留言板

尊敬的读者、作者、审稿人, 关于本刊的投稿、审稿、编辑和出版的任何问题, 您可以本页添加留言。我们将尽快给您答复。谢谢您的支持!

姓名
邮箱
手机号码
标题
留言内容
验证码

大面积脑梗死去骨瓣减压术后不同病情转归患者t-PA、TN-C、Cav-1表达

郭东亮 李德辉 王娜

郭东亮, 李德辉, 王娜. 大面积脑梗死去骨瓣减压术后不同病情转归患者t-PA、TN-C、Cav-1表达[J]. 昆明医科大学学报, 2026, 47(3): 123-132. doi: 10.12259/j.issn.2095-610X.S20260314
引用本文: 郭东亮, 李德辉, 王娜. 大面积脑梗死去骨瓣减压术后不同病情转归患者t-PA、TN-C、Cav-1表达[J]. 昆明医科大学学报, 2026, 47(3): 123-132. doi: 10.12259/j.issn.2095-610X.S20260314
Dongliang GUO, Dehui LI, Na WANG. Expression Levels of t-PA,TN-C and Cav-1 in Patients with Different Clinical Outcomes after Decompressive Craniectomy for Massive Cerebral Infarction[J]. Journal of Kunming Medical University, 2026, 47(3): 123-132. doi: 10.12259/j.issn.2095-610X.S20260314
Citation: Dongliang GUO, Dehui LI, Na WANG. Expression Levels of t-PA,TN-C and Cav-1 in Patients with Different Clinical Outcomes after Decompressive Craniectomy for Massive Cerebral Infarction[J]. Journal of Kunming Medical University, 2026, 47(3): 123-132. doi: 10.12259/j.issn.2095-610X.S20260314

大面积脑梗死去骨瓣减压术后不同病情转归患者t-PA、TN-C、Cav-1表达

doi: 10.12259/j.issn.2095-610X.S20260314
基金项目: 首都卫生发展科研专项基金(首发2022-2-3086)
详细信息
    作者简介:

    郭东亮(1979~),男,河北石家庄人,医学学士,副主任医师,主要从事神经急危重症研究工作

  • 中图分类号: R651.1

Expression Levels of t-PA,TN-C and Cav-1 in Patients with Different Clinical Outcomes after Decompressive Craniectomy for Massive Cerebral Infarction

  • 摘要:   目的   分析大面积脑梗死去骨瓣减压术后不同病情转归患者组织型纤溶酶原激活物(tissue-type plasminogen activator,t-PA)、肌腱蛋白C(tenascin C,TN-C)、陷窝蛋白1(caveolin-1,Cav-1)表达水平。  方法   选取2021年1月—2024年10月北京朝阳中西医结合急诊抢救医院收治的184例拟行去骨瓣减压术的大面积脑梗死患者作为研究对象,根据术后3个月病情转归情况分为不良组(n = 58)、良好组(n = 126)。比较两组基线资料[格拉斯哥昏迷评分法(glasgow coma scale,GCS)、美国国立卫生研究院卒中量表(National Institute of Health stroke scale,NIHSS)评分等]、术后24 h、术后3 d的t-PA、TN-C、Cav-1水平及其变化值,多因素Logistic回归方程分析围手术期t-PA、TN-C、Cav-1变化值对病情转归的影响,受试者工作特征曲线(receiver operating characteristic,ROC)分析围手术期t-PA、TN-C、Cav-1变化值预测病情转归价值。  结果   不良组术前GCS评分低于良好组,术前NIHSS评分高于良好组(P < 0.05);不良组术后24 h、术后3 d的△t-PA、△TN-C、△Cav-1低于良好组(均P < 0.05);多因素分析显示,校正了GCS评分、NIHSS评分后,术后24 h、术后3 d的△t-PA、△TN-C、△Cav-1仍是大面积脑梗死去骨瓣减压术后病情转归的相关影响因素(均P < 0.05);ROC分析显示,与术后24 h比较,术后3 d的t-PA、TN-C、Cav-1变化值的ROC下面积(area under the curve,AUC)更大,预测价值更高,且术后3 d △t-PA+△TN-C+△Cav-1的AUC为0.960,显著高于术后24 h三者联合(Z = 2.735,P = 0.044),预测不良病情转归价值更高,其敏感度为91.38%,特异度为90.48%。  结论   大面积脑梗死去骨瓣减压术后不同病情转归患者t-PA、TN-C、Cav-1表达水平明显不同,联合检测三者术后3 d变化情况对病情转归预测价值更高。
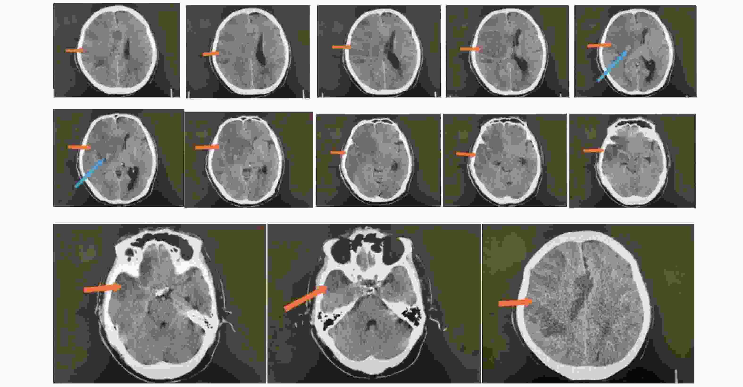
  • 图  1  不良组术前头颅影像学表现

    注:男性患者,67岁,从CT上看右侧额叶、颞叶、顶叶、岛叶大面积脑梗塞伴出血,中线左移,脑疝形成。其中橙色箭头指向低密度区为梗塞区,蓝色箭头指向较高密度区为出血。

    Figure  1.  Preoperative cranial imaging findings in the poor outcome group

    图  2  良好组术前头颅影像学表现

    注:男性患者,75岁,从CT上看右侧额叶、颞叶、顶叶、岛叶大面积脑梗塞伴出血,中线左移。其中橙色箭头指向低密度区为梗塞区,蓝色箭头指向较高密度区为出血。

    Figure  2.  Preoperative cranial imaging findings in the good outcome group

    图  3  两组△t-PA、△TN-C、△Cav-1比较

    A:△t-PA;B:△TN-C;C:△Cav-1;*P < 0.05。

    Figure  3.  Comparison of △t-PA,△TN-C and △Cav-1 between the two groups

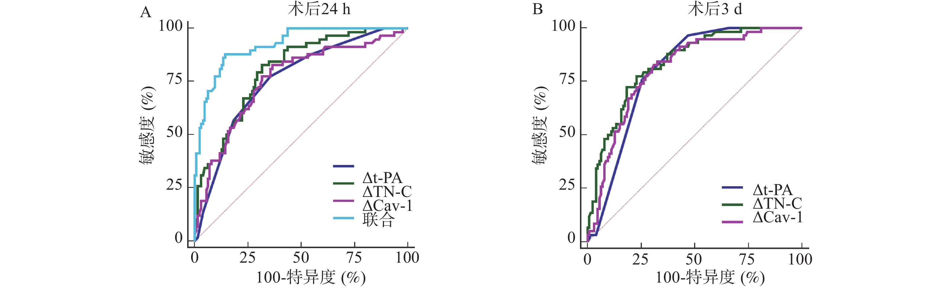
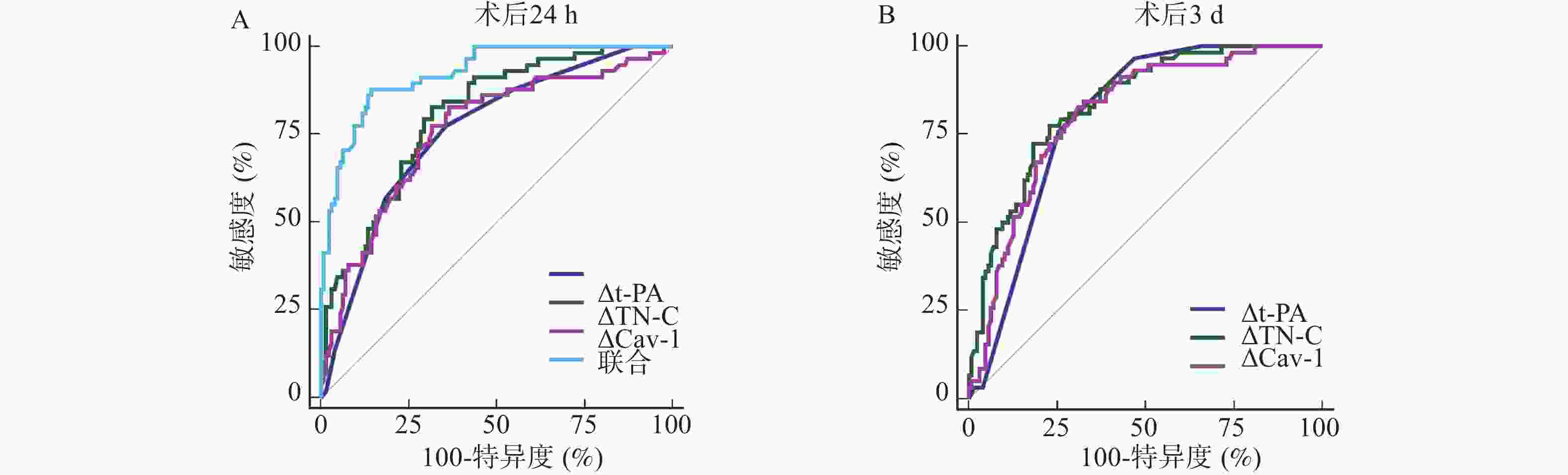
    图  4  围术期t-PA、TN-C、Cav-1变化值预测术后不良病情转归的ROC

    A:术后24 h t-PA、TN-C、Cav-1变化值预测术后不良病情转归的ROC;B:术后3 d t-PA、TN-C、Cav-1变化值预测术后不良病情转归的ROC。

    Figure  4.  ROC Curves for predicting postoperative adverse outcome using perioperative changes in t-PA,TN-C,and Cav-1

    图  5  围术期t-PA、TN-C、Cav-1变化值联合预测术后不良病情转归的ROC

    Figure  5.  ROC curve for the combined prediction of postoperative adverse outcome using perioperative changes in t-PA,TN-C and Cav-1

    表  1  围术期t-PA、TN-C、Cav-1变化计算公式

    Table  1.   Formula for calculating perioperative changes in t-PA,TN-C and Cav-1

    指标 术后24 h变化值 术后3 d变化值
    △t-PA 术后24 h t-PA—术前t-PA 术后3 d t-PA—术前t-PA
    △TN-C 术前TN-C—术后24 h TN-C 术前TN-C—术后3 d TN-C
    △Cav-1 术前Cav-1—术后24 h Cav-1 术前Cav-1—术后3 d Cav-1
    下载: 导出CSV

    表  2  两组基线资料比较[($ \bar x \pm s $)/n(%)]

    Table  2.   Comparison of baseline data between the two groups[ ($ \bar x \pm s $)/n(%)]

    资料 不良组(n=58) 良好组(n=126) t P
    年龄(岁) 56.15 ± 9.00 54.20 ± 7.38 1.551 0.123
    性别 0.220 0.639
     男 31(53.45) 72(57.14)
     女 27(46.55) 54(42.86)
    体质量
     正常 19(32.76) 44(34.92) 0.082 0.774
     超重 25(43.10) 57(45.24) 0.073 0.787
     肥胖 14(24.14) 25(19.84) 0.439 0.508
    糖尿病 28(48.28) 55(43.65) 0.343 0.558
    高血压 17(29.31) 32(25.40) 0.311 0.577
    冠心病 5(8.62) 7(5.56) 0.213 0.645
    吸烟 22(37.93) 43(34.13) 0.113 0.737
    饮酒 11(18.97) 19(15.08) 0.201 0.654
    病灶位置 2.197 0.533
     颞顶叶 37(63.79) 86(68.25)
     额颞叶 8(13.79) 16(12.70)
     额颞顶叶 7(12.07) 18(14.29)
     顶枕叶 6(10.34) 6(4.76)
    发病至手术时间(h) 27.30 ± 4.56 28.19 ± 5.00 1.153 0.251
    术前GCS评分(分) 6.90 ± 1.22 7.86 ± 1.03 5.535 <0.001*
    术前NIHSS评分(分) 14.78 ± 4.19 12.11 ± 3.78 4.300 <0.001*
    梗死侧别 0.034 0.855
     左侧 30(51.72) 67(53.17)
     右侧 28(48.28) 59(46.83)
    梗死体积(mL) 82.45 ± 15.62 78.92 ± 13.87 1.541 0.125
    发病至手术时间(h) 27.30 ± 4.56 28.19 ± 5.00 1.153 0.251
    术后脱水治疗强度 0.061 0.805
     常规剂量 47(81.03) 104(82.54)
     大剂量(甘露醇>375 mL/d) 11(18.97) 22(17.46)
    抗血小板/抗凝治疗启动时间(h) 0.219 0.897
     ≤48 39(67.24) 89(70.63)
     49~72 15(25.86) 29(23.02)
     >72 4(6.90) 8(6.35)
      *P < 0.001。
    下载: 导出CSV

    表  3  两组围术期t-PA、TN-C、Cav-1比较($ \bar x \pm s $)

    Table  3.   Comparison of perioperative t-PA,TN-C and Cav-1 levels between the two groups ($ \bar x \pm s $)

    指标 组别 n 术前 术后24 h 术后3 d
    t-PA(IU/mL) 不良组 58 0.11 ± 0.03 0.12 ± 0.02 0.14 ± 0.02
    良好组 126 0.12 ± 0.04 0.17 ± 0.05 0.20 ± 0.04
    F组间 12.405 18.632 24.817
    F时间 9.763 15.328 20.541
    F交互 18.245 12.976 16.382
    P组间 <0.001* <0.001* <0.001*
    P时间 <0.001* <0.001* <0.001*
    P交互 <0.001* <0.001* <0.001*
    TN-C(μg/L) 不良组 58 79.56 ± 18.34 70.84 ± 13.39 68.26 ± 11.94
    良好组 126 75.80 ± 20.27 64.75 ± 16.28 50.03 ± 14.51
    F组间 18.313 22.579 30.146
    F时间 14.529 18.963 25.782
    F交互 16.035 14.218 19.653
    P组间 <0.001* <0.001* <0.001*
    P时间 <0.001* <0.001* <0.001*
    P交互 <0.001* <0.001* <0.001*
    Cav-1(μg/L) 不良组 58 37.26 ± 9.85 33.00 ± 6.52 34.19 ± 8.46
    良好组 126 35.94 ± 11.02 28.46 ± 8.39 24.13 ± 7.28
    F组间 14.578 19.345 27.691
    F时间 11.288 16.732 22.458
    F交互 17.229 13.864 18.927
    P组间 <0.001* <0.001* <0.001*
    P时间 <0.001* <0.001* <0.001*
    P交互 <0.001* <0.001* <0.001*
      *P < 0.001。
    下载: 导出CSV

    表  4  围术期t-PA、TN-C、Cav-1变化值对病情转归的影响

    Table  4.   Effect of perioperative changes in t-PA,TN-C and Cav-1 on clinical outcome

    影响因素 β SE Wald χ2 OR 95%CI P
    下限 上限
    术后24 h
     △t-PA −0.902 0.182 24.554 0.406 0.215 0.766 <0.001*
     △TN-C −1.200 0.306 15.378 0.301 0.148 0.613 <0.001*
     △Cav-1 −1.054 0.417 6.390 0.348 0.173 0.702 0.003*
     常数项 3.681 0.082 31.527
    术后3 d
     △t-PA −0.635 0.256 6.148 0.530 0.329 0.854 0.004*
     △TN-C −0.779 0.203 14.740 0.459 0.267 0.788 <0.001*
     △Cav-1 −0.711 0.241 8.714 0.491 0.264 0.913 <0.001
     常数项 4.095 0.075 24.336 <0.001*
      *P < 0.05。
    下载: 导出CSV

    表  5  围术期t-PA、TN-C、Cav-1变化值预测术后不良病情转归的效能

    Table  5.   Predictive Efficacy of perioperative changes in t-PA,TN-C and Cav-1 for postoperative adverse outcome

    指标 AUC 95%CI cut-off值 敏感度(%) 特异度(%) P
    术后24 h
     △t-PA 0.759 0.691~0.819 0.03 77.59 64.29 <0.001*
     △TN-C 0.804 0.739~0.859 10.31 82.76 68.25 <0.001*
     △Cav-1 0.760 0.691~0.819 5.90 82.76 63.49 <0.001*
    术后3 d
     △t-PA 0.799 0.734~0.855 0.03 75.86 74.60 <0.001*
     △TN-C 0.836 0.774~0.886 13.79 77.59 76.98 <0.001*
     △Cav-1 0.807 0.742~0.861 4.27 84.48 67.46 <0.001*
      *P < 0.001。
    下载: 导出CSV
  • [1] Hua X, Liu M, Wu S. Definition, prediction, prevention and management of patients with severe ischemic stroke and large infarction[J]. Chin Med J, 2023, 136(24): 2912-2922. doi: 10.1097/CM9.0000000000002885
    [2] Michalski D, Jungk C, Beynon C, et al. Fokus Neurologische Intensivmedizin 2022/2023 “, ” Focus on neurological intensive care medicine 2022/2023: Zusammenfassung ausgewählter intensivmedizinischer Studien “, ” Summary of selected intensive medical care studies[J]. Anaesthesiologie, 2023, 72(12): 894-906.
    [3] Rochat T, Bögli S Y, Beqiri E, et al. Effect of decompressive craniectomy on intracranial pressure waveforms and vascular reactivity: A systematic scoping review[J]. Neurotrauma Rep, 2024, 5(1): 903-909. doi: 10.1089/neur.2024.0046
    [4] Klijn C J, Dammers R, Sprigg N. Decompressive craniectomy for deep intracerebral haemorrhage: A SWITCH towards better outcomes?[J]. Lancet, 2024, 403(10442): 2351-2353. doi: 10.1016/S0140-6736(24)00703-7
    [5] Chen R, Yan L, Xie P, et al. Use of diterpene ginkgolides meglumine injection to regulate plasma levels of PAI-1 and t-PA in patients with acute atherosclerotic cerebral infarction[J]. Neurologist, 2022, 27(6): 299-303. doi: 10.1097/NRL.0000000000000399
    [6] Duan C, Xiong Y, Gu H, et al. Intravenous thrombolysis versus antiplatelet therapy in minor stroke patients with large vessel occlusion[J]. CNS Neurosci Ther, 2023, 29(6): 1615-1623. doi: 10.1111/cns.14124
    [7] Chelluboina B, Chokkalla A K, Mehta S L, et al. Tenascin-C induction exacerbates post-stroke brain damage[J]. J Cereb Blood Flow Metab, 2022, 42(2): 253-263. doi: 10.1177/0271678X211056392
    [8] Jin H Q, Jiang W F, Zheng X T, et al. miR-199a-5p enhances neuronal differentiation of neural stem cells and promotes neurogenesis by targeting Cav-1 after cerebral ischemia[J]. CNS Neurosci Ther, 2023, 29(12): 3967-3979. doi: 10.1111/cns.14323
    [9] 中华医学会神经外科学分会, 国家卫健委脑卒中筛查与防治工程委员会, 海峡两岸医药卫生交流协会神经外科分会缺血性脑血管病学组. 大面积脑梗死外科治疗指南[J]. 中华医学杂志, 2021, 101(45): 3700-3711. doi: 10.3760/cma.j.cn112137-20210729-01687
    [10] Seno S, Aoki M, Kiyozumi T, et al. Usefulness of the simple Coma scale, a simplified version of the Glasgow Coma scale[J]. Neurotrauma Rep, 2024, 5(1): 883-889. doi: 10.1089/neur.2024.0096
    [11] Aguilar-Fuentes V, Orozco-Puga P, Jiménez-Ruiz A. The Glasgow Coma Scale: 50-year anniversary[J]. Neurol Sci, 2024, 45(6): 2899-2901. doi: 10.1007/s10072-024-07432-9
    [12] Hendrix P, Melamed I, Collins M, et al. NIHSS 24 h after mechanical thrombectomy predicts 90-day functional outcome[J]. Clin Neuroradiol, 2022, 32(2): 401-406. doi: 10.1007/s00062-021-01068-4
    [13] Wei Y, Zhang Q, Niu J, et al. Enlarged perivascular spaces predict malignant cerebral edema after acute large hemispheric infarction[J]. Cerebrovasc Dis Extra, 2024, 14(1): 30-38. doi: 10.1159/000536592
    [14] Rochat T, Bögli S Y, Beqiri E, et al. Effect of decompressive craniectomy on intracranial pressure waveforms and vascular reactivity: A systematic scoping review[J]. Neurotrauma Rep, 2024, 5(1): 903-909. doi: 10.1089/neur.2024.0046
    [15] Park A J, Garcia V P, Greiner J J, et al. Development of a hypercoagulable-hypofibrinolytic state early after spinal cord injury[J]. Arch Phys Med Rehabil, 2024, 105(5): 843-849. doi: 10.1016/j.apmr.2023.11.001
    [16] Lin B, Shen Y, Zhang P, et al. Prognostic role of tissue plasminogen activator in coronary artery disease with or without aortic valve sclerosis[J]. ESC Heart Fail, 2023, 10(4): 2541-2549. doi: 10.1002/ehf2.14420
    [17] 施罗炯, 孙静. 血栓-炎症因子水平与老年急性脑梗死患者静脉溶栓预后的关系探讨[J]. 中风与神经疾病杂志, 2023, 40(12): 1101-1107. doi: 10.19845/j.cnki.zfysjjbzz.2023.0237
    [18] Hayward S J L, Chesnaye N C, Hole B, et al. Protein biomarkers and major cardiovascular events in older people with advanced CKD: The European quality (EQUAL) study[J]. Kidney Med, 2023, 6(1): 100745.
    [19] Patel R B, Dhanesha N, Sutariya B, et al. Targeting neutrophil α9 improves functional outcomes after stroke in mice with obesity-induced hyperglycemia[J]. Stroke, 2023, 54(9): 2409-2419. doi: 10.1161/STROKEAHA.123.042714
    [20] Xie Y, Wu M, Li Y, et al. Low caveolin-1 levels and symptomatic intracranial haemorrhage risk in large-vessel occlusive stroke patients after endovascular thrombectomy[J]. Eur J Neurol, 2024, 31(8): e16342. doi: 10.1111/ene.16342
    [21] Zhao Y, Zhu W, Wan T, et al. Vascular endothelium deploys caveolin-1 to regulate oligodendrogenesis after chronic cerebral ischemia in mice[J]. Nat Commun, 2022, 13(1): 6813. doi: 10.1038/s41467-022-34293-7
    [22] Li Y, Liu B, Zhao T, et al. Comparative study of extracellular vesicles derived from mesenchymal stem cells and brain endothelial cells attenuating blood-brain barrier permeability via regulating Caveolin-1-dependent ZO-1 and Claudin-5 endocytosis in acute ischemic stroke[J]. J Nanobiotechnology, 2023, 21(1): 70. doi: 10.1186/s12951-023-01828-z
    [23] Gubern-Mérida C, Comajoan P, Huguet G, et al. Cav-1 protein levels in serum and infarcted brain correlate with hemorrhagic volume in a mouse model of thromboembolic stroke, independently of rt-PA administration[J]. Mol Neurobiol, 2022, 59(2): 1320-1332. doi: 10.1007/s12035-021-02644-y
    [24] Huang H, Zhang S, Du H, et al. Effect of Clopidogrel combined with aspirin in the treatment of acute progressive cerebral infarction: A retrospective single-center analysis[J]. Pak J Med Sci, 2024, 40(5): 891-895. doi: 10.12669/pjms.40.5.9206
    [25] Wang Q, Cao H, Yan E, et al. The prognostic value of caveolin-1 levels in ischemic stroke patients after mechanical thrombectomy[J]. Neurol Sci, 2023, 44(6): 2081-2086. doi: 10.1007/s10072-023-06606-1
  • [1] 尤莉, 李宁, 高芸君, 李永胜, 武雅峰, 李建生.  血清miR-140与miR-335-5p联合临床指标构建肝硬化门静脉高压患者上消化道出血的预警模型, 昆明医科大学学报.
    [2] 邱树梅, 张海燕, 王华炜.  C反应蛋白/D-二聚体比值和纤维蛋白原/白蛋白比值对冠心病患者PCI术后MACE发生的预测价值及模型构建, 昆明医科大学学报. doi: 10.12259/j.issn.2095-610X.S20250711
    [3] 陈玉婷, 蒲军, 晏斌, 谢仁华.  泛免疫炎症值对缺血性卒中患者血管内介入联合替罗非班治疗疾病转归的预测价值, 昆明医科大学学报. doi: 10.12259/j.issn.2095-610X.S20250415
    [4] 李盈甫, 郭妮, 罗正光, 邢安灏, 李太福, 马千里.  EGFR基因多态性与云南汉族人群非小细胞肺癌的关联性, 昆明医科大学学报. doi: 10.12259/j.issn.2095-610X.S20250413
    [5] 曾阳, 王茜, 田茂良.  支气管肺泡灌洗复合低分子肝素对重症肺炎患者的影响, 昆明医科大学学报. doi: 10.12259/j.issn.2095-610X.S20240523
    [6] 程甜甜, 尹文卅, 王佳, 卢玉梅, 陈炫羽, 聂胜洁, 刘林林.  TMTC1基因多态性与精神分裂症的关联性, 昆明医科大学学报. doi: 10.12259/j.issn.2095-610X.S20231014
    [7] 李敏, 黎玉环, 熊光润, 郑永强.  急性脑梗死患者血清组织蛋白酶S和血小板反应蛋白-1的表达及意义, 昆明医科大学学报.
    [8] 林雁, 张京晶, 黄高贵, 张翼宇, 芮溧, 姚树祥.  昆明地区中小学学生的5-HT转运体蛋白基因(SLC6A4)与儿童品行障碍的关联性, 昆明医科大学学报.
    [9] 刘博虎.  不同包扎方法对标准去骨瓣减压术后患者颅内压的影响, 昆明医科大学学报.
    [10] 张茂林.  重组组织型纤溶酶原激活剂静脉溶栓治疗急性脑梗死的临床疗效, 昆明医科大学学报.
    [11] 姚建辉.  急性胰腺炎反应期C反应蛋白测定对病情严重程度的评估, 昆明医科大学学报.
    [12] 王丹.  超敏C反应蛋白、纤维蛋白原与脑梗死患者颈动脉粥样硬化的相关性分析, 昆明医科大学学报.
    [13] 卫梦南.  妊娠期糖尿病产后血糖转归与瘦素水平相关性研究, 昆明医科大学学报.
    [14] 聂志.  年轻脑梗死患者脂蛋白(a)和颈动脉粥样硬化相关性研究, 昆明医科大学学报.
    [15] 蒋榆辉.  云南省迁延性新生儿黄疸与UGT 1A1基因多态性的遗传关联性研究, 昆明医科大学学报.
    [16] 刘玲.  UGT1A1基因多态性与昆明地区重症新生儿黄疸的遗传关联性研究, 昆明医科大学学报.
    [17] 刘丽萍.  高危型HPV感染负荷量预测宫颈病变转归可能性的研究, 昆明医科大学学报.
    [18] 阿托伐他汀联合阿司匹林治疗血栓形成性脑梗死患者C反应蛋白及血脂的变化, 昆明医科大学学报.
    [19] 刘文凤.  多发大面积褥疮合并莫拉氏细菌感染患者的护理治疗1例, 昆明医科大学学报.
    [20] 孙杰.  去骨瓣减压术的临床应用, 昆明医科大学学报.
  • 加载中
图(5) / 表(5)
计量
  • 文章访问数:  257
  • HTML全文浏览量:  156
  • PDF下载量:  60
  • 被引次数: 0
出版历程
  • 收稿日期:  2025-11-26
  • 网络出版日期:  2026-03-09
  • 刊出日期:  2026-03-31

目录

    /

    返回文章
    返回