症发生率、MACE发生率低于对照组的特殊人群亚组(P < 0.05)。  结论   对于典型心绞痛合并中重度钙化病变的冠心病患者,Stent Boost指导PCI可优化治疗效果,改善术后心功能,降低并发症及MACE发生率,尤其在重度钙化合并分叉病变的患者中价值显著。
心肌超声造影心动图联合三维斑点追踪成像预测NSTEMI患者PCI术后主要心血管不良事件的风险
文婷, 曾令娇, 黄叶, 邱清勇, 朱玲玲
摘要(85) HTML(49) PDF (29)
摘要:
  目的   探讨心肌超声造影心动图(myocardial contrast echocardiography,MCE)联合三维斑点追踪成像(three-dimensional speckle tracking imaging,3D-STI)对非ST段抬高型心肌梗死(non-ST-segment elevation myocardial infarction,NSTEMI)患者经皮冠状动脉介入治疗(percutaneous coronary intervention,PCI)术后主要心血管不良事件(major adverse cardiovascular events,MACEs)的预测作用。  方法   选取2022年5月至2024年3月中国人民解放军联勤保障部队第九二八医院254例NSTEMI患者,行PCI术,根据出院1年内MACEs发生情况分为MACEs组、无MACEs组,比较两组临床资料、常规超声心动图参数、MCE参数[平台期峰值强度(peak intensity,A)、灌注计分指数(perfusion score index,PSI)、曲线斜率(beta value,β)及心肌血流量(myocardial blood flow,A·β)]及3D-STI参数[左室整体面积应变(left ventricular global area strain,LVGAS)、左室整体环向应变(left ventricular global circumferential strain,LVGCS)、左室整体纵向应变(left ventricular global longitudinal strain,LVGLS)、左室整体径向应变(left ventricular global radial strain,LVGRS)]的差异;分析MCE、3D-STI参数与左室射血分数(left ventricular ejection fraction,LVEF)的关系;以受试者工作特征(receiver operating characteristic,ROC)曲线分析MCE、3D-STI参数预测MACEs的价值。  结果   与无MACEs组相比,MACEs组N末端脑钠肽前体(N-terminal pro-brain natriuretic peptide,NT-proBNP)、白介素-6(interleukin-6,IL-6)、可溶性生长刺激表达基因2蛋白(soluble suppression of tumorigenicity 2,sST2)较高,LVEF、血管内皮生长因子(vascular endothelial growth factor,VEGF)较低(P < 0.05);术后3个月与无MACEs组相比,MACEs组A、β、A·β较低,PSI较高,两组A、PSI、β、A·β术后3个月-术后24 h差值比较有统计学意义(P < 0.05);术后3个月MACEs组LVGAS、LVGCS、LVGLS、LVGRS均低于无MACEs组,两组LVGAS、LVGCS、LVGLS、LVGRS术后3个月-术后24 h差值比较有统计学意义(P < 0.05);术后3个月MCE、3D-STI参数联合预测MACEs的AUC为0.933(95%CI:0.895~0.961),术后3个月-术后24 h MCE、3D-STI参数差值联合预测MACEs的AUC为0.915(95%CI:0.873~0.946)。  结论   MCE、3D-STI定量参数联合对NSTEMI患者PCI术后MACEs风险有较高预测价值,监测术后3个月-术后24 h MCE及3D-STI参数的动态变化,有助于早期识别高风险患者,为制定个体化治疗与随访策略提供依据。
超急性期脑梗死溶栓失败后替罗非班对血清miR-181c、miR-130a表达量的影响
孙健, 王欢欢, 贺宏梅, 张海燕, 薛茜, 宋爱霞
摘要(86) HTML(59) PDF (37)
摘要:
  目的  分析超急性期脑梗死溶栓失败后替罗非班对血清microRNA-181c(miR-181c)、microRNA-130a(miR-130a)表达量影响。  方法  选定2022年11月至2024年11月河北北方学院附属第一医院住院的85例超急性期脑梗死溶栓失败患者,根据治疗方案将研究对象分组,对照组42例应用常规治疗,观察组43例在常规疗法的基础上应用替罗非班治疗,统计学比较总有效率、梗死体积、脑灌注参数、血管再通率、美国国立卫生研究院卒中量表(national institutes of health stroke scale,NIHSS)、巴氏指数(bathel-index,BI)评分、凝血功能指标、血清miR-181c、miR-130a以及出血时间发生情况。  结果  总有效率以及血管再通率观察组均比对照组高(P < 0.05)。观察组治疗后梗死体积、达峰时间(time to peak,TTP)、平均通过时间(mean transit time,MTT)、NIHSS评分、血小板计数(platelet,PLT)、纤维蛋白原(fibrinogen,FIB)、血清miR-181c、miR-130a均比对照组更低(P < 0.05),观察组治疗后脑血流量(cerebral blood flow,CBF)、脑血容量(cerebral blood volume,CBV)、BI评分、凝血酶原时间(prothrombin time,PT)较对照组更高(P < 0.05)。出血事件总发生率两组对比差异无统计学意义(P > 0.05)。  结论  超急性期脑梗死溶栓失败后给予替罗非班进行补救治疗,可有效减轻患者神经功能受损程度,缩小梗死体积,提高血管再通率、生活能力,纠正血液高凝状态,改善脑灌注参数,降低血清miR-181c、miR-130a表达量及出血性不良事件发生率,安全有效。
腹型过敏性紫癜发生消化道出血患儿HP抗体分型、免疫反应及肠道菌群的相关性分析
刘俊莹, 李文辉, 赵欣, 石伟娜, 王晓娟
摘要(80) HTML(49) PDF (28)
摘要:
  目的  探究腹型过敏性紫癜(henoch-schönlein purpura,HSP)发生消化道出血患儿(helicobacter pylori,HP)抗体分型、免疫反应及肠道菌群的相关性。  方法  在2021年2月至2025年2月期间,河北省儿童医院针对96例腹型HSP发生消化道出血患儿的病例为研究对象(出血组),依1:1原则选取同期收治的HSP未发生消化道出血患儿96例(非出血组)、体检健康儿童96例(健康组)进行对照研究,比较各组HP抗体分型、免疫反应[肿瘤坏死因子-α(tumor necrosis factor-a,TNF-α)、白细胞介素-6(interleukin-6,IL-6)、白细胞介素-8(interleukin-6,IL-8)、T细胞表面分化抗原3阳性(cluster of differentiation 3 positive,CD3+)、T细胞表面分化抗原4阳性(Cluster of Differentiation 4 positive,CD4+)、T细胞表面分化抗原8阳性(cluster of differentiation 8 positive,CD8+)、CD4+/CD8+]及肠道菌群的差异。并比较HP抗体阳性组与阴性组在免疫反应及肠道菌群上的差异,并通过皮尔逊相关性分析探讨上述指标间的关联性。  结果  出血组HP抗体Ⅰ型发生率 > 非出血组 > 健康组,HP抗体阴性率 < 非出血组 < 健康组(P < 0.05)。出血组TNF-α、IL-6、IL-8、CD8+、大肠杆菌 > 非出血组 > 健康组,CD3+、CD4+、CD4+/CD8+、双歧杆菌、乳酸杆菌 < 非出血组 < 健康组(P < 0.05)。HSP发生消化道出血患儿HP抗体阳性组TNF-α、IL-6、IL-8、CD8+、大肠杆菌均高于HP抗体阴性组,CD3+、CD4+、CD4+/CD8+、双歧杆菌、乳酸杆菌均低于HP抗体阴性组(P < 0.05)。皮尔逊相关性显示,TNF-α、IL-6、IL-8、CD3+、CD4+、CD4+/CD8+均与大肠杆菌、乳酸杆菌、双歧杆菌存在相关(P < 0.05),CD8+与大肠杆菌呈正相关(P < 0.05)。  结论  腹型HSP发生消化道出血患儿HP抗体阳性率更高,且存在免疫反应及肠道屏障功能紊乱;HP抗体阳性患儿的免疫反应及肠道菌群紊乱程度甚于阴性患儿,且免疫反应与肠道屏障功能指标间存在显著相关性。
外周血单个核细胞miR-155、miR-146a联合预测尿毒症维持性血液透析患者预后不良风险的价值
王晓健, 刘俊平, 张迪, 郭谦
摘要(75) HTML(50) PDF (30)
摘要:
  目的   探讨外周血单个核细胞(peripheral blood mononuclear cells,PBMC)微小核糖核酸-155(microRNA-155,miR-155)与微小核糖核酸-146a(microRNA-146a,miR-146a)联合预测尿毒症维持性血液透析(maintenance hemodialysis,MHD)患者预后不良风险的价值。  方法   前瞻性选取2021年1月至2023年11月214例尿毒症患者作为研究对象,均行MHD治疗,随访1年,统计预后情况。检测所有患者首次血液透析前PBMC中miR-155、miR-146a水平,比较不同预后患者PBMC中miR-155、miR-146a水平,以两者水平的中位数为界分为高miR-155和低miR-155,高miR-146a和低miR-146a,据此分为低miR-155低miR-146a组(Q1)、低miR-155高miR-146a组(Q2)、高miR-155低miR-146a组(Q3)、高miR-155高miR-146a组(Q4),比较4组临床资料、预后不良累计发生率,Logistic回归分析PBMC中miR-155、miR-146a对预后不良的影响及交互效应,受试者工作特征(receiver operating characteristic,ROC)曲线分析PBMC中miR-155、miR-146a预测预后不良的价值。  结果   预后不良患者PBMC中miR-155、miR-146a水平高于预后良好患者(P < 0.05);4组收缩压(systolic blood pressure,SBP)、舒张压(diastolic blood pressure,DBP)、C反应蛋白(c-reactive protein,CRP)、中性粒细胞与淋巴细胞比值(neutrophil-to-lymphocyte ratio,NLR)、全段甲状旁腺激素(intact parathyroid hormone,iPTH)、钙磷乘积比较,差异有统计学意义(P < 0.05),且Q4组SBP、DBP、CRP、NLR、iPTH、钙磷乘积高于Q1组、Q2组、Q3组,Q2组、Q3组高于Q1组(P < 0.05),Q3组CRP、NLR高于Q2组(P < 0.05);Q4组预后不良累计发生率51.43%高于Q1组9.09%、Q2组30.00%、Q3组25.49%,Q2组、Q3组预后不良累计发生率高于Q1组(P < 0.05);Lasso-Logistic回归分析显示,校正混杂因素因素后,与Q1相比,Q2、Q3、Q4发生预后不良风险的OR分别为2.397、2.735、5.033;交互作用分析显示,校正其他因素前后PBMC中miR-155与miR-146a的交互作用指数RERI = 0.901,AP = 0.179,S = 1.288,高miR-155、高miR-146a在预后不良风险中协同增强效应(P < 0.05);ROC分析显示,PBMC中miR-155、miR-146a联合预测预后不良风险的曲线下面积(area under the curve,AUC)为0.870,优于单一预测价值(Z = 2.240、2.057,P = 0.025、0.040)。  结论   PBMC中miR-155、miR-146a均是尿毒症MHD患者预后不良的独立影响因素,二者在预后不良风险中呈正向交互作用,且联合检测对预后不良具有一定预测价值。
基于Keap1/Nrf2/HO-1信号通路探讨毛兰素对前列腺癌细胞铁死亡的影响
赵海英, 刘建荣, 向阳
摘要(86) HTML(57) PDF (28)
摘要:
  目的  探讨毛兰素是否通过调控Keap1/Nrf2/HO-1信号通路,进而影响前列腺癌细胞的铁死亡进程,以阐明其潜在的分子机制。  方法  培养DU145和PC-3前列腺癌细胞系。CCK8、集落形成测定、细胞侵袭实验和流式细胞术检测细胞活力、迁移、侵袭和凋亡。使用ROS特异性探针DCFH-DA分析细胞内ROS含量,检测丙二醛(malondialdehyde,MDA)和谷胱甘肽(glutathione,GSH)含量,蛋白质印迹法测量细胞中转移性表型标志物的表达(vimentin、N-cadherin、slug、snail和MMP-9)表达、铁死亡阴性调控蛋白(GPX4、CHAC2、SLC40A1、SLC7A11和glutaminase)的表达和Keap1/Nrf2/HO-1信号通路表达。  结果  与对照组比较,毛兰素显著降低前列腺癌细胞(DU145、PC-3)活力,抑制其增殖、迁移及侵袭能力(P < 0.05);毛兰素可下调间充质标志物vimentin、N-cadherin、slug、snail和MMP-9并上调上皮标志物E-cadherin来抑制前列腺癌细胞的迁移,ROS积累、谷胱甘肽消耗和脂质过氧化显著增加,毛兰素诱导的前列腺癌细胞死亡可以通过与ROS抑制剂n-乙酰-l-半胱氨酸(NAC)和GSH共处理来挽救。毛兰素处理后,Phen Green SK(检测细胞内游离 Fe2+)阳性细胞比例显著下降(P < 0.05)。透射电子显微镜(transmission electron microscope,TEM)结果发现,经毛兰素处理的前列腺癌细胞出现线粒体基质凝结和嵴增大。毛兰素处理后,铁死亡阴性调控蛋白GPX4、CHAC2、SLC40A1、SLC7A11和glutaminase的表达明显降低,与铁死亡抑制剂利蒲他汀-1 (Lip-1)或铁他汀-1 (Fer-1)联合治疗,可以阻断毛兰素诱导的前列腺癌细胞死亡,毛兰素提高了Keap1蛋白表达,而细胞中的Nrf2,HO-1和NQO1蛋白表达降低。CPUY192018可提高前列腺癌细胞铁死亡,表明毛兰素靶向Keap1/Nrf2/HO-1信号通路诱导细胞铁死亡。  结论  毛兰素靶向Keap1/Nrf2/HO-1信号通路诱导细胞死亡和抑制前列腺癌细胞转移。
肥厚型心肌病T1mapping与特征追踪的相关性
张艳, 杨蕾, 李娜, 庞明杰
摘要(68) HTML(50) PDF (30)
摘要:
  目的  探讨肥厚型心肌病(hypertrophic cardiomyopathy,HCM)患者T1mapping与特征追踪的相关性。  方法  回顾性收集2016年1月至2021年7月在云南省第一人民医院住院的86例HCM患者的心脏磁共振(cardiovascular magnetic resonance,CMR)数据,对比钆延迟增强(late gadolinium enhancement,LGE)阳性组(n = 59)与LGE阴性组(n = 27)患者增强前后T1值、心肌细胞外容积比率(extracellular volume,ECV)、纵向应变(longitudinal strain,LS)、圆周应变(circumferential strain,CS)、径向应变(radial strain,RS)和应变率参数差异。  结果  (1)LGE阳性组患者年龄小,NYHA Ⅲ~Ⅳ级比例高,舒张末期最大室壁厚度和左心室质量指数大(P < 0.05);(2)LGE(+)组增强前T1值较LGE(−)组大,LGE阳性组ECV值较LGE阴性组高(P < 0.05);(3).LGE阳性组中整体纵向应变(global longitudinal strain,GLS)与左心室质量指数、左室舒张末期最大室壁厚度、LGE%、T1值、和ECV呈负性相关(分别为r = −0.418**P = 0.008;r = −0.711**P = 0.021;r = −0.621**P = 0.015;r = −0.372**P = 0.020;r = −0.583**P = 0.010)。  结论  HCM患者心肌增强后,LGE阳性者GLS降低,后者与左心室舒张末期容积、左心室质量指数、舒张末期最大室壁厚度、LGE%、以及增强前的T1值和ECV呈明显负相关。
白藜芦醇通过G6PC抑制胶质母细胞瘤细胞糖酵解的机制
扆雪涛, 李慧, 贺永胜, 王延军
摘要(84) HTML(52) PDF (29)
摘要:
  目的   探讨白藜芦醇(resveratrol,RES)是否通过调控G6PC抑制胶质母细胞瘤(glioblastoma,GBM)细胞的糖酵解过程,并阐明其具体分子机制。  方法   分别用RES处理GBM细胞A172、U87 MG和U118 MG并在细胞中转染sh-NC、sh-G6PC、pcDNA-NC和pcNA-G6PC。通过CCK-8、试剂盒和Annexin V-FITC/PI细胞凋亡检测试剂盒探讨白藜芦醇和G6PC对A172、U87 MG和U118 MG细胞糖酵解的作用;通过Western blot、试剂盒和RT-qPCR检测RES对G6PC表达的调控作用。  结果   在A172、U87 MG和U118 MG胶质母细胞瘤细胞中,RES(20 μM、50 μM和100 μM)处理显著抑制糖酵解(P < 0.05)、降低细胞活力(P < 0.05)并诱导凋亡(P < 0.05)。这些细胞中G6PC表达水平高于人星形胶质细胞(P < 0.001),且RES可下调G6PC蛋白表达(P < 0.01)。敲低G6PC可模拟RES的抗肿瘤效应(抑制糖酵解、降低活力、促进凋亡,P < 0.05),而过表达G6PC则相反。此外,RES能增强敲低G6PC的抑制作用,并逆转过表达G6PC对糖酵解的促进。  结论   RES通过下调G6PC表达,抑制GBM细胞的糖酵解过程,从而抑制细胞增殖并促进细胞凋亡。
miR-15a、miR-16-1联合MEG3在子宫内膜癌患者再复发评估中的价值
李照强, 黄颖楠, 杜俊英
摘要(74) HTML(52) PDF (28)
摘要:
  目的   探讨血清微小RNA(miR)-15a、miR-16-1联合母系表达基因3(maternally expressed gene 3,MEG3)在子宫内膜癌患者再复发评估中的价值。  方法   选取2019年3月至2024年7月至铜川市人民医院就诊的170例子宫内膜癌患者为患癌组,根据治疗后1年内有无复发分为复发组(n = 41)和未复发组(n = 129)。另选取170例同期至医院体检健康者为对照组。以RT-qPCR法检测血清中miR-15a、miR-16-1、MEG3的表达水平,比较对照组与患癌组、未复发组与复发组以及不同临床病理特征下的血清miR-15a、miR-16-1、MEG3水平。利用Lasso回归结合COX回归的方法,分析子宫内膜癌患者再复发的影响因素;采用ROC曲线、DCA曲线分析血清miR-15a、miR-16-1、MEG3的预测评估价值和临床应用价值;双荧光素酶报告基因实验验证MEG3与miR-15a、16-1的靶向关系。  结果   患癌组血清miR-15a、miR-16-1水平低于对照组,MEG3水平高于对照组(P < 0.05)。血清miR-15a、miR-16-1、MEG3水平与FIGO分期、组织学分级、肌层浸润深度、淋巴结转移有关,FIGO Ⅲ期、低分化肿瘤、深层肌层浸润、有淋巴结转移患者血清miR-15a、miR-16-1水平低于FIGO Ⅰ~Ⅱ期、中高分化肿瘤、浅层肌层浸润、无淋巴结转移患者(P < 0.05),MEG3水平高于FIGO Ⅰ~Ⅱ期、中高分化肿瘤、浅层肌层浸润、无淋巴结转移患者(P < 0.05)。复发组FIGO Ⅲ期、低分化、淋巴结转移比例及MEG3水平高于未复发组,miR-15a、miR-16-1水平低于未复发组(P < 0.05)。FIGO Ⅲ期、低分化肿瘤以及低水平miR-15a、低水平miR-16-1、高水平MEG3是影响子宫内膜癌患者再复发的危险因素(P < 0.05)。血清miR-15a、miR-16-1、MEG3单独检测预测再复发的AUC和临床净获益低于其三者联合(P < 0.05)。MEG3与miR-15a、miR-16-1存在直接靶向结合,共转染WT-MEG3与miR-15a、16-1模拟物后荧光素酶活性降低(P < 0.05)。  结论   子宫内膜癌患者血清miR-15a、miR-16-1低表达和MEG3高表达与患者再复发相关,MEG3可通过靶向吸附miR-15a、16-1调控其表达,联合检测血清miR-15a、miR-16-1和MEG3可提升对再复发的预测价值和效能,为临床精准干预提供帮助。
滇南某地区少数民族聚居地首发青少年抑郁症患者伴自杀意念的影响因素分析
段馨懿, 张雪娇, 侯羲, 聂正东, 李康, 李婷婷
摘要(126) HTML(84) PDF (29)
摘要:
  目的  探讨滇南某地区少数民族聚集地首发青少年抑郁症患者自杀意念的影响因素。  方法  纳入2023年3月至2024年7月期间,因情绪低落主诉于玉溪市人民医院及墨江县人民医院精神科门诊就诊,且符合抑郁症诊断标准的首发青少年患者277例。将患者分为伴有自杀意念组(n = 128)和不伴有自杀意念组(n = 149)。采用症状自评量表(symptom checklist-90,SCL-90)、贝克焦虑量表(Beck anxiety inventory,BAI)、贝克抑郁量表(Beck depression inventory,BDI)、匹兹堡睡眠量表(Pittsburgh sleep quality index,PSQI)及青少年生活事件量表(adolescent self-rating life events checklist,ASLEC)评估心理因素。应用Logistic回归分析确定首发青少年抑郁症患者(总样本及女性亚组)自杀意念的独立预测因子。基于Logistic回归系数构建联合预测概率模型,通过绘制受试者工作特征(receiver operating characteristic,ROC)曲线评估单个因子和联合预测模型对自杀意念的预测效能。  结果  伴有自杀意念组的ASLEC总分、SCL-90总分及各因子得分,以及BAI总分、BDI总分、PSQI总分均高于不伴有自杀意念组,差异具有统计学意义(P均 < 0.01)。多因素Logistic回归分析显示,年龄、学习压力因子得分、抑郁因子得分、敌对因子得分及焦虑因子得分是首发青少年抑郁症患者自杀意念的独立预测因子。对于女性首发青少年抑郁症患者,年龄及SCL-90总均分是其自杀意念的独立预测因子。ROC曲线分析表明,年龄、学习压力因子得分、抑郁因子得分、敌对因子得分、焦虑因子得分及组合均对首发青少年抑郁症患者自杀意念具有显著的预测价值(P < 0.05),其中组合预测价值效能最高(AUC = 0.942);在女性首发青少年抑郁症患者中,年龄、SCL-90总均分及组合对自杀意念亦具有较高预测价值(均P < 0.05),组合预测因子效能同样最高(AUC = 0.758)。  结论   年龄较小、学习压力、抑郁、敌对及焦虑因子分是首发青少年抑郁症患者自杀意念的独立预测因子,联合预测效能显著优于单一因子;年龄较小及SCL-90总症状严重程度是女性患者的特异性独立预测因子。
神经胶质细胞相关外泌体在精神分裂症中的研究进展与应用前景
高碧遥, 秦付怡, 刘乙霖, 文佳, 李昕睿, 方源, 张云桥
摘要(101) HTML(60) PDF (34)
摘要:
精神分裂症是一种病因复杂的重型精神障碍,其发病机制涉及遗传、环境及神经生物学等多因素的交互作用。近年来,外泌体是细胞间信息传递的主要媒介,为精神分裂症的病因研究、诊断方法及治疗手段提供了新的可能性。对神经胶质细胞作为外泌体来源细胞和靶点,参与精神分裂症发生发展以及作为诊断标志物和药物载体的潜力进行综述,为外泌体在精神分裂症诊疗中的应用提供了新的思路和理论依据。
miR-6509-3p调控EMT进程促进肝癌细胞迁移和侵袭
陈施翰, 王全晖, 张丽娜, 李昆, 张春旭
摘要(98) HTML(66) PDF (35)
摘要:
  目的  探讨miR-6509-3p是否通过上皮细胞-间充质转化(epithelial-mesenchymal transition,EMT)影响肝癌细胞侵袭和迁移。  方法  采用实时荧光定量聚合酶链反应(qRT-PCR)检测2024年1月—2025年1月在联勤保障部队第988医院普通外科行肝癌切除术的92例患者肝癌组织和癌旁组织中miR-6509-3p表达情况,分析临床病理特征与miR-6509-3p表达水平的关系。同时,检测miR-6509-3p在多株肝癌细胞的表达情况。在MHCC97-H中干扰miR-6509-3p表达,而HepG2过表达miR-6509-3p,设置相应的对照组。细胞毒实验(methylthiazolyldiphenyl-tetrazolium bromide,MTT)和EdU检测各组细胞增殖能力;细胞划痕和Transwell实验检测细胞迁移和侵袭;免疫印迹试验(Western blot)检测各组细胞中E-cadherin、N-cadherin和snail蛋白表达情况。生物信息学预测miR-6509-3p与SLCO1B3结合。qRT-PCR检测92例肝癌组织中SLCO1B3 mRNA的表达,并分析其与miR-6509-3p的相关性。双荧光素酶报告实验和RNA免疫沉淀(RNA immunoprecipitation,RIP)实验进一步验证二者的结合。在回复实验中设置SLCO1B3干扰组,观察对肝癌细胞增殖、迁移、侵袭能力影响和EMT相关蛋白表达的变化。  结果  肝癌组织中miR-6509-3p表达明显高于癌旁组织(P < 0.001),且与肿瘤大小、分化程度、微血管癌栓方面均显著相关(P < 0.05)。过表达miR-6509-3p可促进肝癌细胞增殖、迁移和侵袭(P < 0.001),伴随E-cadherin蛋白表达降低(P < 0.001),N-cadherin和snail蛋白表达增加(P < 0.01),干扰miR-6509-3p后产生了相反的作用效果(P < 0.01)。在肝癌组织中miR-6509-3p与SLCO1B3 mRNA表达呈显著负相关(P < 0.001)。miR-6509-3p靶向结合SLCO1B3。干扰SLCO1B3可以逆转miR-6509-3p inhibitor对肝癌细胞增殖,侵袭、迁移和EMT相关蛋白表达的影响(P < 0.01)。  结论  miR-6509-3p在肝癌细胞和组织中高表达,其可促进肝癌细胞增殖,侵袭和迁移,促进EMT过程,可能通过miR-6509-3p/SLCO1B3轴发挥作用。
DAPK1/MAPK1轴调节帕金森病模型中的神经元损伤
任仲坤, 高必波, 孙雪玲, 朱灵英, 苏银芳
摘要(86) HTML(65) PDF (30)
摘要:
  目的  阐明死亡相关蛋白激酶1(death-associated protein kinase 1,DAPK1)/有丝分裂蛋白激酶1(mitogen-activated protein kinase 1,MAPK1)轴在帕金森病(parkinson’ s disease,PD)致病机制中的机制。  方法  采用1-甲基-4-苯基-1,2,3,6-四氢吡啶(1-methyl-4-phenyl-1,2,3,6-tetrahydropyridine,MPTP)和1-甲基-4-苯基吡啶(1-methyl-4-phenylpyridinium,MPP+)构建体内PD模型和体外PD细胞模型,构建si-DAPK1和oe-MAPK1质粒转染至细胞中,RT-qPCR和Western blot用于评估转染效率。通过CCK-8、流式细胞术、试剂盒检测和酶联免疫吸附测定(enzyme-linked immunosorbent assay,ELISA)检测评估细胞活力、细胞凋亡水平、Caspase-3和Caspase-9 活性以及乳酸脱氢酶(lactate dehydrogenase,LDH)、超氧化物变形酶(superoxide dismutase,SOD)、活性氧(reactive oxygen species,ROS)、肿瘤坏死因子α(tumor necrosis factor α,TNF-α)、白介素1β(interleukin 1β,IL-1β)和白介素6(interleukin 6,IL-6)水平。利用数据库STRING进行蛋白互作预测,并采用免疫共沉淀(co-immunoprecipitation,CO-IP)进行验证。  结果  在体内PD模型和体外PD细胞模型中DAPK1和MAPK1的表达水平显著升高。沉默DAPK1减轻MN9D细胞中MPP+诱发细胞凋亡和半胱天冬酶-3(Caspase-3)和Caspase-9水平,降低了LDH、ROS、TNF-α、IL-1β和IL-6的含量,增加了SOD的含量。细胞中DAPK1与MAPK1的相互作用。过表达MAPK1后抑制了沉默DAPK1的作用,促进了MPP+诱发神经炎症。  结论  沉默DAPK1通过与MAPK1相互作用,缓解了MPP+诱发的细胞毒性发挥神经保护作用,是PD治疗的潜在靶点。
首发精神分裂症患者血清SHBG、NCAM、CCL2水平对认知功能障碍的诊断价值
陈昭桂, 牟艳卉, 陈静慈, 全智, 陈静思
摘要(75) HTML(46) PDF (27)
摘要:
  目的  探究首发精神分裂症(first-episode schizophrenia,FES)患者血清性激素结合球蛋白(sex hormone-binding globulin,SHBG)、神经细胞黏附分子(neural cell adhesion molecule,NCAM)、CC基序趋化因子配体2(c-c motif chemokine ligand 2,CCL2)水平对认知功能障碍的诊断价值。  方法  选择2023年7月至2025年6月诊治的125例FES患者为研究组,另选132例同期在玉林市荣军优抚医院体检的健康志愿者为对照组,根据研究组是否发生认知功能障碍分为非障碍组(n = 72)和障碍组(n = 53)。ELISA检测血清SHBG、NCAM、CCL2水平,阳性与阴性症状量表(positive and negative syndrome scale,PANSS)评估患者精神分裂症严重程度,蒙特利尔认知评估表(montreal cognitive assessment,MoCA)评估患者是否发生认知功能障碍,精神分裂症认知功能成套测验共识版(measurement and treatment research to improve cognition in schizophrenia consensus cognitive battery,MCCB)评分评估患者认知障碍程度。Pearson相关性分析SHBG、NCAM、CCL2水平与PANSS评分、MCCB评分的相关性;ROC曲线分析SHBG、NCAM、CCL2对FES患者发生认知功能障碍的诊断价值,Z检验比较AUC的差异。  结果  与对照组相比,研究组SHBG、CCL2水平较高,NCAM水平较低(P < 0.05);与非障碍组相比,障碍组SHBG、CCL2水平较高,NCAM水平较低(P < 0.05);与非障碍组相比,障碍组PANSS评分(阳性症状、阴性症状、一般病理症状、总分)较高,MCCB评分(社会认知、推理和问题解决能力、视觉学习、词语学习、工作记忆、注意/警觉性、信息处理速度、总分)较低(P < 0.05);障碍组血清SHBG、CCL2水平与PANSS评分各项及总分呈正向相关,与MCCB评分各项及总分呈负相关,NCAM水平与PANSS评分各项及总分呈负向相关,与MCCB评分各项及总分呈正相关(P < 0.05);SHBG、NCAM、CCL2联合诊断FES患者发生认知功能障碍的AUC为0.955,优于各自单独诊断(0.795、0.814、0.824)(P < 0.05)。  结论  FES患者SHBG、CCL2水平较高,NCAM水平较低,三者与疾病严重程度及认知障碍严重程度具有相关性,联合诊断具有一定的临床意义。
不同红细胞压积水平非小细胞肺癌伴胸腔积液患者临床病理特征及其与预后的相关性
江汝伟, 徐丽君, 王惠茹, 黄思宇
摘要(104) HTML(62) PDF (34)
摘要:
  目的  探讨非小细胞肺癌(non-small cell lung cancer,NSCLC)伴胸腔积液(pleural effusion,PE)患者红细胞压积(hematocrit,HCT)水平的临床影响因素,并深入分析HCT水平对患者预后的影响。  方法  选取2020年1月至2025年5月期间于安徽省颍上县人民医院确诊治疗的NSCLC伴PE患者125例,根据患者治疗4周期后HCT水平,按三分位数将其分为高HCT组(>39.84%,n = 41)、中HCT组(36.52%~39.84%,n = 43)和低HCT组(<36.52%,n = 41)。采用逐步校正回归分析探讨临床病理特征与治疗4周期后HCT水平的关系;多因素Logistic回归对治疗4周期后HCT水平与预后不良的独立相关性进行分析;E值法进行敏感性分析;亚组分析不同血常规指标、癌胚抗原(carcinoembryonic antigen,CEA)、细胞核相关抗原67(Ki67 nuclear-associated antigen,Ki67)水平下,治疗4周期后HCT水平与NSCLC伴PE患者预后的关系;区间似然比分析治疗4周期后不同HCT水平的预后不良情况;受试者工作特征曲线(receiver operating characteristic,ROC)并计算曲线下面积(area under curve,AUC)分析治疗4周期后不同HCT水平对预后不良的预测;限制性立方样条(restricted cubic spline,RCS)分析治疗4周期后不同HCT水平与预后不良的剂量-反应关系;Kaplan-Meier生存曲线分析治疗4周期后不同HCT水平对预后不良的影响。  结果  三组患者的性别、年龄、淋巴结转移、分化程度、肿瘤分期、吸烟史、HCT、淋巴细胞(lymphocyte,LY)计数、中性粒细胞(neutrophilic granulocyte,NE)计数、中性粒细胞淋巴细胞计数比值(neutrophil-lymphocyte ratio,NLR)、嗜酸粒细胞(eosinophils,EOS)计数、CEA、Ki67、血红蛋白(hemoglobin,Hb)、铁蛋白(ferritin,Fer)、转铁蛋白饱和度(transferrin saturation,TSAT)、白蛋白(albumin,ALB)、C反应蛋白(C-reactive protein,CRP)、客观缓解率、疾病控制率水平差异均有统计学意义(P < 0.05)。性别、吸烟史、肿瘤分期、淋巴转移与HCT水平密切相关(P < 0.05)。预后良好组治疗后HCT水平均明显高于预后不良组(P < 0.05)。校正混杂因素后,治疗4周期后HCT水平与预后不良的风险仍存在独立相关性(OR = 1.472,95%CI:1.345~1.620)。敏感性分析显示E值为3.983。亚组分析结果显示,在不同NE、LY、NLR、EOS、CEA、Ki67区间范围内,治疗4周期后HCT水平均与NSCLC伴PE患者预后相关。低HCT组阳性似然比为6.468,95%CI:2.703~15.478,P < 0.001,低HCT水平可明显增加预后不良的风险;高HCT组阳性似然比减小至0.064,95%CI:0.009~0.450,P < 0.05,高HCT水平可明显降低预后不良的风险。治疗4周期后HCT水平在总体、女性、男性患者群体内对预后不良均具有高等预测效能,其AUC分别为0.940(95%CI:0.733~0.988)、0.823(95%CI:0.767~0.876)、0.844(95%CI:0.753~0.903),得到HCT水平最佳截断值分别为36.24%、32.89%、35.35%。RCS结果显示总体、女性、男性患者群体治疗4周期后HCT水平与预后不良风险的关联强度均呈非线性剂量-反应关系(Pfor non linear<0.05)。Kaplan-Meier生存曲线结果显示,治疗4周期后中、高HCT水平患者的无进展生存期(progression-free survival,PFS)明显高于低HCT水平患者,差异具有统计学意义(P < 0.05)。  结论  低HCT水平可明显增加NSCLC伴PE患者预后不良的风险,当HCT≤36.24%时,HCT水平与预后不良风险的关联强度明显升高,且在不同NE、LY、NLR、EOS、CEA、Ki67水平下HCT水平均与预后相关。临床诊疗综合监测上述指标对于评估此类患者预后具有重要的临床价值。
纳西族与汉族孕早期孕妇体成分差异及影响因素分析
王军强, 和丽梅, 松洁, 和红娟, 和萍
摘要(99) HTML(61) PDF (37)
摘要:
  目的  比较纳西族、汉族孕早期孕妇体成分差异及膳食摄入情况,并分析体成分的影响因素。  方法  采用横断面研究,以2024年8月至12月在丽江市妇女儿童医院接受检查的汉族、纳西族孕早期孕妇271例作为研究对象,分析两个民族孕早期孕妇体成分、膳食摄入情况差异,并使用多重线性回归分析体成分主要指标的影响因素。  结果  纳西族孕妇孕前体重、孕前BMI高于汉族孕妇,差异有统计学意义(Z = -3.024、Z = -2.984,P < 0.05);纳西族孕早期孕妇体脂百分比、基础代谢率、总体水、细胞内液、细胞外液、体脂肪、去脂体重、肌肉重均高于汉族孕早期孕妇,差异有统计学意义(Z = -3.123、Z = -3.161、Z = -2.623、Z = -2.078、Z = -2.569、Z = -3.454、Z = -2.645、Z = -2.624,P < 0.05);纳西族孕早期孕妇谷薯类平均摄入量高于汉族孕早期孕妇,蔬菜类平均摄入量低于汉族孕早期孕妇,差异有统计学意义(Z = -2.164、Z = -2.289,P < 0.05);多重线性回归分析显示,孕前BMI是体脂百分比(B = 1.237)、基础代谢率(B = 24.088)、总体水(B = 0.688)、去脂体重(B = 0.803)、肌肉重(B = 0.882)的主要影响因素;谷薯类、鱼禽肉蛋类食物摄入量是基础代谢率(B = 0.085、B = 0.172)、去脂体重(B = 0.004、B = 0.008)、肌肉质量(B = 0.004、B = 0.011)及总体水(B = 0.003、B = 0.008)的影响因素。  结论  孕前BMI是纳西族、汉族孕早期孕妇体成分的主要影响因素,谷薯类、鱼禽肉蛋类食物摄入量对基础代谢率、去脂体重、肌肉重及总体水具有显著的促进作用。
外周血miR-409-3p、miR-6861-5p与肝细胞肝癌患者TACE治疗预后的关系
黄通, 胡洁, 袁海汀, 李佳慧, 林武华
摘要(143) HTML(89) PDF (53)
摘要:
  目的   探究外周血miR-409-3p、miR-6861-5p与经导管动脉化疗栓塞术(transcatheter arterial chemoembolization,TACE)后肝细胞肝癌(hepatocellular carcinoma,HCC)患者预后的关系。  方法   选取武警四川省总队医院2019年1月—2022年4月收治HCC患者200例作为HCC组,采用TACE治疗,对照组由同期招募的200名健康志愿者组成。比较两组外周血miR-409-3p、miR-6861-5p表达水平及HCC组不同特征患者外周血miR-409-3p、miR-6861-5p表达水平,随访3年,统计HCC患者TACE治疗预后,比较不同预后、疗效患者外周血miR-409-3p、miR-6861-5p表达及变化值,采用COX回归方式,分析其预后影响因素,绘制受试者工作特征(receiver operating characteristic curve,ROC)曲线分析HCC患者miR-409-3p、miR-6861-5p预测TACE治疗预后的效能,Kaplan-Meier生存曲线分析miR-409-3p、miR-6861-5p与HCC患者TACE治疗预后的关系。  结果   HCC组外周血miR-409-3p表达水平低于对照组,miR-6861-5p表达水平高于对照组(P < 0.05);200例患者随访3年,随访期间,失访9例,其余患者中101例(52.88%)因HCC死亡。多因素COX回归分析结果显示,肿瘤数目、门静脉癌栓、首次TACE疗效、后续接受系统治疗及外周血miR-409-3p、miR-6861-5p表达均为HCC患者预后独立影响因素(P < 0.05),且校正了肿瘤数目、门静脉癌栓、首次TACE疗效、后续接受系统治疗后,ΔmiR-409-3p、ΔmiR-6861-5p表达仍与HCC患者预后独立相关(P < 0.05);ROC曲线显示,ΔmiR-409-3p、ΔmiR-6861-5p单独预测TACE治疗预后的曲线下面积(area under the curve,AUC)分别为0.766、0.750,二者联合预测HCC患者TACE治疗预后的曲线下面积为0.863,明显大于各指标单独预测(P < 0.05)。  结论   外周血miR-409-3p和miR-6861-5p是HCC重要的潜在调控分子,其治疗前后的动态变化(Δ值)与TACE疗效及患者生存密切相关。联合检测二者Δ值构建的预测模型具有较高的临床转化潜力,有望用于TACE治疗前高危患者的筛选及治疗后疗效的早期评估和动态监测。
内质网PERK/eIF-2α信号通路在宫颈癌中的表达及其临床意义
何配配, 陈珂, 徐郡, 汪志霞, 严雪梅
摘要(233) HTML(167) PDF (103)
摘要:
  目的  探讨内质网应激蛋白激酶R样内质网激酶(stress protein kinase R-like endoplasmic reticulum kinase,PERK)/真核启动因子2α(eukaryotic initiation factor 2α,eIF-2α)信号通路在宫颈上皮内瘤变(cervical intraepithelial neoplasia,CIN)和宫颈癌(cervical carcinoma,CC)中的表达及其对肿瘤进程的影响。  方法  收集2022年1月至2023年4月在南京明基医院进行诊治的CC患者的宫颈活检标本58例为宫颈癌组,选取同期52例宫颈上皮内瘤变(CIN Ⅱ级、CIN Ⅲ级)作为对照组,选取同期34例健康子宫患者的宫颈组织为正常组。Western blot法检内质网介导相关蛋白的表达;免疫组织化学法检测PERK/eIF-2α在CC中的染色状况。将HeLa细胞分为对照组、pcDNA3.1-NC组、过表达PERK组、sh-NC组、干扰PERK组,采用CCK-8法检测细胞增殖活性,免疫荧光染色观察细胞内上皮型钙黏蛋白(E-cadherin)表达,应用流式细胞术检测细胞凋亡与周期分布,Transwell实验评估细胞迁移与侵袭能力。  结果  随着CIN分级程度的增加,PERK/eIF-2α表达升高(P < 0.05),且CC组织PERK/eIF-2α表达显著高于CIN组织(P < 0.05);与pcDNA3.1-NC组比较,过表达PERK组细胞增殖活性升高,细胞内E-cadherin荧光表达明显减弱(P < 0.05),E-cadherin蛋白表达下调(P < 0.05),促进细胞增殖、迁移与侵袭,抑制细胞凋亡(P < 0.05);与sh-NC组比较,干扰PERK组细胞增殖活性降低,细胞内E-cadherin荧光表达则明显增强(P < 0.05),E-cadherin蛋白表达上调(P < 0.05),抑制细胞增殖、迁移与侵袭,促进细胞凋亡(P < 0.05)。  结论  内质网应激PERK/eIF-2α在子宫内瘤变和CC组织中表达升高,抑制其表达能够降低CC肿瘤细胞增殖,从而减缓肿瘤进程。
线粒体途径铁死亡在尿毒症毒素相关的心肌损伤中的作用及机制
周亚萍, 邸芳芳, 王伟
摘要(280) HTML(165) PDF (103)
摘要:
  目的  探讨尿毒症毒素硫酸吲哚酚(indoxyl sulfate,IS)在慢性肾病(chronic kidney disease,CKD)大鼠心肌损伤中的作用及其通过线粒体途径介导铁死亡的机制。  方法  采用5/6肾切除法建立CKD模型,将大鼠随机分为假手术组、CKD组、IS组、CKD+IS组及CKD+IS+铁死亡抑制剂Ferrostatin-1(Fer-1)组。通过比色法检测心肌组织超氧化物歧化酶(superoxide dismutase,SOD)活性、丙二醛(malonaldehyde,MDA)、还原型谷胱甘肽(reduced glutathione hormone,GSH)及Fe2+含量;采用二氢乙啶(dihydropyridine,DHE)荧光法观察活性氧(reactive oxygen,ROS)水平;RT-qPCR与Western blot检测铁死亡相关基因长链脂肪酸-CoA合成酶4(acyl-coA synthetase long-chain family member 4,ACSL4)、胱氨酸/谷氨酸逆转运蛋白(solute carrier family 7 member 11,SLC7A11)和GPX4的mRNA及蛋白表达;TUNEL法评估心肌细胞凋亡;同时检测线粒体ATP含量并通过透射电镜观察其超微结构变化。  结果  与假手术组相比,CKD组大鼠体重下降,心脏质量增加(P < 0.05),SOD与GSH水平下降,MDA、Fe2+及ROS显著升高(P < 0.05);ACSL4表达上调,而SLC7A11与GPX4显著下调(P < 0.05),并伴随大量心肌细胞凋亡及ATP含量减少(P < 0.05)。慢性IS暴露进一步加剧上述变化(P < 0.05),表现为线粒体肿胀、嵴断裂及膜密度增加等典型铁死亡超微结构特征;而Fer-1干预可逆转这些损伤,使ATP水平恢复、线粒体形态改善。  结论   IS可通过激活线粒体途径诱导铁死亡,加重CKD大鼠心肌氧化应激与能量代谢障碍,从而促进心肌细胞凋亡;Fer-1干预可显著缓解IS诱导的线粒体损伤与心肌铁死亡。
外周血单核细胞AKT/mTOR信号通路表达在慢性阻塞性肺疾病患者中的评估价值
张军军, 梁珍, 彭延芳
摘要(286) HTML(161) PDF (101)
摘要:
  目的  探讨AKT/mTOR信号通路表达在慢性阻塞性肺疾病患者中的研究价值。  方法  收集 2023 年 1 月至2024 年 6 月于鄂尔多斯市中心医院健康对照者 20 例、稳定期 COPD(R-COPD)患者 20 例及急性加重期 COPD(AE-COPD)患者 20 例。所有研究对象均采集外周静脉血样本,分离其血清及外周血单个核细胞(PBMCs),采用定量逆转录聚合酶链反应(qRT-PCR)检测 PBMCs 中 AKT/mTOR 信号通路的表达水平。体外实验中,将人肺微血管内皮细胞(HULEC-5a)和人肺支气管上皮细胞(HBE)分为对照组、香烟烟雾提取物(CSE)组和 AKT 抑制剂 MK-2206 组,通过 qRT-PCR、蛋白印迹及免疫荧光法检测各组细胞中 AKT/mTOR 信号通路的表达;采用条件培养基共培养实验,将含 MK-2206 的 HULEC-5a 细胞上清液加入肺成纤维细胞或人白血病 THP-1 细胞系衍生巨噬细胞的培养孔中,通过 Transwell 法分析细胞迁移能力。  结果  三组受试者性别、年龄、体重、身高及 BMI 差异无统计学意义(P > 0.05)。肺功能方面,AE-COPD 组 FVC(72.08±10.78,% pred.)、FEV1(47.21±11.32,% pred.)及 FEV1/FVC(%,58.67±11.68)低于 R-COPD 组和健康对照组(P < 0.05)。qRT-PCR 显示,AE-COPD 组 PBMCs 中 AKT mRNA和 mTOR mRNA表达量高于 R-COPD 组和健康对照组(F = 10.31、13.23,P = 0.001)。体外实验中,HULEC-5a 和 HBE 细胞 CSE 组 AKT/mTOR 的 mRNA 及蛋白表达高于对照组,而 MK-2206 组较 CSE 组降低(P < 0.05)。免疫荧光定量显示,CSE 组 AKT/mTOR 荧光强度升高,MK-2206 组则明显降低(F = 18.632、17.853,P = 0.000)。Transwell 实验显示,CSE 组人肺成纤维细胞[(391.31±23.21)个 / 视野]和 THP-1 巨噬细胞[(411.25±32.65)个 / 视野]数量高于对照组,MK-2206 组较 CSE 组减少(F = 24.389、36.645,P = 0.001)。  结论  AKT/mTOR信号通路在COPD加重期间上调,AKT抑制剂MK-2206降低了AKT/mTOR信号通路表达,AKT/mTOR信号通路可影响肺成纤维细胞和单核细胞源性巨噬细胞的迁移,这可能在COPD加重过程中发挥重要作用。
2022年两株新型柯萨奇病毒B组2型毒株的全基因组分析
李响, 楚昭阳, 杨蘅莉, 冯昌增, 李丽, 刘建生, 马绍辉
摘要(255) HTML(159) PDF (96)
摘要:
  目的  对云南省柯萨奇病毒B组2型重组毒株进行全基因组分析。  方法  设计覆盖CVB2全基因组序列的扩增引物,采用分段PCR策略获取病毒基因组片段,通过"引物移步法"完成测序,随后进行序列组装。运用DNAStar 7.1、 MEGA 7.0、 Simplot 3.5.1与RDP4等软件进行全基因组序列分析。  结果  VP1区系统发育分析显示,两株CVB2分离株均属C基因型,与云南地区近五年流行株亲缘关系最近。全基因组序列分析显示,两株分离株间核苷酸一致性为90.1%。P1-P3区进化分析表明,P2和P3区域中CVB2毒株与非CVB2血清型EVB毒株聚类。通过Simplot和Bootscan分析,发现135V3/YN/CHN/2022分离株在非结构编码区可能存在多个重组事件。此外,RDP4分析结果显示135V3/YN/CHN/2022分离株经历了涉及E31/USA/13H4/2016和CVB5/Swab/HB.HS/CHN/2019分离株的重组事件。  结论  2022年云南昆明分离的两株CVB2属于C基因型并存在重组,凸显了持续监测其基因组变化的必要性
血清NF-κB、S1P1、SOCS3水平与细菌感染性肺炎患儿病情程度的相关性及预后预测价值
赵梦娇, 巨艳妮
摘要(253) HTML(153) PDF (100)
摘要:
  目的  探究细菌感染性肺炎患儿血清核因子κB(nuclear factor-kappa B,NF-κB)、1-磷酸鞘氨醇受体1(sphingosine-1-phosphate 1,S1P1)、细胞因子信号转导抑制因子3(suppressor of cytokine signaling 3,SOCS3)水平与病情程度的相关性及其对患儿预后的预测价值。  方法  选取2022年1月至2024年12月西安国际医学中心医院收治的200例细菌感染性肺炎患儿,分为轻症组(n = 120)和重症组(n = 80),另选120例体检健康儿童为对照组。ELISA法检测三组血清NF-κB、S1P1、SOCS3水平,采用Spearman和Pearson相关性分析其与患儿病情指标和临床指标的相关性。对细菌感染性肺炎患儿随访6个月,分为预后良好组(n = 131)和预后不良组(n = 69),采用Logistic回归分析预后不良因素。采用ROC曲线评估血清NF-κB、S1P1、SOCS3水平对预后的预测价值。采用DCA曲线评估血清NF-κB、S1P1、SOCS3的临床净获益。  结果  轻症组、重症组血清NF-κB、SOCS3、C反应蛋白(C-reactive protein,CRP)、白细胞计数(white blood cell count,WBC)、临床肺部感染评分(clinic pulmonary infection score,CPIS)高于对照组,S1P1、收缩压、舒张压低于对照组(P < 0.05);重症组血清NF-κB、SOCS3、CRP、WBC、CPIS评分高于轻症组,S1P1低于轻症组,心率高于对照组和轻症组(P < 0.05)。病情、CPIS评分、CRP、WBC与血清NF-κB、SOCS3水平呈正相关,与S1P1水平呈负相关(P < 0.05)。预后不良组血清NF-κB、SOCS3、CRP、WBC、CPIS评分高于预后良好组,S1P1低于预后良好组(P < 0.05)。NF-κB、SOCS3、CRP、WBC、CPIS评分升高以及S1P1降低是影响细菌感染性肺炎患儿预后不良的危险因素(P < 0.05)。血清NF-κB、S1P1、SOCS3联合预测细菌感染性肺炎患儿预后不良的AUC和净获益高于单项预测(P < 0.05)。  结论  细菌感染性肺炎患儿血清NF-κB、SOCS3水平升高,S1P1水平降低,三者与患儿病情严重程度和预后密切相关,对预后不良具有较高的预测价值和临床净获益。
基于分子对接筛选肺炎克雷伯菌β内酰胺金属酶NDM-1抑制剂及活性研究
杨晓钰, 李波, 郑瑞, 苏敏
摘要(198) HTML(149) PDF (97)
摘要:
  目的  基于NDM-1酶三维结构,筛选潜在抑制剂并进行药效评价。  方法  采用计算机辅助药物设计方法,从50K Diversity Library化合物库中筛选分子对接得分前5的候选化合物。进一步联合美罗培南、亚胺培南及头孢他啶进行最低抑菌浓度(minimum inhibitory concentration,MIC)检测,评估其抑制NDM-1的活性。并通过分子动力学模拟分析候选化合物与NDM-1结合的稳定性。  结果  分子对接得分前5的化合物与三种β-内酰胺类抗生素联合应用时,MIC值未见明显降低,提示其对NDM-1抑制效果有限。分子动力学模拟显示,化合物 1345 在反应体系中均方根偏差值(root-mean-square deviation,RMSD)和自由能波动较大,表明其构象不稳定;化合物 2 虽无显著RMSD波动,但结合自由能值偏低,可能导致结合力不足。  结论  5个候选化合物与NDM-1蛋白的结合稳定性存在差异导致其抑制活性整体表现有限。
HIF-2α通过激活CXCR4调节关节软骨退变促进骨关节炎进程的机制
许鹏, 肖亚洲, 雷正亮, 刘欢, 刘露畅
摘要(345) HTML(240) PDF (92)
摘要:
  目的  探讨缺氧诱导因子2α(hypoxia-inducible factor 2alpha,HIF-2α)/C-X-C趋化因子受体4型(C-X-C receptor 4,CXCR4)通路调节骨关节炎(osteoarthritis,OA)的分子机制。  方法  用C57BL/6 雄性小鼠原代软骨细胞构建软骨退变细胞模型。将pcDNA、pcDNA-HIF-2α、si-NC、si-HIF-2α和si-CXCR4质粒并转染至细胞中,用RT-qPCR、Western blot和免疫荧光检测HIF-2α、CXCR4、MMP-3,Collagen II和aggrecan的表达水平。流式细胞术评估细胞凋亡,ELISA检测炎症因子PGE2、IL-6、IL-1β和TNF-α的表达。通过EMSA、CHIP和双荧光素酶报告验证HIF-2α和CXCR4的相互作用。  结果  HIF-2α在低氧环境下通过上调软骨细胞内MMP-3的表达和炎症因子PGE2、IL-6、IL-1β和TNF-α的分泌(P < 0.05),下调Collagen II和aggrecan表达(P < 0.001),促进了软骨细胞凋亡。HIF-2α与CXCR4的启动子结合,调控其转录表达。HIF-2α通过激活CXCR4在低氧环境下促进OA的进展;而敲低CXCR4后,抑制了HIF-2α对软骨细胞炎症、降解和凋亡的促进作用,缓解OA的进展。  结论  HIF-2α/CXCR4轴可以有效介导软骨细胞炎症反应、基质降解和凋亡。
早期肺小气道损害能谱CT碘基值与FEV1/FVC的相关性
高翔, 杨程
摘要(203) HTML(233) PDF (95)
摘要:
  目的  探讨肺小气道损害患者能谱CT碘基值与肺通气功能参数的关系。  方法  回顾性分析2021年8月至2024年12月南京明基医院收治的152例早期肺小气道损害患者临床资料,作为观察组;另收集同期在医院健康体检者152例临床资料,作为对照组。所有受检者资料均完整,包括能谱CT检查资料、肺功能检查资料及一般资料。比较两组的能谱CT检查参数及肺功能参数,分析能谱CT碘基值筛查早期肺小气道损害的价值,并分析肺小气道损害患者能谱CT碘基值与第1秒用力呼气容积(forced expiratory volume in one second,FEV1)/用力肺活量(forced vital capacity,FVC)的相关性。  结果  观察组FEV1/FVC、FEF50%、FEF75%、FEF25%~75%均比对照组低(P < 0.05);观察组能谱CT的动脉期标准化碘基值(normalized iodine concentration in arterial phase,nICAP)、静脉期标准化碘基值(normalized iodine concentration in venous phase,nICVP)值均比对照组低(P < 0.05);经Logistic回归分析发现,FEV1/FVC、FEF50%、FEF75%、FEF25%~75%、nICAP、nICVP升高均是早期肺小气道损害的保护因子(OR < 1,P < 0.05);ROC曲线结果显示,能谱CT nICAP、nICVP值及FEV1/FVC、FEF50%、FEF75%、FEF25%~75%筛查早期肺小气道损害的AUC均>0.50,且联合筛查早期肺小气道损害的AUC>0.90,筛查价值较高;采用双变量Pearson直线相关性分析结果显示,早期肺小气道损害患者FEV1/FVC与nICAP、nICVP之间无相关性(r = 0.096、0.076,P = 0.098、0.189),与FEF50%、FEF75%、FEF%25~75%之间呈正相关(P < 0.05)。  结论  能谱CT碘基值与肺小气道损害存在相关性,而早期肺小气道损害患者的能谱CT碘基值与FEV1/FVC之间无相关性。
基于数据挖掘和网络药理学探究中药治疗IgA肾病的核心物质及其分子机制
杨川琪, 赵若莲, 唐亚娟, 刘子杰, 李欢, 张慧, 柴琳
摘要(805) HTML(312) PDF (99)
摘要:
  目的  基于数据挖掘、网络药理学预测中药治疗IgA肾病(IgA nephropathy,IgAN)的机制,通过体外实验验证。  方法  在古今医案云平台检索治疗IgAN的名家医案,筛选核心药物。在TCMSP等数据库检索药物靶点,在Genecards等数据库中检索IgAN靶点,用韦恩图取交集,建立疾病-成分-靶点网络图。建立PPI网络,进行GO与KEGG分析,采用分子对接验证。建立IgAN细胞模型,设立对照组、模型组(IgA)、不同浓度药物组(槲皮素),采用CCK-8法检测各组细胞活力;ELISA法检测各组分泌IL-6水平;RT-qPCR法检测各组靶点水平。  结果  数据挖掘得到黄芪频次最高,达144次;中药属性以寒、甘、肝、清热解毒为主。网络药理学分析出核心物质为槲皮素、山柰酚、木犀草素、汉黄芩素、异鼠李素。PPI分析核心靶点为ESR1、IL6、BCL2、JUN、CASP3。分子对接验证了核心物质与靶点之间有强结合力。GO分析包含基因表达的正向调节;KEGG富集在AGE-RAGE信号通路、IL-17 信号通路等。实验验证了槲皮素组干预后细胞活力升高(P < 0.05),抑制了IL-6因子表达(P < 0.01),并上调了ESR1、BCL-2的mRNA水平(P < 0.05),下调IL-6、 JUN、 CASP3 水平(P < 0.05)。  结论  本研究挖掘IgAN的用药规律,筛选出治疗IgAN核心物质及对应靶点,实验验证了槲皮素增强IgA刺激下的细胞活力,抑制炎症因子分泌,调节靶点水平,为研究治疗IgAN分子机制提供有益参考。
复杂疑难气胸患者在超声引导下胸腔闭式引流术的治疗效果及对炎症因子、肺功能的影响
刘丹, 白上林, 吴旭, 任王胜, 吴先余, 曾航, 许果
摘要(390) HTML(364) PDF (90)
摘要:
  目的  探究超声引导下胸腔闭式引流术与传统胸腔闭式引流术对复杂疑难气胸患者的治疗效果,并比较二者对患者炎症因子水平及肺功能指标的影响。  方法  选择2021年9月至2024年9月于绵阳四〇四医院收治的128例复杂疑难气胸患者为研究对象,非随机分为研究组(n = 64,行超声引导下胸腔闭式引流术)与对照组(n = 64,行传统胸腔闭式引流术)。为进一步平衡两组之间的潜在差异,采用倾向性评分匹配法(propensity score matching,PSM)以1:1的比例对基线资料进行匹配。对匹配后患者的临床数据进行分析。采用重复测量方差分析两组患者的炎症因子[白细胞介素-6(interleukin-6,IL-6)、C-反应蛋白(C-reactive protein,CRP)]指标水平与肺功能[用力肺活量(forced vital capacity,FVC)、1秒用力呼气容积(forced expiratory volume in 1 second,FEV1)、1秒用力呼气容积占用力肺活量百分比(forced expiratory volume in 1 second/forced vital capacity,FEV1/FVC)]指标水平。Pearson法分析术前炎症因子指标与肺功能指标的相关性。Logistic回归模型分析有无超声引导对胸腔闭式引流术术后并发症发生事件影响,并进行亚组分析。  结果  PSM后,研究组和对照组各匹配到50例患者,基线资料具有可比性(P > 0.05)。较对照组,研究组手术时间、引流时间、术后住院时间更短(P < 0.05),引流量更多(P < 0.05),并发症总发生率更低(P < 0.05),治疗总有效率更高(P < 0.05)。重复测量方差分析显示:(1)研究组与对照组患者IL-6、CRP水平均随时间增加先升高后降低,FVC、FEV1和FEV1/FVC水平均随时间增加而升高,时间效应有统计学意义(P < 0.05);(2)研究组患者术后1 d、术后3 d和术后7 d的IL-6、CRP均明显低于对照组,术后1个月、术后3个月的FVC、FEV1明显高于对照组患者(P < 0.05),各指标组间效应有统计学意义(P < 0.05);(3)时间因素对两组患者IL-6、CRP、FVC、FEV1的影响根据胸腔闭式引流术中是否使用超声引导的不同而有所不同,交互效应均存在统计学意义(P < 0.05)。Pearson结果显示,IL-6、CRP与FVC、FEV1和FEV1/FVC均呈负相关(P < 0.05)。Logistic回归分析显示,校正协变量后,胸腔闭式引流术中使用超声引导仍是降低复杂疑难气胸患者术后并发症发生的独立保护因素(OR = 0.196,95%CI:0.047~0.816,P = 0.025),且在不同亚组人群中的结果一致(P交互 > 0.05)。  结论  超声引导下胸腔闭式引流术治疗复杂疑难气胸患者的效果更优,能更有效调节炎症因子水平、改善肺功能,且可降低术后并发症发生风险。
鼻咽癌患者放射性口腔黏膜炎局部低温护理联合营养干预模式下癌性厌食轨迹及影响因素
胡亚萍, 陈佩娟, 李丹, 何莲
摘要(238) HTML(171) PDF (92)
摘要:
  目的  探讨鼻咽癌患者放射性口腔黏膜炎局部低温护理联合营养干预下癌性厌食轨迹及影响因素。  方法  选取2024年1月至2024年12月南方医科大学南方医院收治的120例鼻咽癌放射性口腔黏膜炎患者,均予局部低温护理联合营养干预。放疗第1周(T0)、3周(T1)、5周(T2)、7周(T3)及结束时(T4)采用癌症患者厌食-恶病质调查问卷(functional assessment of anorexia/cachexia therapy,FAACT)评估患者癌性厌食情况。将患者分为低癌性厌食组(n = 48)、中癌性厌食组(n = 42)和高癌性厌食组(n = 30)。口腔黏膜炎分级采用世界卫生组织(world health organization,WHO)放射性口腔黏膜炎分级标准进行分级。  结果  潜在类别增长模型显示三类模型拟合最佳。低癌性厌食组(25.00%)T0~T2得分≥24分;中癌性厌食组(35.00%)各时间点得分低于低分组、高于高分组(P < 0.05);高癌性厌食组(40.00%)T0~T4得分<24分,83.33%提及进食疼痛、66.67%厌恶油腻,低分组仅12.50%有轻微不适。单因素分析显示,年龄、放疗剂量、口腔黏膜炎分级、血清白蛋白、FAACT及患者主观整体营养状况评估量表(patient-generated subjective global assessment,PGS-GA)评分与厌食轨迹相关(P < 0.05),与性别等无关(P > 0.05);多元Logistic回归显示,上述6项为独立影响因素(P < 0.05)。  结论  癌性厌食存在低、中、高三类变化轨迹,年龄、放疗剂量、口腔黏膜炎分级、血清白蛋白水平、FAACT评分、PGS-GA评分是独立影响因素,可为临床制定护理方案提供参考。
1990—2021年中日美归因于高钠饮食的高血压肾病疾病负担及其预测分析
方岚希, 刘冠林, 杨宇航, 赵德龙, 戴琬宸, 孟琼
摘要(309) HTML(267) PDF (90)
摘要:
  目的  分析1990—2021年中国、日本和美国归因于高钠饮食的高血压肾病疾病负担及其变化趋势,并预测2022年—2036年的趋势。  方法  利用2021年全球疾病负担数据库(global burden of disease,GBD 2021),提取归因于高钠饮食的高血压肾病的年龄标准化死亡率(age-standardized mortality rates,AMSR)和年龄标准化伤残调整寿命年率(age-standardized disability-adjusted life year rates,ASDALYR)。采用预计年度百分比变化(estimated annual percentage change,EAPC)和Joinpoint回归模型分析历史趋势,并使用贝叶斯年龄-时期-队列(bayesian age-period-cohort,BAPC)模型预测未来疾病负担。   结果  全球归因于高钠饮食的高血压肾病ASMR和ASDALYR总体呈显著上升趋势,EAPC分别为0.58(95%CI:0. 53~0. 62)和0.32(95%CI:0.28~0. 37),分层分析提示男性ASDALYR差异有统计学意义(EAPC=0.44,95%CI:0.39~0. 48)。在中日美三国比较中,中国归因于高钠饮食的高血压肾病的ASMR和ASDALYR负担最重,但呈下降趋势,EAPC分别为-1.35(95%CI:-1.43~-1.27)和-1.26(95%CI:-1.36 ~-1.16),且其女性下降更为显著。日本的疾病负担较轻,且ASMR和ASDALYR下降趋势最为显著,EAPC分别为-1.72(95%CI:-2.01 ~-1.42)和-2.02(95%CI:-2.26~-1.79),其中女性下降趋势更显著。美国归因于高钠饮食的高血压肾病的ASMR和ASDALYR呈上升趋势,EAPC分别为4.68(95%CI:4.40~4.97)和 4.72(95%CI:4.38~5.50),且男性上升趋势显著高于女性。Joinpoint分析显示,全球女性和中国男性和女性的ASDALYR均是在2004年出现下降转折,而日本早在1995年后即呈现下降趋势。BAPC模型预测显示,2022—2036年,中国与日本的男性和女性的ASDALYR均呈稳步下降趋势。其中,中国男、女性该指标将分别从24.65/10万、14.06/10万降至23.38/10万、13.46/10万;日本男、女性该指标则分别从9.47/10万、3.03/10万降至8.56/10万、2.55/10万。美国该指标则呈现出性别不一致,男性ASDALYR预计从22.53/10万轻微下降至22.10/10万,而女性则从8.34/10万持续上升至9.34/10万。  结论  全球归因于高钠饮食的高血压肾病疾病负担总体尚未得到有效控制,且存在显著的国家和性别差异。严格控制钠摄入是防治高血压肾病的关键潜在靶点,各国应借鉴日本的有效经验,制定精准的防控策略。
1990—2021年全球及中国归因于低体力活动的缺血性心脏病负担及变化趋势
吴长勇, 王忠凯, 李梦晗, 张冰清, 骆怡哗, 彭云珠
摘要(408) HTML(291) PDF (107)
摘要:
  目的  系统分析1990—2021年全球及中国归因于低体力活动(low physical activity,LPA)的缺血性心脏病(ischemic heart disease,IHD)负担,并预测2022—2030年的变化趋势。  方法  基于全球疾病负担2021数据库,采用Joinpoint回归、年龄-时期-队列(age-period-cohort,APC)模型、分解分析及贝叶斯年龄-时期-队列(Bayesian age-period-cohort,BAPC)模型进行趋势分析。  结果  2021年,全球归因于LPA的IHD年龄标准化死亡率(age-standardized mortality rates,ASMR)和伤残调整生命年率(age-standardized DALYs rates,ASDR)分别为2.88/10万和46.63/10万,中国分别为3.52/10万和46.05/10万。Joinpoint回归显示全球ASMR和ASDR呈下降趋势,而中国呈M型波动上升,且性别差异显著。相似地,APC模型也表明全球疾病负担呈下降趋势,而中国呈现先减缓后增长再趋缓的变化趋势,且中国男性的疾病负担较女性增长明显。分解分析显示人口增长和人口老龄化是疾病负担的主要驱动因素。BAPC模型预测显示,预计2030年中国疾病负担增长将高于全球,年轻男性群体更明显。  结论  全球归因于LPA的IHD负担呈下降趋势,但中国因人口增长和人口老龄化导致疾病负担持续攀升,其中女性群体的绝对负担更重,而年轻男性群体呈现上升趋势。
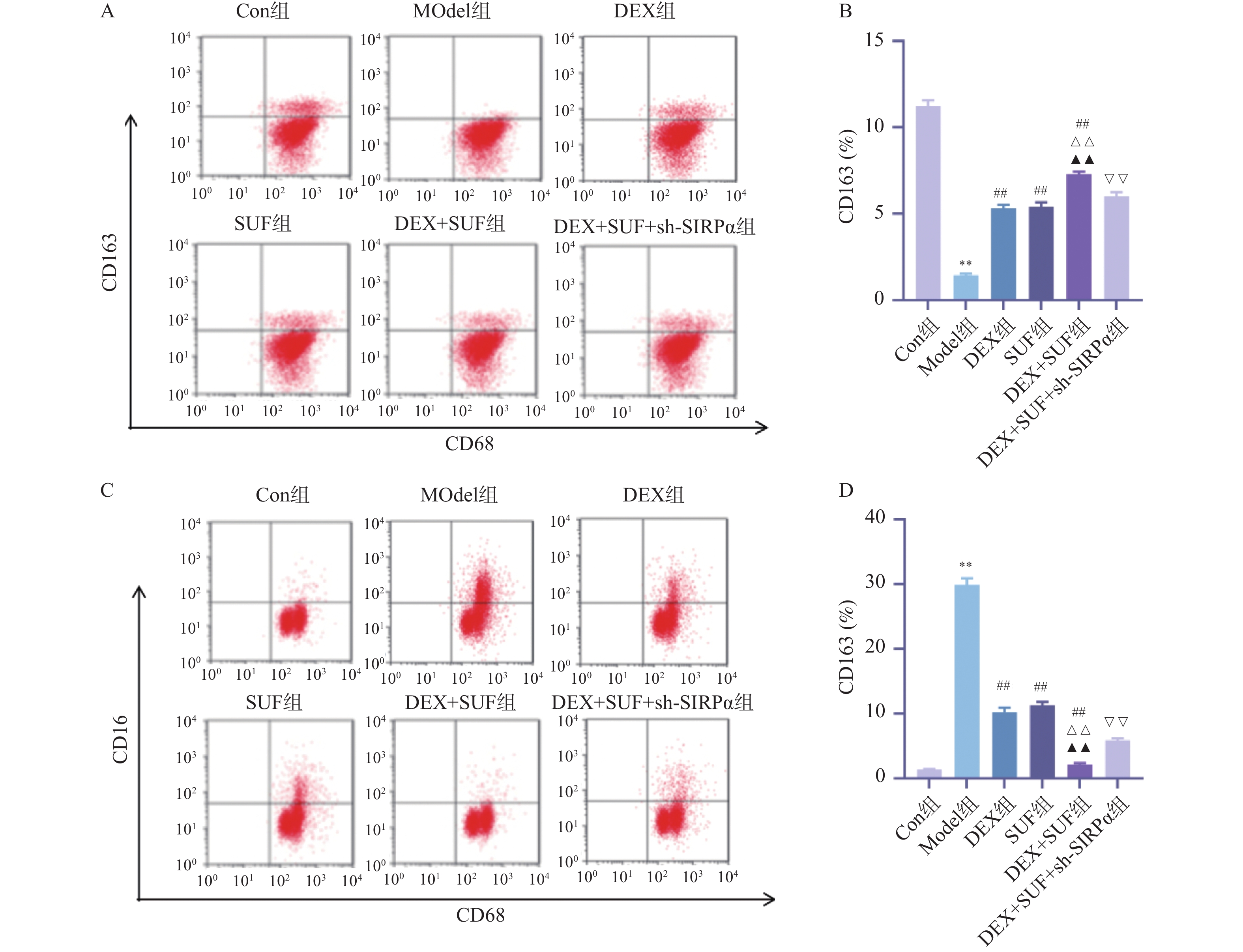
右美托咪定复合舒芬太尼对切口痛大鼠痛觉敏化和脊髓炎性反应的影响
高慧珍, 杨清龄, 张亚男, 高书军
摘要(350) HTML(211) PDF (100)
摘要:
  目的  探讨右美托咪定(dexmedetomidine,DEX)复合舒芬太尼(sufentanil,SUF)对切口痛大鼠痛觉敏化和脊髓炎性反应的影响。  方法  用大鼠构建切口痛模型,检测每组大鼠的机械缩足阈值(paw withdrawal threshold,PWT)和累计疼痛评分(calculative pain score,CPS)及脊髓组织炎症因子水平。免疫荧光检测离子钙结合衔接分子-1(ionized calcium-binding adapter molecule 1,Iba-1)阳性细胞水平。RT-PCR检测信号调节蛋白α(signal regulatory protein alpha,SIRPα)和整合素相关蛋白(cluster of differentiation 47,CD47)mRNA表达水平。蛋白免疫印迹检测小胶质细胞极化以及SIRPα/CD47通路相关蛋白表达水平。  结果  机械缩足阈值检测及累计疼痛评分评估显示,右美托咪定复合舒芬太尼显著升高大鼠PWT,降低CPS(P < 0.05);酶联免疫吸附试验(enzyme-linked immunosorbent assay,ELISA)结果显示,右美托咪定复合舒芬太尼显著升高大鼠白细胞介素(interleukin,IL)-10水平,减低IL-1β、IL-6水平(P < 0.05);免疫荧光结果显示,右美托咪定复合舒芬太尼显著降低Iba-1阳性细胞数(P < 0.05);RT-PCR结果显示,右美托咪定复合舒芬太尼显著促进大鼠SIRPα和CD47 mRNA表达水平(P < 0.05);蛋白免疫印迹结果显示,右美托咪定复合舒芬太尼显著促进精氨酸酶-1(arginase-1,Arg1和清道夫受体CD163(cluster of differentiation 163,CD163)蛋白表达水平,降低Fcγ受体II(cluster of differentiation 32,CD32)和Fcγ受体III(cluster of differentiation 16,CD16)蛋白表达水平(P < 0.05)。  结论  右美托咪定联合舒芬太尼通过激活SIRPα/CD47通路,抑制小胶质细胞M1极化,减轻大鼠切口痛敏化并降低脊髓炎性因子。
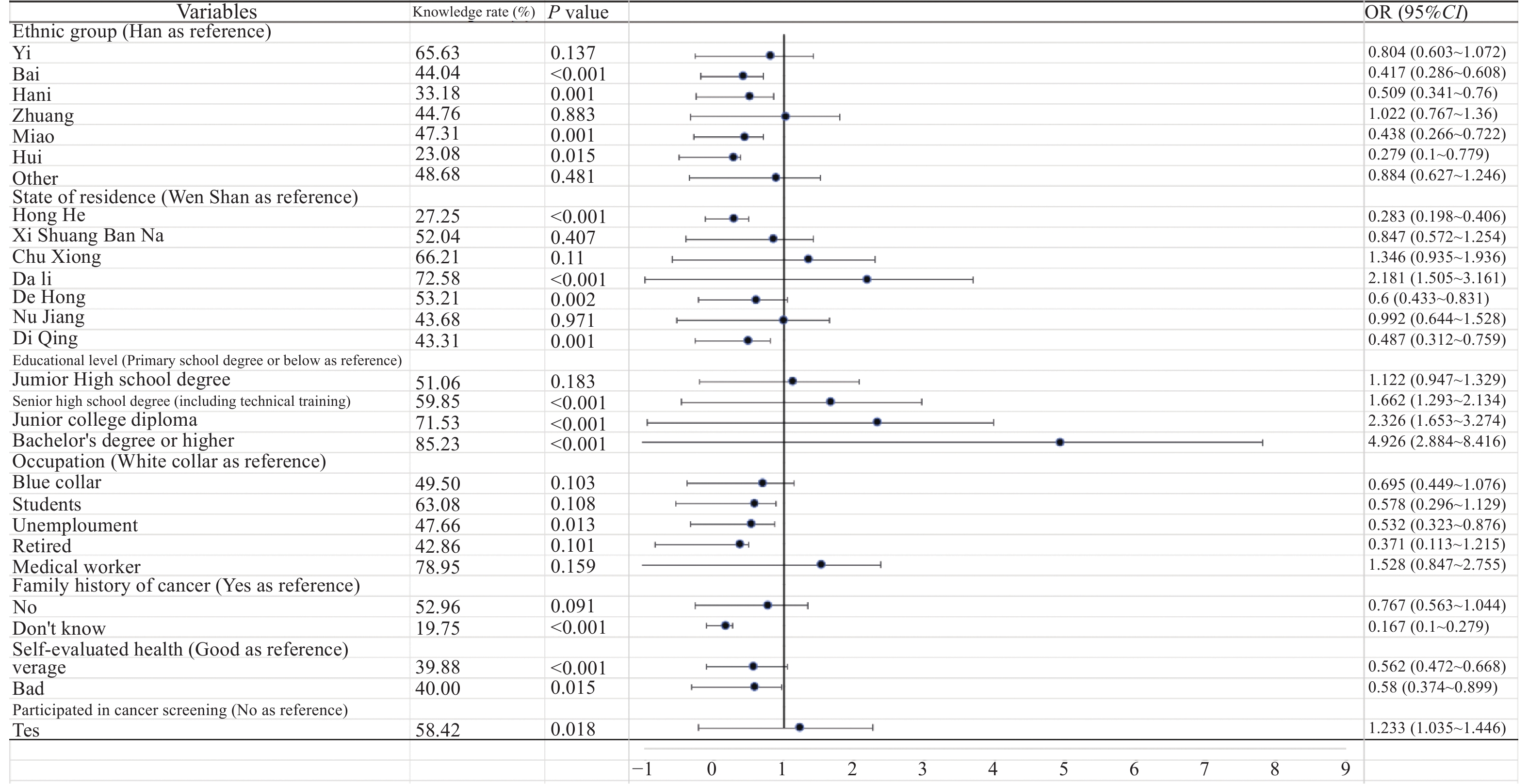
云南少数民族地区癌症防治核心知识知晓率现状调查
周海, 贺钧, 撒奉建, 李四乐, 岑泳村, 马洁, 黄云超
摘要(424) HTML(212) PDF (99)
摘要:
  目的  了解云南省少数民族地区居民癌症防治核心知识知晓水平及其影响因素。  方法  2022年9月—12月,在云南省8个少数民族自治州进行了一项横断面研究,采用多阶段概率抽样的方法招募参与者,收集的调查对象的人口学特征信息,癌症防治核心知识信息,涵盖癌症的基本知识,预防、早诊早治、健康管理、康复5个维度。采用逐步条件法的二元Logistics回归模型来确定与癌症防治核心知识相关的影响因素。  结果  共计纳入3507名研究对象,云南省8个少数民族地区癌症防治核心知识的总体知晓率为52.07%(95%CI:50.42%~53.72%),民族、所在州市、文化程度、职业、癌症家族史、自我评估健康状况和是否参与癌症筛查或防癌体检是癌症防治核心知识知晓率的影响因素。  结论  云南省8个少数民族地区癌症防治核心知识的总体知晓水平较低,且民族、所在州市、文化程度、职业、癌症家族史、自我健康状况评估和是否参与癌症筛查是影响居民防癌意识的因素。
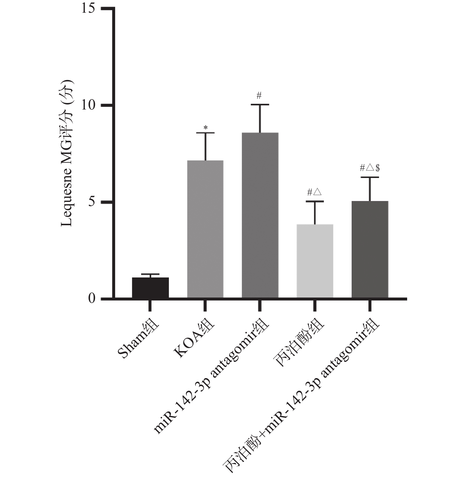
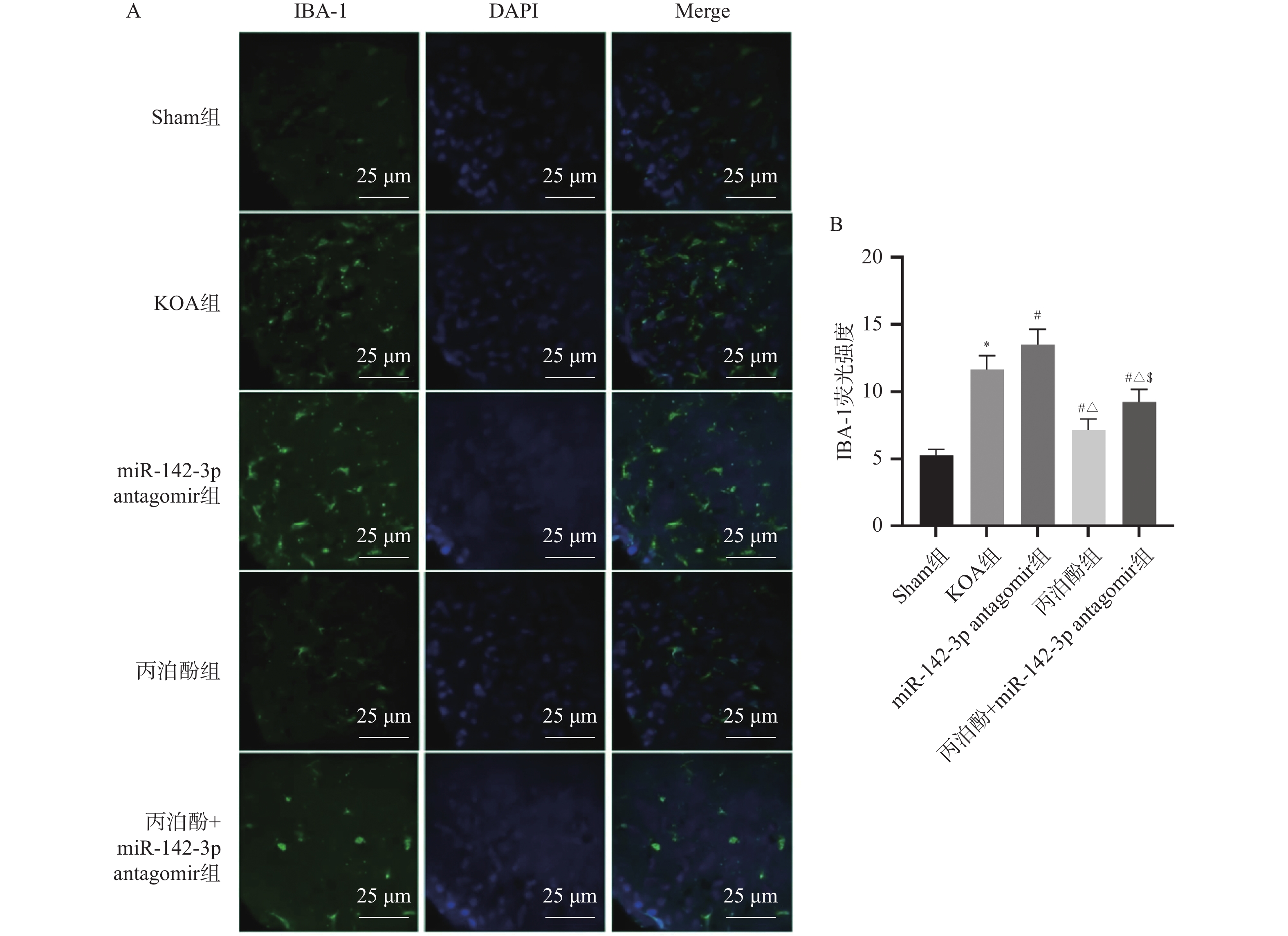
丙泊酚调节miR-142-3p/RAC1/NF-κB轴对大鼠膝骨关节炎的影响
樊成能, 石进涛, 陆双伟, 虞萌
摘要(213) HTML(170) PDF (98)
摘要:
  目的   探讨丙泊酚对膝骨关节炎(knee osteoarthritis,KOA)大鼠疼痛的改善作用及其对微小RNA-142-3p(miR-142-3p)/Ras相关C3肉毒素底物1(ras-related C3 botulinum toxin substrate 1,RAC1)/核因子-κB (nuclear factor-κB,NF-κB)轴的调控机制。  方法   采用手术离断前交叉韧带、内侧副韧带及内侧半月板的方法构建大鼠KOA模型,用miR-142-3p antagomir或丙泊酚干预。干预结束后,检测大鼠机械刺激缩足阈值;酶联免疫吸附法(enzyme-linked immunosorbent assay,ELISA)检测大鼠血清中P物质(substance P,SP)、降钙素基因相关肽(calcitonin gene-related peptide,CGRP)和肿瘤坏死因子-α(tumour necrosis factor-α,TNF-α)、白细胞介素(interleukin,IL)-1β、IL-4、IL-10水平;改良Lequesne MG评分评估膝关节功能;免疫荧光检测脊髓组织中小胶质细胞活化标志物离子钙结合衔接分子1(ionized calcium-binding adaptor molecule 1,IBA-1)表达;qRT-PCR测定脊髓组织中诱导型一氧化氮合酶(inducible nitric oxide synthase,iNOS)、精氨酸酶1(Arginase 1,Arg-1)、miR-142-3p相对表达水平;Western blot检测脊髓组织中RAC1、p-NF-κB p65和NF-κB p65蛋白表达水平。  结果  与KOA组相比,miR-142-3p antagomir组大鼠机械疼痛阈值降低(P < 0.05),Lequesne MG评分及血清SP、CGRP、TNF-α、IL-1β水平增加(P < 0.05),血清IL-4、IL-10水平和脊髓组织Arg-1、miR-142-3p表达水平降低(P < 0.05),脊髓组织IBA-1荧光强度、iNOS mRNA表达及RAC1、p-NF-κB p65蛋白表达增加(P < 0.05);丙泊酚组大鼠机械疼痛阈值增加(P < 0.05),Lequesne MG评分及血清SP、CGRP、TNF-α、IL-1β表达降低(P < 0.05),血清IL-4、IL-10水平和脊髓组织Arg-1、miR-142-3p表达增加(P < 0.05),脊髓组织IBA-1荧光强度、iNOS mRNA表达及RAC1、p-NF-κB p65蛋白表达降低(P < 0.05)。与miR-142-3p antagomir组相比,丙泊酚组和丙泊酚+miR-142-3p antagomir组大鼠的结果有明显改善(P < 0.05);miR-142-3p antagomir则部分逆转了丙泊酚对KOA大鼠的改善作用(P < 0.05)。  结论  丙泊酚可能通过调控miR-142-3p/RAC1/NF-κB轴,抑制小胶质细胞M1极化、促进M2型极化来纠正炎症因子失衡,从而缓解KOA大鼠疼痛症状。
血清miR-155、HBP与AECOPD治疗效果的相关性及预测价值
黎阳, 杨雪婷, 丁丽玲, 龙杰
摘要(212) HTML(176) PDF (94)
摘要:
  目的   分析血清微小RNA-155(microRNA-155,miR-155)、肝素结合蛋白(heparin-binding protein,HBP)与慢性阻塞性肺疾病急性加重(acute exacerbation of chronic obstructive pulmonary disease,AECOPD)治疗效果的关系及预测价值探讨。  方法   选取2023年3月至2024年10月云南省第一人民医院接受治疗的AECOPD患者230例,根据治疗10 d后治疗效果分为无效组(n = 60)、有效组(n = 170),比较两组治疗前一般资料、血清miR-155、HBP水平。分析AECOPD治疗无效的影响因素及血清miR-155、HBP预测治疗无效的价值。  结果   无效组血清miR-155、HBP水平高于有效组(P < 0.05);血清miR-155、HBP单独预测AECOPD治疗无效的曲线下面积(area under the curve,AUC)分别为0.728、0.735;miR-155、HBP联合预测AECOPD治疗无效的AUC为0.868,明显大于miR-155、HBP、急性生理和慢性健康状况评分系统Ⅱ(acute physiology and chronic health evaluation Ⅱ,APACHEⅡ)评分、第1 秒用力呼气肺活量(forced expiratory volume in first second,FEV1)、PCT、hs-CRP单独预测的AUC(P < 0.05)。  结论   治疗前血清miR-155、HBP水平是AECOPD治疗无效的独立影响因素,有助于预测治疗无效风险,血清miR-155、HBP联合能提高预测价值。
miR-132、BDNF和NRG-1在急性缺血性脑卒中相关血管性痴呆诊断及预后中的应用研究
刘塞兵, 闫立萍, 孙阿妮
摘要(233) HTML(229) PDF (85)
摘要:
  目的  探讨血清微小RNA-132(microRNA-132,miR-132)联合脑源性神经营养因子(brain-derived neurotrophic factor,BDNF)、神经调节蛋白-1(neuroregulatory protein-1,NRG-1)在急性缺血性脑卒中(acute ischemic stroke,AIS)相关血管性痴呆(vascular dementia,VD)诊断及预后评估中的应用。  方法  连续纳入西安高新医院2022年8月至2025年1月接诊的AIS并发VD患者183例为VD组,对其随访6个月根据预后情况分为不良组(n = 54)、良好组(n = 129)。另选取同期就诊的未并发VD的AIS患者175例为非VD组。分析AIS并发VD患者预后不良的影响因素及血清miR-132、BDNF、NRG-1水平预测AIS并发VD患者预后不良的效能。  结果  VD组血清miR-132、BDNF水平均低于非VD组(P < 0.05)。血清miR-132、BDNF、NRG-1是AIS并发VD的影响因素(P < 0.05)。三者联合诊断AIS并发VD的AUC(0.860)高于单独诊断的AUC(0.796、0.758、0.713)(P < 0.05)。与良好组相比,不良组入院MMSE评分≤20分占比较高,血清miR-132、BDNF、NRG-1水平降低(P < 0.05)。血清miR-132、BDNF、NRG-1是AIS并发VD患者预后的影响因素(P < 0.05)。联合预测AIS并发VD患者预后的曲线下面积(AUC)(0.920)显著高于各指标单独预测的AUC(0.806、0.788、0.850)。  结论  AIS并发VD患者血清miR-132、BDNF、NRG-1水平均降低,三者联合检测在AIS相关VD诊断及预后评估中可能具有一定的应用价值。
FCN3、IGF-1与反复呼吸道感染患儿免疫功能相关性研究
兰静, 杨华英, 程建红
摘要(310) HTML(185) PDF (93)
摘要:
  目的  探讨血清纤维胶凝蛋白3(Fibroin 3,FCN3)联合胰岛素样生长因子1(insulin-like growth factor 1,IGF-1)评估儿童反复呼吸道感染(recurrent respiratory tract infection,RRTIs)效能及与免疫功能相关性。  方法  选取2022年9月至2024年8月自贡市妇幼保健院收治的142例RRTIs患儿(RRTIs组)、142例急性偶发呼吸道感染患儿(感染组),另选同期50例健康儿童作为对照组。另选2024年9月至2025年1月50例儿童呼吸道感染患儿作为验证集进行前瞻性队列验证。比较3组基线资料及血清FCN3、IGF-1水平。分析FCN3、IGF-1对RRTIs发生风险的评估价值。比较3组免疫功能(CD3+ T淋巴细胞、CD4+ T淋巴细胞、CD4+/CD8+),并分析其与血清FCN3、IGF-1水平相关性。  结果  RRTIs组血清FCN3、IGF-1水平低于感染组、对照组(P < 0.05),且感染组血清FCN3水平低于对照组(P < 0.05),而感染组、对照组血清IGF-1水平对比,差异无统计学意义(P > 0.05);FCN3升高、IGF-1升高是RRTIs的独立相关保护因素(P < 0.05);血清FCN3、IGF-1联合评估RRTIs的AUC值大于血清FCN3、IGF-1(P < 0.05);RRTIs组CD3+ T淋巴细胞、CD4+ T淋巴细胞、CD4+/CD8+低于感染组、对照组,且感染组低于对照组(P < 0.05);血清FCN3、IGF-1水平与CD3+ T淋巴细胞、CD4+ T淋巴细胞、CD4+/CD8+呈正相关(P < 0.05);经Kappa值一致性分析显示,验证集中FCN3、IGF-1联合ROC结果与临床实际的符合率为90.00%,Kappa值为0.799(95%CI:0.524~0.912)(P < 0.001)。  结论  RRTIs患儿血清FCN3、IGF-1水平与免疫功能密切相关,联合检测其水平对RRTIs发生风险具有一定评估价值。
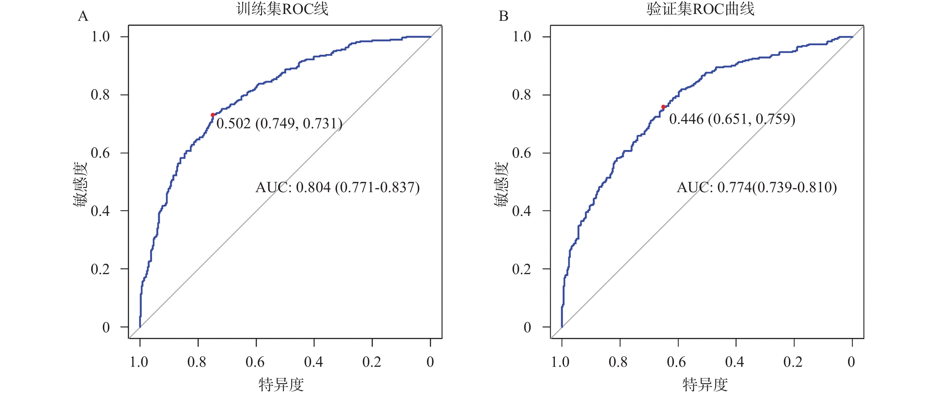
糖尿病患者骨量异常预测列线图模型的建立
刘慧, 彭馨仪, 梁桐尔, 赵勇
摘要(333) HTML(223) PDF (89)
摘要:
  目的  建立糖尿病患者骨量异常预测列线图模型。  方法  选择2024年1月至2025年1月在西南交通大学附属医院(成都市第三人民医院)健康体检的糖尿病患者944例,以7∶3比例分为训练集661例,验证集283例。训练组依T值/Z值分为骨量正常/异常组。比较两组各指标,用LASSO回归筛选潜在因素后行Logistic回归分析,建立列线图并进行验证。  结果  训练集661例患者中共323例(48.87%)出现骨量异常。LASSO回归基础上行Logistic回归分析结果显示:男性、年龄、糖化血红蛋白、尿酸、I型原胶原氨基端延长肽(procollagen I N-terminal propeptide,PINP)为糖尿病患者骨量异常的独立性危险因素,BMI为保护因素(P < 0.05)。训练集预测糖尿病患者骨量异常的AUC为0.804(95%CI:0.771~0.837),敏感度为73.1%,特异度为74.9%;验证集AUC为0.774(95%CI:0.739~0.810),敏感度为75.9%,特异度为65.1%。预测曲线与标准曲线基本拟合,决策曲线中模型预测概率为0.15~0.95时患者获益率最高。  结论  糖尿病患者骨量异常主要受性别、年龄、BMI等因素影响,以此建立的列线图模型可预测糖尿病患者骨量异常风险。
噬菌体在龋病防治中的研究进展
韩泽华, 杨小燕, 陈昱良, 李雪林, 杨镕羽, 向盈盈
摘要(315) HTML(168) PDF (91)
摘要:
龋病作为口腔最高发的疾病,主要由变形链球菌等致病菌代谢糖类产酸,导致牙体硬组织脱矿并形成龋损。若不及时干预,可引发牙髓炎、根尖周炎等局部并发症,甚至影响全身健康。抗生素在感染性和传染性疾病的治疗过程中发挥着极为关键的作用。然而,长期滥用抗生素导致全球范围严峻的耐药性问题。噬菌体疗法因其独特的抗菌优势和不产生细菌耐药性的特点备受关注,可作为替代抗生素的治疗手段。噬菌体疗法在清除致病细菌生物膜上具有巨大潜力,可预防龋病的发生和终止龋病的发展,且不破坏口腔中的正常菌群。通过介绍龋病、噬菌体及其基础特性、噬菌体疗法及其优势、变形链球菌噬菌体的发现、噬菌体疗法在龋病防治中的应用以及挑战与展望来概述噬菌体防治龋病的现状与前景,以期为龋病防治提供新的视角。
ANCA相关性血管炎患者神经系统受累的血清学特征及其对预后的预测价值
姚春容, 黄丹清, 柯旖旎
摘要(429) HTML(341) PDF (98)
摘要:
  目的   探讨抗中性粒细胞胞浆抗体(antineutrophil cytoplasmic antibody,ANCA)相关性血管炎患者神经系统受累情况与核周型抗中性粒细胞胞浆抗体(perinuclear anti-neutrophil cytoplasmic antibody,p-ANCA)、血沉(erythrocyte sedimentation rate,ESR)、髓过氧化物酶(myeloperoxidase,MPO)-免疫球蛋白G(immunoglobulin G,IgG)抗体及C反应蛋白(C-reactive protein,CRP)水平之间的差异及其对预后的预测价值。  方法   选取2020年1月至2024年11月于浙江大学医学院附属第一医院收治的106例ANCA相关性血管炎患者,根据预后分为预后良好组与不良组。采用倾向性评分匹配(propensity score matching,PSM)法减少基线差异。比较不同预后及神经系统是否受累患者的p-ANCA阳性率及ESR、MPO-IgG抗体、CRP水平差异;应用多因素Logistic回归分析上述指标与患者预后的关系,并利用ROC曲线分析各指标及联合检测对预后的预测效能。  结果   预后不良组患者的p-ANCA阳性率及ESR、MPO-IgG抗体、CRP水平均明显高于良好组(P < 0.05);神经系统受累患者的上述指标也明显高于未受累患者(P < 0.05)。多因素Logistic回归分析显示,p-ANCA阳性、ESR、MPO-IgG抗体和CRP均为影响患者预后的独立预测因素,尤其在神经系统受累患者中影响更显著(OR值更大,P < 0.05)。ROC曲线分析显示,各单项指标预测预后的AUC在0.675~0.780之间,联合预测的AUC高达0.922,明显优于单项指标的预测效果(P < 0.05)。联合的AUC值显著大于单独的p-ANCA、ESR、MPO-IgG、CRP(Z = 4.813、3.414、2.508、2.291,P < 0.001、P = 0.001、P = 0.012、P = 0.022)。  结论   p-ANCA阳性率和ESR、MPO-IgG抗体、CRP水平升高与ANCA相关性血管炎患者的神经系统损害及不良预后密切相关。
子宫动脉血流联合血清因子对孕中期子痫预后价值
雷蕊艳, 郝慧敏, 王佩颖, 孙慧, 张丽
摘要(403) HTML(372) PDF (109)
摘要:
  目的  探讨子宫动脉血流多普勒超声联合血清细胞因子信号抑制因子 3(suppressor of cytokine signaling 3,SOCS-3)、纤维蛋白3(Fibulin-3)在孕中期子痫前期孕妇妊娠结局预测中的价值。  方法  采用回顾性分析法,采集西北妇女儿童医院医学超声中心在2022年1月-2024年12月期间接收的123例孕中期子痫前期孕妇作为病例组;另择取105例健康常规检查孕中期孕妇作为正常组,采用彩色多普勒超声检测子宫动脉血流参数,包括搏动指数(pulsatility index,PI)、阻力指数(resistance index,RI)和收缩期峰值流速与舒张末期流速比值(systolic peak velocity to end-diastolic velocity ratio,S/D);运用酶联免疫吸附试验(enzyme-linked immunosorbent assay,ELISA)检测血清 SOCS-3、Fibulin-3 水平。通过统计学分析评估各指标单独及联合检测对子痫前期妊娠结局的预测效能,计算曲线下面积(area under the curve,AUC)、敏感性和特异性。  结果  病例组孕妇子宫动脉血流 PI、RI、S/D 值及 Fibulin-3 水平均高于正常组(P < 0.05),血清 SOCS-3 水平显著低于正常组(P < 0.05)。妊娠中期子痫前期孕妇中,共发生早产 3 例、胎儿生长受限 5 例、胎盘早剥 10 例、子痫 7 例、产后出血 10 例,不良妊娠结局合计 35 例。单因素分析显示,PI、RI、S/D 值及血清 SOCS-3、Fibulin-3 水平均为妊娠不良结局的影响因素(P < 0.05);Logistic 回归分析证实,Fibulin-3 升高、RI 升高、S/D 值升高、SOCS-3降低、PI 升高是不良妊娠结局的独立危险因素(P < 0.05)。构建联合预测模型(回归方程:Fibulin-3×4.767+RI×1.735+S/D 值×2.286-SOCS-3×10.402+PI×1.044),其 ROC 曲线下面积(AUC)为 0.998,特异度 96.59%,敏感度 100.00%,显著优于各单项指标(Fibulin-3 AUC 0.996、RI AUC 0.977、S/D 值 AUC 0.877、SOCS-3 AUC 0.914、PI AUC 0.794,P < 0.05)。  结论  子宫动脉血流参数与血清 SOCS-3、Fibulin-3 水平相结合,能显著提升孕中期子痫前期孕妇不良妊娠结局的预测准确性。
TMAO抑制剂对糖尿病性肌少症大鼠的影响
练水梅, 杨倩, 王婷
摘要(341) HTML(386) PDF (111)
摘要:
  目的  探究氧化三甲胺(trimethylamine N-oxide,TMAO)抑制剂对糖尿病性肌少症大鼠线粒体损伤、骨骼肌功能及微血管衰老的影响。  方法  SPF级别雄性大鼠构建糖尿病性肌少症动物模型,3,3-二甲基-1-丁醇(DMB)干预。检测各组大鼠空腹血糖、胰岛素及胰岛素抵抗指数;抓绳实验、腓肠肌重量、体重检测;腓肠肌病理形态;线粒体膜电位检测及超微结构;微血管衰老相关蛋白基质金属蛋白酶(matrix metalloproteinase-2,MMP-2)、单核细胞趋化蛋白(monocyte chemoattractant protein,MCP-1)、转化生长因子(transforming growth factor β1,TGFβ1)表达。  结果  与正常组大鼠相比,模型组胰岛素、抓绳时间、体重、腓肠肌重量、腓/体比值、线粒体膜电位均降低(P < 0.05),空腹血糖、胰岛素抵抗指数、MMP-2、MCP-1、TGF-β1均升高(P < 0.05);与模型组相比,0.1%DMB组胰岛素、抓绳时间、体重、腓肠肌重量、腓/体比值、线粒体膜电位均升高(P < 0.05),空腹血糖、胰岛素抵抗指数、MMP-2、MCP-1、TGF-β1均降低(P < 0.05)。  结论  TMAO抑制剂可降低空腹血糖及胰岛素抵抗,改善线粒体损伤而提高骨骼肌功能,可能通过抑制MMP-2、MCP-1、TGF-β1表达而减少微血管衰老。
白花蛇舌草醇提物通过激活 Cyt-c/Caspase-9 相关线粒体途径抑制乳腺癌细胞生长的机制
廉晓晓, 韩涛, 崔坤萌, 王艳, 刘永芳, 郭天, 杨瑞雪, 王亚
摘要(281) HTML(217) PDF (101)
摘要:
  目的  探究白花蛇舌草醇提取物(hedyotis diffusa extract,HDE)通过细胞色素 c(cytochrome c,Cyt-c)/半胱天冬酶-9(cysteine aspartate aminotransferase-9,Caspase-9)通路对乳腺癌细胞增殖、迁移及线粒体损伤的影响。  方法  细胞计数试剂盒-8(cell counting Kit-8,CCK-8)检测各组乳腺癌细胞活性。继续培养乳腺癌细胞MCF7,分为对照组、HDE组及过表达Cyt-c组。免疫荧光染色检测MCF7细胞中Cyt-c、Caspase-9蛋白水平。5-乙炔基-2'-脱氧尿苷(5-ethynyl-2´-deoxyuridine,EdU)试剂盒检测MCF7细胞增殖能力。划痕实验检测MCF7细胞迁移能力。流式细胞术检测MCF7细胞线粒体膜电位水平。酶联免疫吸附(enzyme-linked immunosorbent assay,ELISA)试剂盒检测MCF7细胞三磷酸腺苷(adenosine triphosphate,ATP)含量。  结果  与对照组相比,HDE组乳腺癌细胞BT474、SKBr-3、ZR-75-30、MCF7、MDA-MB-453细胞活性降低(P < 0.05)。选择乳腺癌细胞MCF7进行后续研究。与对照组相比,HDE组乳腺癌细胞MCF7细胞Cyt-c、Caspase-9表达增加(P < 0.05),细胞增殖及迁移能力下降(P < 0.05),线粒体膜电位降低,ATP含量减少(P < 0.05)。与对照组相比,过表达Cyt-c组乳腺癌细胞MCF7细胞增殖及迁移能力下降(P < 0.05),线粒体膜电位降低,ATP含量减少(P < 0.05)。  结论  HDE可能通过激活Cyt-c/Caspase-9通路抑制乳腺癌细胞增殖、迁移,并促进线粒体损伤。
miR-21-5p抑制SIRT2/AKT轴促进骨关节炎进展机制
陈笑天, 丁振飞, 宋宜宁, 蒋邦红, 张帆, 高艺, 官建中
摘要(299) HTML(162) PDF (108)
摘要:
  目的  探究miR-21-5p通过调控SIRT2/AKT信号轴在骨关节炎(osteoarthritis,OA)进展中的作用机制。  方法  采用10 ng/mL IL-1β诱导人软骨细胞系CP-H107构建OA体外模型。实验分组包括:IL-1β+阴性对照模拟物(NC mimic)组、IL-1β+miR-21-5p模拟物(mimic)组、IL-1β+阴性对照抑制物(NC inhibitor)组、IL-1β+miR-21-5p抑制物(inhibitor)组及IL-1β+miR-21-5p mimic+oe SIRT2组。通过RT-qPCR、Western blot(WB)、免疫荧光检测MMP13、SIRT2、AKT及p-AKT表达水平,Annexin V-FITC/PI流式细胞术分析细胞凋亡,ELISA检测IL-6、TNF-α、IL-10水平。双荧光素酶报告实验验证miR-21-5p与SIRT2的靶向结合。  结果  IL-1β刺激后,CP-H107细胞中miR-21-5p及MMP13表达显著升高(P < 0.05)。miR-21-5p过表达可促进MMP13表达、细胞因子(IL-6、TNF-α、IL-10)分泌及细胞凋亡(P < 0.05),而抑制miR-21-5p可产生相反效果(P < 0.05)。双荧光素酶实验证实miR-21-5p可直接靶向SIRT2。miR-21-5p过表达显著下调SIRT2及p-AKT/AKT比值(P < 0.05)。进一步实验显示,SIRT2过表达可部分逆转miR-21-5p过表达所致的MMP13上调、炎症因子释放及凋亡增加(P < 0.05)。  结论  miR-21-5p通过靶向抑制SIRT2,阻断其对AKT通路的调控作用,促进软骨细胞分解代谢、炎症反应及凋亡,加速OA进展。
GPX4表达促进铁死亡参与子宫内膜癌恶性行为的机制
董晓霞, 陈淑贤
摘要(697) HTML(477) PDF (173)
摘要:
  目的  探讨谷胱甘肽过氧化物酶4(glutathione peroxidase 4,GPX4)表达促进铁死亡参与子宫内膜癌(endometrial carcinoma,EC)恶性行为的机制。  方法  通过定量实时聚合酶链反应(quantitative polymerase chain reaction,qPCR)、 蛋白印迹和免疫组化(immunohistochemistry,IHC) 测定 EC 组织中 GPX4 的表达。培养KLE细胞,分为shNC组(n = 6)和shGPX4组(n = 6), Transwell、克隆形成测定和流式细胞研究 GPX4 对 EC 细胞增殖、迁移、细胞凋亡的影响。检测细胞内 Fe2+、活性氧(reactive oxygen Species,ROS)和丙二醛(malondialdehyde,MDA)水平,JC染色检测线粒体膜电位(mitochondrial membrane Potential,MMP),GPX4 酶活性试剂盒检测酶活性,ELISA 法检测脂质过氧化物 4 - 羟基壬烯醛(4-Hydroxynonenal,4-HNE)含量,蛋白印迹检测铁死亡关键蛋白酰基辅酶A合成酶长链家族成员4(acyl-coa synthetase long chain family member 4,ACSL4)和溶质载体家族7成员11(solute Carrier family 7 member 11,SLC7A11)的表达;建立裸鼠 EC 异种移植肿瘤模型,分为 shNC 组(n = 6)和 shGPX4 组(n = 6),通过检测其重量体积、重量、Fe2+和 MDA 水平评价 GPX4 敲低在体内的效果。  结果   GPX4 在 EC 组织及细胞系中高表达(EC 组织 GPX4 mRNA:118.1±6.92 vs 癌旁 62.72±5.20,t = 15.68,P < 0.001,Cohen's d=8.62);与 shNC 组相比,shGPX4 组 KLE 细胞增殖(克隆数:0.37±0.05 vs 0.89±0.07,t = 14.94,P < 0.001)、迁移能力显著降低,凋亡率升高(61.64±7.03% vs 12.60±2.48%,t = 16.12,P < 0.001),细胞内 Fe2+、脂质 ROS、MDA、4-HNE 水平升高,GSH 及 GPX4 酶活性降低,MMP 破坏,ACSL4 表达上调、SLC7A11 下调( P < 0.001);裸鼠模型中,shGPX4 组肿瘤体积(0.36±0.07 vs 0.87±0.12 cm3t = 9.07,P < 0.001)、重量显著减小,肿瘤组织铁含量及 MDA 水平升高( P < 0.001)。  结论  研究表明GPX4 沉默能诱导铁死亡的发生,进而降低子宫内膜癌细胞的增殖和侵袭。
YAP1/ANXA2信号轴调控肾小管上皮细胞凋亡与迁移的分子机制
孙绍婷, 李兰梅, 白伟伟, 陈娜, 王萌, 张明, 李亚芬
摘要(472) HTML(479) PDF (84)
摘要:
  目的  探讨Hippo信号通路核心效应分子YAP1在肾损伤中调控下游效应分子ANXA2的分子机制。  方法  构建YAP1过表达的人肾小管上皮细胞(human proximaltubular epithelial cell line,HK-2)模型,采用免疫共沉淀(Co-IP)联合质谱分析技术筛选YAP1相互作用蛋白;通过siRNA干扰技术敲低ANXA2表达,采用Transwell实验检测细胞迁移能力,流式细胞术(Annexin V-FITC/PI双染法)检测细胞凋亡水平;通过双荧光素酶报告基因实验验证YAP1对ANXA2启动子转录活性的调控作用。  结果  Co-IP与质谱分析表明,YAP1过表达可显著富集ANXA2并形成稳定复合物(P < 0.01)。功能实验显示,ANXA2沉默后细胞早期与晚期凋亡率显著升高(P < 0.001),细胞迁移数明显减少(P < 0.01)。双荧光素酶报告系统证实YAP1可直接激活ANXA2启动子转录活性(P < 0.001)。  结论  YAP1通过直接结合ANXA2启动子并增强其转录,进而抑制肾小管上皮细胞凋亡并促进迁移。
D-二聚体/纤维蛋白原比值、纤维蛋白原/白蛋白比值在ACS中的研究进展
李继舟, 李宏伟, 张晔, 杨红玲
摘要(578) HTML(472) PDF (93)
摘要:
急性冠脉综合征(acute coronary syndromes,ACS)是冠状动脉粥样硬化进程中,不稳定的粥样硬化斑块破裂或糜烂继发新鲜血栓形成所导致的心脏急性缺血综合征。近年来,基于凝血-炎症通路的生物标志物,如血浆D-二聚体/纤维蛋白原比值(D-dimer/fibrinogen ratio,DFR)、纤维蛋白原/白蛋白比值(fibrinogen/albumin ratio,FAR),因其与斑块稳定性、血栓负荷及微血管功能障碍密切相关,成为预测冠脉病变严重程度的研究热点。系统综述了DFR、FAR在ACS患者冠脉病变评估中的机制及临床应用价值,指出DFR、FAR在评估ACS患者的冠脉病变程度,以及为后续制定合理的治疗方案和改善预后等方面的重要意义。
血清睾酮、性激素结合球蛋白及维生素D水平预测多囊卵巢综合征并发妊娠期糖尿病的价值分析
赵玉贞, 马迎燕, 何丽丽
摘要(663) HTML(720) PDF (100)
摘要:
  目的  探究血清睾酮(testosterone,T)、性激素结合球蛋白(sex hormone-binding globulin,SHBG)及25-羟维生素D[25-Hydroxyvitamin D,25(OH)D]水平预测多囊卵巢综合征(polycystic ovary syndrome,PCOS)并发妊娠期糖尿病(gestational diabetes mellitus,GDM)的价值。  方法  2023年2月至2025年2月期间,收集衡水市人民医院收治的180例经规范化治疗后妊娠并分娩的PCOS患者临床资料开展一项回顾性临床研究。按GDM并发状况分为无GDM组(n = 133)、GDM组(n = 47)。比较两组临床资料,应用二元Logistic回归分析探究PCOS并发GDM的影响因素,并建立ROC曲线分析血清T、SHBG、25(OH)D水平及三项联合数据预测PCOS并发GDM的价值效能。  结果  二元Logistic回归模型结果显示,孕前BMI、孕期增长体质量、胰岛素、T、SHBG、25(OH)D均是PCOS并发GDM的影响因素(P < 0.05)。ROC曲线分析显示,血清T、SHBG及25(OH)D水平预测PCOS并发GDM的AUC分别为0.709、0.825、0.718;敏感度分别为0.915、0.638、0.511;特异性分别为70.80%、0.496、0.940、0.902。三项联合数据预测PCOS并发GDM的AUC为0.929,敏感度为0.894,特异性0.782。Pearson 相关性显示,PCOS并发GDM患者血清T、SHBG及25(OH)D水平互为正相关(r = 0.559、0.488、0.465,P < 0.05)。  结论  血清T、SHBG及25(OH)D水平预测PCOS并发GDM均具有一定价值,三项联合数据预测效能更高。
贲门失迟缓症患者食管测压与经口内镜下肌切开术短期疗效的相关性
宋滢烨, 李娟平, 李锐
摘要(359) HTML(378) PDF (99)
摘要:
  目的  探讨贲门失迟缓症患者食管测压与经口内镜下肌切开术短期疗效的相关性。  方法  选取2019年01月至2024年09月在苏州大学附属第一医院消化科首次行POEM治疗的272例AC患者的临床资料。依据2020年芝加哥4.0分型和Ling分型进行分组。分析所有患者的基线资料和手术缓解率,比较不同分组患者的Eckardt评分和食管测压数据,并分析食管测压数据和术后临床疗效的相关性。  结果  (1)本研究共纳入272例患者,手术成功率为100%。272例患者的术前Eckardt评分(6.65±1.48)分,术后3个月后的Eckardt评分为(1.05±0.56)分,272例患者POEM术后的Eckardt评分较术前显著下降,差异有统计学意义(t = 19.823,P < 0.001)。芝加哥分型三组患者及Ling分型五组患者的术后Eckardt评分均显著低于术前,差异比较均有统计学意义(P均 < 0.05);(2)芝加哥分型三组患者的术后LESP及4sIRP均较术前显著降低,差异均有统计学意义(P均 < 0.05)。且三组患者术后的LESP及4sIRP比较差异也有统计学意义(P < 0.05);进一步采用Bonferroni法进行两两比较显示II组的LESP及4sIRP均低于I组和III组(P均 < 0.05),但I组和III组间比较差异无统计学意义(P均 > 0.05)。Ling分型五组患者的术后五组患者的术后LESP及4sIRP也均低于术前,均有统计学意义(P均 < 0.05)。五组患者术后的LESP及4sIRP比较差异也有统计学意义(P < 0.05);进一步采用Bonferroni法进行两两比较显示IIa组、IIb组、IIc组及III组的LESP和4sIRP均显著低于I组(P均 < 0.05),但IIa组、IIb组、IIc组及III组两两之间差异无统计学意义(P均 > 0.05);(3)4sIRP和Eckardt评分的严重程度具有中等相关性(r = 0.428,P = 0.001);LESP和Eckardt评分的严重程度具有轻度相关性(r = 0.245,P = 0.004)。  结论  POEM治疗AC短期临床疗效显著,其中芝加哥Ⅱ型AC患者对POEM治疗反应最好,Ling分型中IIa、IIb、IIc及III型效果也好于I型;且HRM参数中4sIRP与Eckardt评分中度相关,对于POEM术后疗效具有较好的评估价值。
血清miR-140与miR-335-5p联合临床指标构建肝硬化门静脉高压患者上消化道出血的预警模型
尤莉, 李宁, 高芸君, 李永胜, 武雅峰, 李建生
摘要(37) HTML(22) PDF (3)
摘要:
  目的   基于血清微小核糖核酸-140(micro ribonucleic acid-140,miR-140)与微小核糖核酸-335-5p(micro ribonucleic acid-335-5p,miR-335-5p)联合临床指标构建肝硬化门静脉高压(cirrhosis with portal hypertension,CPH)患者上消化道出血(upper gastrointestinal bleeding,UGIB)的预警模型,并评估其预测效能。  方法   选取2021年3月至2024年8月太原市中心医院CPH患者作为研究对象,按照7∶3的比例分为训练集与验证集,随访1年,统计UGIB发生情况,收集临床资料,检测血清miR-140、miR-335-5p水平,采用Lasso-Logistic回归分析筛选CPH并发UGIB的独立预测因子,构建预警模型,采用校正曲线、受试者工作特征(receiver operating characteristic,ROC)曲线及临床决策曲线(decision curve analysis,DCA)评价和验证预警模型的价值。  结果   本研究最终选取289例CPH患者,按照7∶3的比例分为训练集(203例)与验证集(86例)。随访1年,训练集203例CPH患者中失访2例,未发生UGIB 125例,发生UGIB 76例。验证集86例CPH患者中失访1例,未发生UGIB 54例,发生UGIB 31例。Lasso-Logistic回归分析,Child-Pugh分级、食管静脉曲张程度、门静脉内径、红细胞分布宽度(red cell distribution width,RDW)、血红蛋白(hemoglobin,Hb)、miR-140、miR-335-5p是CPH并发UGIB的独立影响因素(P < 0.05);基于Child-Pugh分级、食管静脉曲张程度、门静脉内径、RDW、Hb等5项临床指标构建M1预警模型,在此基础上联合miR-140和miR-335-5p构建M2预警模型,两个预警模型均拟合良好(P > 0.05);在训练集和验证集中,校正曲线显示,M1预警模型的一致性指数为0.802、0.806,校准度为0.800、0.801,M2预警模型的一致性指数为0.867、0.871,校准度为0.859、0.862,提示M2预警模型具有优异的区分能力和较高的预测精度;ROC曲线分析,M2、M1预警模型在训练集和验证集中预测CPH并发UGIB的曲线下面积(area under the curve,AUC)为0.905(95%CI:0.862~0.947)、0.898(95%CI:0.827~0.969),敏感度为88.16%、83.87%,特异度为86.40%、81.48%,经Delong检验,M2预警模型的预测价值显著优于M1预警模型(Z = 2.192、1.986,P = 0.035、0.041);且M2预警模型的预测性能更优;DCA曲线显示,在训练集和验证集中M1、M2预警模型在10%~100%的广泛阈概率范围内,均展现出显著且稳定的临床正向净获益,且M2预警模型临床效用性更强。  结论   基于血清miR-140与miR-335-5p联合临床指标构建的预警模型是预测CPH患者发生UGIB风险的有效工具,可实现早期风险分层并优化临床决策。
丁苯酞联合阿托伐他汀治疗脑梗死的疗效及对血管内皮vWF、PAI-1、VE-cadherin表达的影响
李克娇, 刘梓宸, 畅莎, 宋雪, 李芳
摘要(536) HTML(259) PDF (71)
摘要:
  目的  分析丁苯酞联合阿托伐他汀治疗脑梗死的疗效及对血管内皮血友病因子(vascular endothelial hemophilia factor,vWF)、凝血酶原激活物抑制物-1(prothrombin activator inhibitor-1,PAI-1)、钙黏蛋白(Cadherin,VE-cadherin)表达的影响。  方法  选取2021年10月至2023年10月期间廊坊市第四人民医院收治的150例脑梗死患者随机盲法分组,各75例。对照组以阿托伐他汀治疗,试验组以丁苯酞联合阿托伐他汀治疗。对比两组疗效、脑部血流状态、斑块超声指标、斑块稳定性影像学指标、血管内皮功能指标、生活质量评分、治疗安全性等。  结果  试验组的总有效率90.67%高于对照组74.67%(P < 0.05)。治疗后,试验组血流动力学指标改善幅度高于对照组(P < 0.05)。治疗后,相较于对照组,试验组患者的颈动脉中膜厚度(IMT)、斑块厚度、斑块面积均更低(P < 0.05)。治疗后,相较于对照组,试验组的MRI检查指标包括纤维帽更高,脂质核心更低(P < 0.05)。治疗后,相较于对照组,试验组vWF、PAI-1、VE-cadherin表达水平均更低(P < 0.05)。对两组患者进行为期1年的随访观察,试验组脑卒中生活质量量表(quality of life scale for stroke,SS-QOL)各项评分均高于对照组(P < 0.05)。两组不良反应发生率对比差异无统计学意义(P > 0.05)。  结论  阿托伐他汀与丁苯酞联合治疗脑梗死成效显著,该疗法不仅有助于改善脑部血流状况,还能增强颈动脉粥样硬化斑块的稳定性,对血管内皮功能起到积极的改善作用,且安全性较高。
云南省慢性冠脉综合征中西医诊疗专家共识
张莉, 张颖, 张学娅, 喻卓
摘要(779) HTML(1035) PDF (87)
摘要:
慢性冠脉综合征(CCS)是临床上最常见的心血管疾病(CVD),随着人口老龄化加速以及心血管危险因素的流行,CVD已成为我国居民的首位死因,因此优化诊疗方案,中西医优势互补,实施综合防控策略具有必要性。为进一步提高CCS诊断和临床诊疗效果,专家组仔细研究近年来国内外CCS相关诊疗指南,结合国内中医药治疗进展及云药地方中药特色,特编写本专家共识,旨在通过共识指导临床实践,全面提升我省CCS患者管理水平。
基础医学
三芪口服液对糖尿病肾病大鼠糖酵解、肾脏细胞凋亡及Keap1-Nrf2 信号通路的影响
李文超, 李雪, 林珊珊, 马昀, 康国瑞, 陈烨
, doi: 10.12259/j.issn.2095-610X.S20250000
摘要(524) HTML(231) PDF (89)
摘要:
  目的  探讨三芪口服液对糖尿病肾病大鼠糖酵解,肾脏细胞凋亡及Keap1-Nrf2 信号通路的影响。  方法   将SPF级雄性SD大鼠40只,分为正常组(ZC组)、模型组(M组)、三芪组(S组)、西药组(X组),10只/组。除ZC组外其余大鼠均建立糖尿病肾病(DN)模型,S组进行三芪口服液灌胃、X组进行缬沙坦灌胃,ZC组与M组灌胃等体积生理盐水。使用尿蛋白试剂盒、全自动生化分析仪测量各组小鼠空腹血糖、尿素氮以及肌酐含量,评估肾脏功能。使用ELISA法测定ATP、乳酸、葡萄糖含量;采用HE染色、TUNEL检测法观察肾组织病理程度及肾脏组织凋亡细胞分布及凋亡率情况;WesternBlot检测Keap1、Nrf2蛋白的表达。  结果   (1)与ZC组相比,M组24 h尿微量蛋白、空腹血糖、尿素氮、血肌酐、乳酸、Keap1蛋白升高(P < 0.05),ATP、葡萄糖、Nrf2蛋白降低(P < 0.05)。与M组相比,S组ATP、葡萄糖、Nrf2蛋白升高(P < 0.05),24 h尿微量蛋白、空腹血糖、尿素氮、血肌酐、乳酸、Keap1蛋白降低(P < 0.05)。与S组相比,X组Keap1蛋白升高、Nrf2蛋白下降(P < 0.05)。S组与X组各生化指标、各糖酵解指标对比无意义;(2)HE染色显示,M组明显肾小球系膜区增宽;S组、X组病变程度减轻,S组最佳;(3)与M组相比,各组肾组织细胞凋亡率下降(P < 0.05),S组最佳;(4)Pearson分析,Keap1与ATP、葡萄糖呈负相关性,与乳酸呈正相关性(P < 0.05) ;Nrf2与ATP、葡萄糖呈正相关性与与乳酸呈负相关性。  结论  三芪口服液可通过调控Keap1-Nrf2信号通路,改善DN大鼠的糖代谢紊乱与能量供应,最终达到延缓肾功能损伤、减少肾脏细胞凋亡的保护作用。