留言板

尊敬的读者、作者、审稿人, 关于本刊的投稿、审稿、编辑和出版的任何问题, 您可以本页添加留言。我们将尽快给您答复。谢谢您的支持!

姓名
邮箱
手机号码
标题
留言内容
验证码

CT联合MR诊断强直性脊柱炎骶髂关节病变分级的临床诊断价值

吴雪南 苏华玮 李曼

吴雪南, 苏华玮, 李曼. CT联合MR诊断强直性脊柱炎骶髂关节病变分级的临床诊断价值[J]. 昆明医科大学学报, 2025, 46(10): 106-112. doi: 10.12259/j.issn.2095-610X.S20251013
引用本文: 吴雪南, 苏华玮, 李曼. CT联合MR诊断强直性脊柱炎骶髂关节病变分级的临床诊断价值[J]. 昆明医科大学学报, 2025, 46(10): 106-112. doi: 10.12259/j.issn.2095-610X.S20251013
Xuenan WU, Huawei SU, Man LI. Clinical Diagnostic Value of CT Combined with MR in Grading Sacroiliac Joint Lesions in Ankylosing Spondylitis[J]. Journal of Kunming Medical University, 2025, 46(10): 106-112. doi: 10.12259/j.issn.2095-610X.S20251013
Citation: Xuenan WU, Huawei SU, Man LI. Clinical Diagnostic Value of CT Combined with MR in Grading Sacroiliac Joint Lesions in Ankylosing Spondylitis[J]. Journal of Kunming Medical University, 2025, 46(10): 106-112. doi: 10.12259/j.issn.2095-610X.S20251013

CT联合MR诊断强直性脊柱炎骶髂关节病变分级的临床诊断价值

doi: 10.12259/j.issn.2095-610X.S20251013
基金项目: 海南省卫生计生行业科研项目(20A200380)
详细信息
    作者简介:

    吴雪南(1986~),女,海南海口人,医学学士,主管技师,主要从事骨关节扫描技术研究工作

    通讯作者:

    李曼,E-mail:578149522@qq.com

  • 中图分类号: R445.2;R445.3

Clinical Diagnostic Value of CT Combined with MR in Grading Sacroiliac Joint Lesions in Ankylosing Spondylitis

  • 摘要:   目的  探讨CT联合MRI(以下简称联合诊断)诊断强直性脊柱炎(ankylosing spondylitis,AS)骶髂关节病变的价值。  方法  回顾性选择2021年1月至2023年7月间海南省海口市第三人民医院收治的102例AS骶髂关节病变患者的CT、MRI检查资料,比较CT、MRI、联合诊断对AS骶髂关节病变分级以及各种征象检出率。  结果  MRI对Ⅰ~Ⅱ级AS骶髂关节病变检出率、骨髓水肿、肌腱韧带附着点炎症、关节面下软骨破坏、滑膜增厚、关节面下脂肪沉积检出率高于CT(P < 0.05),相较于MR,CT在检出关节面硬化、关节面骨下侵蚀/破坏以及关节面增生方面具有更高的准确率(P < 0.05)。联合诊断对AS骶髂关节病变分级、AS骶髂关节病变征象检出率均高于单独MRI和CT诊断(P < 0.05)。  结论  MRI对AS早期骶髂关节病变具有较高检出率,CT对关节面增生、硬化、侵蚀和破坏具有较高敏感性,联合诊断效能优于单独MRI和CT。
  • 图  1  AS骶髂关节病变CT表现

    A:两侧骶髂关节融合,腰椎小关节增生硬化并融合;B:两侧骶髂关节骨皮质硬化,关节面下可见囊肿低密度区。

    Figure  1.  CT manifestations of sacroiliac joint lesions in ankylosing spondylitis

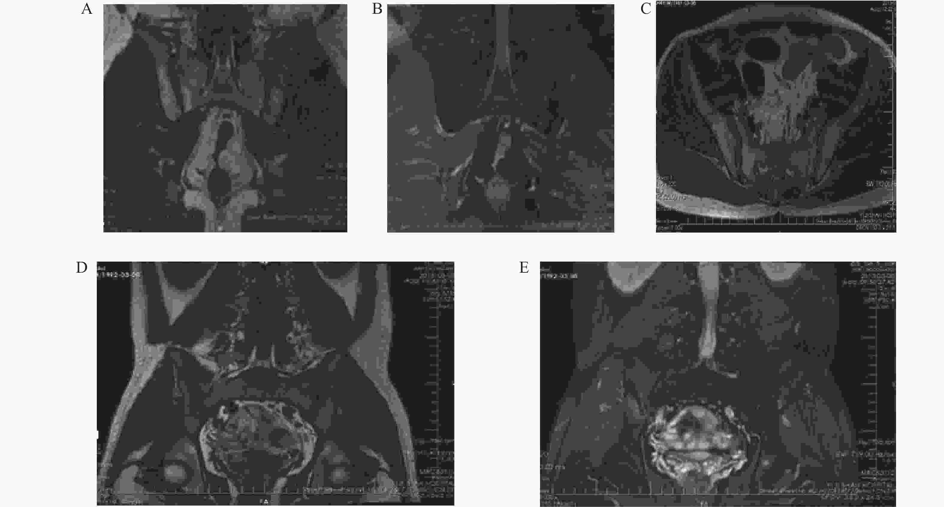
    图  2  AS骶髂关节病变MRI表现

    A:AS关节面下脂肪沉积,T1WI冠状位骶髂关节面下呈高信号影;B:AS关节面下脂肪沉积,压脂PDWI图呈低信号;C:为右侧骶髂关节软骨破坏,横轴位T1WI图示软骨扭曲、毛糙;D:骨髓水肿,冠状位T1WI低信号;E:骨髓水肿,冠状PDWI高信号。

    Figure  2.  MRI manifestations of sacroiliac joint lesions in ankylosing spondylitis

    表  1  CT、MRI、联合诊断对AS骶髂关节病变分级检出率比较 [n(%)]

    Table  1.   Comparison of detection rates for AS sacroiliac joint lesions by CT,MRI,and combined diagnosis [n(%)]

    组别 Ⅰ级 Ⅱ级 Ⅲ级 Ⅳ级
    CT 11(10.78) 15(14.71) 22(21.57) 6(5.88)
    MRI 19(18.63) 31(29.25) 22(20.75) 6(5.66)
    CT+MRI 23(22.55)a 35(34.31)a 27(26.47) 8(7.84)
    三种方法
    比较χ2
    5.112 11.283 0.917 0.428
    三种方法
    比较P
    0.078 0.004b 0.632 0.807
      联合诊断与CT单独诊断比较,aP < 0.05;三种方法比较,bP < 0.05。
    下载: 导出CSV

    表  2  CT、MRI、联合诊断对AS骶髂关节病变分级指标比较

    Table  2.   Comparison of grading indicators for sacroiliac joint lesions in ankylosing spondylitis using CT,MRI,and combined diagnosis

    组别Ⅰ级Ⅱ级Ⅲ级Ⅳ级
    CT组AUC值0.7120.6920.8930.833
    MRI组AUC值0.8650.8970.8930.833
    CT+MRI组AUC值0.9420.9490.9820.944
    CT组敏感度0.4230.3850.7950.667
    MRI 组敏感度0.7310.7950.7860.668
    CT+MRI 组敏感度0.8850.8740.9640.889
    CT组特异度1.0001.0001.0001.000
    MRI组特异度1.0001.0001.0001.000
    CT+MRI组特异度1.0001.0001.0001.000
    CT组Kappa值0.5220.4360.7850.785
    MRI组Kappa值0.8020.8270.8420.785
    CT+MRI组Kappa值0.9200.9150.9750.936
    下载: 导出CSV

    表  3  CT、MRI、联合诊断对AS骶髂关节病变征象检出率比较[n(%)]

    Table  3.   Comparison of detection rates for AS sacroiliac joint lesions by CT,MRI,and combined diagnosis [n(%)]

    组别 关节面下软骨破坏 肌腱韧带附着点炎 骨髓水肿 滑膜增厚 脂肪沉积 关节面增生硬化 关节面骨下侵蚀/破坏
    CT 6(5.88)a 5(4.90)ab 3(2.94)ab 6(5.88)ab 9(8.82)ab 29(28.43)ae 35(34.31)ae
    MRI 15(14.71)f 29(28.43)f 15(14.71)f 27(26.47)f 26(25.49)f 10(9.80)c 12(11.76)c
    CT+MRI 19(18.63) 39(38.24) 21(20.59) 38(37.25) 35(34.31) 42(41.18) 45(44.12)
    三种方法
    比较χ2
    7.650 32.959 14.811 29.807 19.375 29.377 26.702
    三种方法
    比较P
    0.022d < 0.001d 0.001d < 0.001d < 0.001d < 0.001d < 0.001d
      CT单独诊断与MRI单独诊断比较,aP < 0.05;联合诊断与CT单独诊断比较,bP < 0.05;联合诊断与MRI单独诊断比较,cP < 0.05;三种方法比较,dP < 0.05;联合诊断与CT单独诊断比较,eP > 0.05;联合诊断与MRI单独诊断比较,fP > 0.05。
    下载: 导出CSV
  • [1] 郭洪録, 郭晓利, 李力毅, 等. 表没食子儿茶素没食子酸对强直性脊柱炎大鼠Th1/Th2免疫平衡, 软骨细胞凋亡的影响[J]. 郑州大学学报(医学版), 2020, 55(5): 676-681.
    [2] 余晴, 陈悦宁, 刘宏潇. 中国强直性脊柱炎人群工作能力现状及影响因素分析[J]. 海军军医大学学报, 2025, 46(4): 488-496.
    [3] Xu J, Deng Y, Yu C Y, et al. Efficacy of wIRA in the treatment of sacroiliitis in male patients with ankylosing spondylitis and its effect on serum VEGF levels[J]. J Orthop Surg Res, 2019, 14(1): 313. doi: 10.1186/s13018-019-1322-7
    [4] 郑顺科, 张和平, 林炜盛. X线及CT诊断对强直性脊柱炎的诊断效果和影像学特点[J]. 智慧健康, 2022, 8(26): 18-21+40.
    [5] 陈慧鸽. X线、CT与MRI联合诊断早期强直性脊柱炎骶髂关节病变的价值[J]. 河南医学研究, 2020, 29(14): 2647-2649. doi: 10.3969/j.issn.1004-437X.2020.14.074
    [6] 赖苑威, 罗宏杰, 许军, 等. 青壮年活动性骶髂关节强直性脊柱炎CT与MRI表现及与炎性因子水平相关性研究[J]. 颈腰痛杂志, 2022, 43(6): 810-814. doi: 10.3969/j.issn.1005-7234.2022.06.008
    [7] 王邦彦, 王久存, 文少卿. 古代强直性脊柱炎的诊断标准及国内研究回顾[J]. 人类学学报, 2023, 42(3): 422-434.
    [8] 卢玉洁. 基于CT分级的强直性脊柱炎骶髂关节病变证素分布特点研究[D]. 福州: 福建中医药大学, 2023.
    [9] 薛三宝. MRI诊断强直性脊柱炎骶髂关节病变的影像学价值[J]. 医学信息, 2022, 35(22): 142-144. doi: 10.3969/j.issn.1006-1959.2022.22.034
    [10] Korotaeva T, Dina O, Holdsworth E, et al. Investigating diagnosis, treatment, and burden of disease in patients with ankylosing spondylitis in Central Eastern Europe and the United States: A real-world study[J]. Clin Rheumatol, 2021, 40(12): 4915-4926.
    [11] Lee Y H. Comparative efficacy and safety of Janus kinase inhibitors and secukinumab in patients with active ankylosing spondylitis: A systematic review and meta-analysis[J]. Pharmacology, 2022, 107(11-12): 537-544. doi: 10.1159/000525627
    [12] Svedbom A, Dal é n J, Ivergård M, et al. The value of persistence in treatment with subcutaneous TNF-alpha inhibitors for ankylosing spondylitis[J]. Eur J Health Econ, 2020, 21(1): 45-54. doi: 10.1007/s10198-019-01110-w
    [13] 展晓梅. MRI、CT、X线联合诊断早期强直性脊柱炎骶髂关节病变的价值分析[J]. 中国社区医师, 2023, 39(30): 107-109.
    [14] 赵晓飞. X线、CT及MRI检查诊断早期强直性脊柱炎骶髂关节病变的价值研究[J]. 影像研究与医学应用, 2022, 6(18): 176-178. doi: 10.3969/j.issn.2096-3807.2022.18.060
    [15] 宋炜, 徐晓军. MRI与CT检查对强直性脊柱炎骶髂关节病变的诊断价值比较[J]. 临床医学研究与实践, 2023, 8(24): 122-125.
    [16] 岳昌明, 雷文亭, 黄依莲. CT与MRI在诊断早期强直性脊柱炎骶髂关节病变中的临床意义[J]. 河南医学研究, 2022, 31(16): 3040-3043. doi: 10.3969/j.issn.1004-437X.2022.16.045
    [17] 王琴. 早期强直性脊柱炎骶髂关节病变应用X线、CT和MRI的诊断价值[J]. 影像研究与医学应用, 2022, 6(7): 134-136. doi: 10.3969/j.issn.2096-3807.2022.07.045
    [18] 王国庆. MRI脂肪抑制技术STIR序列应用于强直性脊柱炎骶髂关节检测的价值[J]. 黑龙江医学, 2024, 48(22): 2735-2737. doi: 10.3969/j.issn.1004-5775.2024.22.014
    [19] 李筱倩, 朱建忠, 赵鲁平, 等. 磁共振DWI联合DCE序列诊断早期强直性脊柱炎骶髂关节改变[J]. 放射学实践, 2015, 30(6): 679-682.
    [20] 李成, 王妮, 王喆, 等. 骶髂关节融合断层显像(SPECT/CT)在强直性脊柱炎骶髂关节病变分期中的价值及临床观察[J]. 医学影像学杂志, 2017, 27(12): 2365-2367.
  • [1] 郑霞, 黄小波, 程静, 杨旭, 韩丹.  MRI三维可视化重建技术评估复杂性肛瘘的临床应用, 昆明医科大学学报. doi: 10.12259/j.issn.2095-610X.S20230516
    [2] 严植, 郝金钢, 尚芸芸.  VI-RADS评分对膀胱癌精准治疗的价值, 昆明医科大学学报. doi: 10.12259/j.issn.2095-610X.S20220322
    [3] 保超宇, 潘斯学, 何光雄, 夏吉良, 陈帅, 向俊宜.  MRI测量正常成人距骨关节面软骨的厚度, 昆明医科大学学报. doi: 10.12259/j.issn.2095-610X.S20220502
    [4] 赵洪, 万珊杉, 刘再强, 金永明, 于凌, 王世平.  云南省散发布鲁氏菌性脊柱炎影像学表现特征分析, 昆明医科大学学报. doi: 10.12259/j.issn.2095-610X.S20221027
    [5] 王戈, 沈凌筠, 李国晖, 杨燕, 郑继坤, 袁丽娟.  CT肺叶血流分布造影在诊断肺栓塞中的应用价值, 昆明医科大学学报. doi: 10.12259/j.issn.2095-610X.S20210128
    [6] 陈华英, 王维, 刘宝玲, 包艳, 胡蕾.  标准化管理模式对改善强直性脊柱炎患者生活质量的影响, 昆明医科大学学报. doi: 10.12259/j.issn.2095-610X.S20210605
    [7] 郝建成, 孙丽娟, 郝金钢.  乳腺结节状病变的MRI诊断, 昆明医科大学学报. doi: 10.12259/j.issn.2095-610X.S20211007
    [8] 张振光, 彭闰梅, 李玉丹, 何川, 王福科, 蒋元明, 何波.  MRI与MR关节造影诊断SLAP损伤对比关节镜检查的相关性, 昆明医科大学学报.
    [9] 张危, 杨国际, 陈卫文, 李宏伟, 李秀萍, 曾晓燕.  不同荧光抗体剂量对HLA-B27的流式细胞结果的影响, 昆明医科大学学报.
    [10] 党勇, 段钊.  CT联合MRI子宫内膜癌分期诊断与术后VEGF-C水平观察, 昆明医科大学学报.
    [11] 吴晓涛, 李传俊, 伍鑫, 钟世燕.  磁共振成像对强直性脊柱炎早期骶髂关节炎诊断的临床应用价值, 昆明医科大学学报.
    [12] 郝金钢.  原发性胆囊癌102例MRI诊断价值分析, 昆明医科大学学报.
    [13] 江超武.  25例鼻型结外NK/T细胞淋巴瘤CT表现及临床误诊原因分析, 昆明医科大学学报.
    [14] 艾毅钦.  CT及MRI在直肠癌术前局部分期的临床诊断价值, 昆明医科大学学报.
    [15] 孙立辉.  MRI对终板软骨炎的诊断价值, 昆明医科大学学报.
    [16] 孙立辉.  多层CT动态增强扫描在直肠癌诊断中的应用价值, 昆明医科大学学报.
    [17] 张丽芳.  强直性脊柱炎髋关节病变的X线表现及鉴别诊断, 昆明医科大学学报.
    [18] 正常犬脊髓MR弥散成像的初步研究, 昆明医科大学学报.
    [19] CT对门静脉系血栓与癌栓的诊断鉴别, 昆明医科大学学报.
    [20] 小儿脊髓栓系综合征46例诊疗体会, 昆明医科大学学报.
  • 加载中
图(2) / 表(3)
计量
  • 文章访问数:  39
  • HTML全文浏览量:  26
  • PDF下载量:  3
  • 被引次数: 0
出版历程
  • 收稿日期:  2025-01-15
  • 刊出日期:  2025-10-28

目录

    /

    返回文章
    返回