留言板

尊敬的读者、作者、审稿人, 关于本刊的投稿、审稿、编辑和出版的任何问题, 您可以本页添加留言。我们将尽快给您答复。谢谢您的支持!

姓名
邮箱
手机号码
标题
留言内容
验证码

三芪口服液对糖尿病肾病大鼠糖酵解、肾脏细胞凋亡及Keap1-Nrf2 信号通路的影响

李文超 李雪 林珊珊 马昀 康国瑞 陈烨

李文超, 李雪, 林珊珊, 马昀, 康国瑞, 陈烨. 三芪口服液对糖尿病肾病大鼠糖酵解、肾脏细胞凋亡及Keap1-Nrf2 信号通路的影响[J]. 昆明医科大学学报. doi: 10.12259/j.issn.2095-610X.S20250000
引用本文: 李文超, 李雪, 林珊珊, 马昀, 康国瑞, 陈烨. 三芪口服液对糖尿病肾病大鼠糖酵解、肾脏细胞凋亡及Keap1-Nrf2 信号通路的影响[J]. 昆明医科大学学报. doi: 10.12259/j.issn.2095-610X.S20250000
Wenchao LI, Xue LI, Shanshan LIN, Yun MA, Guorui KANG, Ye CHEN. Effects of Sanqi Oral Liquid on Glycolysis,Renal Cell Apoptosis,and Keap1-Nrf2 Signaling Pathway in Diabetic Nephropathy Rats[J]. Journal of Kunming Medical University. doi: 10.12259/j.issn.2095-610X.S20250000
Citation: Wenchao LI, Xue LI, Shanshan LIN, Yun MA, Guorui KANG, Ye CHEN. Effects of Sanqi Oral Liquid on Glycolysis,Renal Cell Apoptosis,and Keap1-Nrf2 Signaling Pathway in Diabetic Nephropathy Rats[J]. Journal of Kunming Medical University. doi: 10.12259/j.issn.2095-610X.S20250000

三芪口服液对糖尿病肾病大鼠糖酵解、肾脏细胞凋亡及Keap1-Nrf2 信号通路的影响

doi: 10.12259/j.issn.2095-610X.S20250000
基金项目: 国家自然科学基金(82014779)
详细信息
    作者简介:

    李文超(1985~),女,满族,河北承德人,医学学士,副主任医师,主要从事中医肾病研究工作

    通讯作者:

    陈烨,E-mail:707701125@qq.com

  • 中图分类号: R361

Effects of Sanqi Oral Liquid on Glycolysis,Renal Cell Apoptosis,and Keap1-Nrf2 Signaling Pathway in Diabetic Nephropathy Rats

  • 摘要:   目的  探讨三芪口服液对糖尿病肾病大鼠糖酵解,肾脏细胞凋亡及Keap1-Nrf2 信号通路的影响。  方法   将SPF级雄性SD大鼠40只,分为正常组(ZC组)、模型组(M组)、三芪组(S组)、西药组(X组),10只/组。除ZC组外其余大鼠均建立糖尿病肾病(DN)模型,S组进行三芪口服液灌胃、X组进行缬沙坦灌胃,ZC组与M组灌胃等体积生理盐水。使用尿蛋白试剂盒、全自动生化分析仪测量各组小鼠空腹血糖、尿素氮以及肌酐含量,评估肾脏功能。使用ELISA法测定ATP、乳酸、葡萄糖含量;采用HE染色、TUNEL检测法观察肾组织病理程度及肾脏组织凋亡细胞分布及凋亡率情况;WesternBlot检测Keap1、Nrf2蛋白的表达。  结果   (1)与ZC组相比,M组24 h尿微量蛋白、空腹血糖、尿素氮、血肌酐、乳酸、Keap1蛋白升高(P < 0.05),ATP、葡萄糖、Nrf2蛋白降低(P < 0.05)。与M组相比,S组ATP、葡萄糖、Nrf2蛋白升高(P < 0.05),24 h尿微量蛋白、空腹血糖、尿素氮、血肌酐、乳酸、Keap1蛋白降低(P < 0.05)。与S组相比,X组Keap1蛋白升高、Nrf2蛋白下降(P < 0.05)。S组与X组各生化指标、各糖酵解指标对比无意义;(2)HE染色显示,M组明显肾小球系膜区增宽;S组、X组病变程度减轻,S组最佳;(3)与M组相比,各组肾组织细胞凋亡率下降(P < 0.05),S组最佳;(4)Pearson分析,Keap1与ATP、葡萄糖呈负相关性,与乳酸呈正相关性(P < 0.05) ;Nrf2与ATP、葡萄糖呈正相关性与与乳酸呈负相关性。  结论  三芪口服液可通过调控Keap1-Nrf2信号通路,改善DN大鼠的糖代谢紊乱与能量供应,最终达到延缓肾功能损伤、减少肾脏细胞凋亡的保护作用。
  • 图  1  对肾脏形态的作用(HE,×200)

    A:ZC组;B:M组;C:S组;D:X组。

    Figure  1.  Effect on kidney morphology (HE,×200)

    图  2  各组大鼠肾组织细胞凋亡TUNEL检测(×400)

    A:ZC组;B:M组;C:S组;D:X组。

    Figure  2.  TUNEL detection of apoptosis in renal tissue cells of rats in each group (×400)

    图  3  各组大鼠肾组织细胞凋亡率比较

    与正常组,相比*P < 0.05;与M组相比,#P < 0.05;与S组相比,P < 0.05。

    Figure  3.  Comparison of apoptosis rate in renal tissue cells of rats in each group

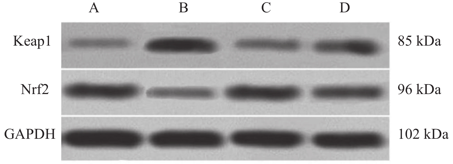
    图  4  大鼠肾组织Keap1、Nrf2蛋白表达分析

    A:ZC组;B:M组;C:S组;D:X组。

    Figure  4.  Analysis of Keap1 and Nrf2 protein expression in rat renal tissue

    图  5  大鼠肾组织Keap1、Nrf2蛋白表达分析

    与正常组,相比*P < 0.05;与M组相比,#P < 0.05;与S组相比,P < 0.05。

    Figure  5.  Analysis of Keap1 and Nrf2 protein expression in rat renal tissue

    表  1  各组大鼠生化指标水平比较($\bar x \pm s $,n = 10)

    Table  1.   Comparison of Biochemical Index Levels among rats in each group($\bar x \pm s $,n = 10)

    组别 24 h尿微量蛋白(mg/24 h) 空腹血糖(mmol/L) 尿素氮(mmol/L) 血肌酐(mmol/L)
    ZC组 17.29 ± 1.21 10.03 ± 4.51 8.29 ± 0.72 26.74 ± 2.76
    M组 34.05 ± 3.28 38.16 ± 4.09 26.74 ± 1.56 38.58 ± 2.14
    S组 23.42 ± 2.79 24.43 ± 4.45 15.61 ± 1.43 27.92 ± 1.27
    X组 21.57 ± 1.62 24.39 ± 3.87 16.72 ± 1.64 26.83 ± 1.59
    F 89.690 73.440 299.500 80.480
    P <0.001* <0.001* <0.001* <0.001*
      *P < 0.05。
    下载: 导出CSV

    表  2  各组大鼠糖酵解指标水平比较($\bar x \pm s $,n = 10)

    Table  2.   Comparison of Glycolytic Index Levels among rats in each group ($\bar x \pm s $,n = 10)

    组别 ATP(μmol/g) 乳酸(μmol/g) 葡萄糖(mmol/L)
    ZC组 1.05 ± 0.14 1.13 ± 0.16 0.98 ± 0.17
    M组 0.42 ± 0.09 1.94 ± 0.21 0.46 ± 0.08
    S组 0.86 ± 0.12 1.67 ± 0.18 0.64 ± 0.09
    X组 0.48 ± 0.07 1.81 ± 0.17 0.55 ± 0.07
    F 77.980 38.830 42.750
    P <0.001* <0.001* <0.001*
      *P < 0.05。
    下载: 导出CSV

    表  3  糖酵解与Keap1、Nrf2的相关性分析

    Table  3.   Correlation Analysis of glycolysis with Keap1 and Nrf2

    指标 ATP 乳酸 葡萄糖
    r P r P r P
    Keap1 −0.517 <0.001 0.435 0.004 −0.429 0.006
    Nrf2 0.423 0.008 −0.323 0.021 0.323 0.019
    下载: 导出CSV
  • [1] Fang J, Luo C, Zhang D, et al. Correlation between diabetic retinopathy and diabetic nephropathy: A two-sample Mendelian randomization study[J]. Front Endocrinol, 2023, 14: 1265711. doi: 10.3389/fendo.2023.1265711
    [2] 丁涵露, 罗昊军, 徐丹萍, 等. 重视糖尿病中慢性肾脏病的诊断[J]. 中华医学杂志, 2021, 101(10): 687-690.
    [3] 中华医学会糖尿病学分会微血管并发症学组. 中国糖尿病肾脏疾病防治临床指南[J]. 中华糖尿病杂志, 2019, 11(1): 15-28. doi: 10.3760/cma.j.issn.1674-5809.2019.01.004
    [4] Li X, Zhang Y, Xing X, et al. Podocyte injury of diabetic nephropathy: Novel mechanism discovery and therapeutic prospects[J]. Biomed Pharmacother, 2023, 168: 115670. doi: 10.1016/j.biopha.2023.115670
    [5] 张秀华, 曹式丽. 糖尿病肾病的发病机制研究进展[J]. 医学综述, 2019, 25(6): 1212-1216.
    [6] Liu Q J, Yuan W, Yang P, et al. Role of glycolysis in diabetic atherosclerosis[J]. World J Diabetes, 2023, 14(10): 1478-1492. doi: 10.4239/wjd.v14.i10.1478
    [7] 乌日娜, 丁海东, 常宏, 等. 萝卜硫素通过调节ALOX5/NF-κB信号通路调控巨噬细胞糖酵解抑制糖尿病肾病进展[J]. 安徽医科大学学报, 2024, 59(3): 390-397. doi: 10.19405/j.cnki.issn1000-1492.2024.03.004
    [8] Li X, Zhang Y, Xing X, et al. Podocyte injury of diabetic nephropathy: Novel mechanism discovery and therapeutic prospects[J]. Biomed Pharmacother, 2023, 168: 115670. doi: 10.1016/j.biopha.2023.115670
    [9] 陈一洁, 全紫娇, 郑楠, 等. 芹菜素通过激活Keap1-Nrf2-ARE信号通路缓解高糖引起的肾脏细胞损伤和氧化应激[J]. 中国药师, 2024, 27(6): 975-983. doi: 10.12173/j.issn.1008-049X.202310076
    [10] 侯海晶, 王立新, 杨霓芝. 三芪口服液对糖尿病肾病大鼠肾小球足细胞及其蛋白表达的影响[J]. 湖北中医杂志, 2012, 34(6): 20-22.
    [11] 吴平亚, 冯磊. 丹参素对糖尿病肾病大鼠MEK/ERK/Nrf2通路及肾脏纤维化的影响[J]. 热带医学杂志, 2021, 21(10): 1260-1264+1376. doi: 10.3969/j.issn.1672-3619.2021.10.006
    [12] 方积乾, 陆盈. 现代医学统计学[M]. 北京: 人民卫生出版社, 2002: 690-695.
    [13] van Raalte D H, Bjornstad P, Cherney D Z I, et al. Combination therapy for kidney disease in people with diabetes mellitus[J]. Nat Rev Nephrol, 2024, 20(7): 433-446. doi: 10.1038/s41581-024-00827-z
    [14] 王正, 刘蕊, 王培. 当归补血汤加味联合西医治疗糖尿病肾病的疗效及对足细胞损伤的影响[J]. 川北医学院学报, 2023, 38(5): 676-680. doi: 10.3969/j.issn.1005-3697.2023.05.023
    [15] 李文歌, 李平, 王明, 等. 糖尿病肾病中西医诊治的思路与方法[J]. 中国中西医结合肾病杂志, 2023, 24(9): 844-846. doi: 10.3969/j.issn.1009-587X.2023.09.032
    [16] 林嘉荣, 张蕾, 桂定坤, 等. 基于网络药理学三芪口服液治疗糖尿病肾病的作用机制[J]. 中国医药导报, 2019, 16(30): 130-135+190.
    [17] Zhu D, Ni Y, Chen C, et al. Geniposide ameliorates diabetic nephropathy in type 2 diabetic mice by targeting AGEs-RAGE-dependent inflammatory pathway[J]. Phytomedicine, 2024, 135: 156046. doi: 10.1016/j.phymed.2024.156046
    [18] Parwani K, Patel F, Bhagwat P, et al. Swertiamarin mitigates nephropathy in high-fat diet/streptozotocin-induced diabetic rats by inhibiting the formation of advanced glycation end products[J]. Arch Physiol Biochem, 2024, 130(2): 136-154. doi: 10.1080/13813455.2021.1987478
    [19] 曾贵兴, 林嘉荣, 吴禹池, 等. 基于网络药理学探究三芪口服液治疗慢性肾小球肾炎的效应机制[J]. 中国中西医结合肾病杂志, 2020, 21(5): 397-402. doi: 10.3969/j.issn.1009-587X.2020.05.006
    [20] 邓太平. 三芪口服液联合缬沙坦治疗慢性肾小球肾炎的疗效及对肾功能的影响[J]. 临床合理用药, 2024, 17(1): 97-100.
    [21] Pająk B, Zieliński R, Priebe W. The impact of glycolysis and its inhibitors on the immune response to inflammation and autoimmunity[J]. Molecules, 2024, 29(6): 1298. doi: 10.3390/molecules29061298
    [22] 邓文娟. 黄芪汤通过AMPK/Nrf2信号通路抑制氧化应激改善C57小鼠糖尿病肾病足细胞损伤[D]. 合肥: 安徽医科大学, 2019.
    [23] 刘唐威, 伍伟锋, 冯震博, 等. 黄芪对小鼠病毒性心肌炎细胞凋亡及bcl-2/bax基因转录的影响[J]. 广西医科大学学报, 2003, 20(6): 823-825. doi: 10.3969/j.issn.1005-930X.2003.06.001
    [24] 桂定坤, 汪年松. 黄芪甲苷肾保护作用机制[J]. 中华肾病研究电子杂志, 2013, 2(4): 39-41.
    [25] 徐莉莉, 戴世杰, 项晓骏. 三七总皂苷对糖尿病肾病小鼠TGF-β1及自噬相关蛋白Bax、Bcl-2、LC3I/LC3II表达的影响[J]. 中国中医药科技, 2022, 29(4): 560-565.
    [26] Chen J, Wang Q, Li R, et al. The role of Keap1-Nrf2 signaling pathway during the progress and therapy of diabetic retinopathy[J]. Life Sci, 2024, 338: 122386. doi: 10.1016/j.lfs.2023.122386
    [27] Yu Y, Li M, Lai W, et al. Shengqing Jiangzhuo capsule ameliorates diabetic nephropathy by improving Keap1/Nrf2 signaling pathway[J]. J Pharm Pharmacol, 2024, 76(9): 1149-1159. doi: 10.1093/jpp/rgae095
  • [1] 冉珍琴, 刘泽慧, 杨蓉, 王子宙, 陈栎昕, 韩睿.  细胞焦亡在糖尿病肾脏病中的作用及机制研究进展, 昆明医科大学学报. 2026, 47(1): 148-156. doi: 10.12259/j.issn.2095-610X.S20260118
    [2] 扆雪涛, 李慧, 贺永胜, 王延军.  白藜芦醇通过G6PC抑制胶质母细胞瘤细胞糖酵解的机制, 昆明医科大学学报. 2026, 47(4): 1-11.
    [3] 王海伟, 张小辉, 田云霄, 吴士茜.  TPI-1通过糖酵解重编程促进胃癌细胞增殖和侵袭的机制, 昆明医科大学学报. 2026, 47(2): 35-42. doi: 10.12259/j.issn.2095-610X.S20260204
    [4] 陈潇.  基于决策树分类模型的糖尿病肾病进展预测量表的研制, 昆明医科大学学报. 2024, 45(8): 109-116. doi: 10.12259/j.issn.2095-610X.S20240816
    [5] 周静, 李麟玲, 汪海红, 杨玉琼.  糖尿病肾病开展Triangle分层分级管理+LEARNS模式的效果及心理状态的观察, 昆明医科大学学报. 2024, 45(4): 197-202. doi: 10.12259/j.issn.2095-610X.S20240429
    [6] 赵玲, 钟洪玲, 高歆茹, 李妹, 毛婷婷, 李荣勇, 柯亭羽.  SGLT-2抑制剂延缓糖尿病肾病进展的临床疗效, 昆明医科大学学报. 2023, 44(5): 60-65. doi: 10.12259/j.issn.2095-610X.S20230527
    [7] 张玮, 王保全, 雷喜锋, 王旭, 张梁.  miR-125b-5p调控HK2抑制胆囊癌细胞增殖和糖酵解, 昆明医科大学学报. 2022, 43(12): 23-29. doi: 10.12259/j.issn.2095-610X.S20221206
    [8] 曾怡, 廖云娟, 李颖, 何振坤.  达格列净治疗早期糖尿病肾病的疗效及对血清MCP-1、IL-6水平的影响, 昆明医科大学学报. 2021, 42(12): 41-46. doi: 10.12259/j.issn.2095-610X.S20211218
    [9] 薛国强, 卫欣欣, 姚娜, 赵文化.  二甲双胍通过调控PARP-1活性对2型糖尿病肾脏的保护作用, 昆明医科大学学报. 2021, 42(6): 29-37. doi: 10.12259/j.issn.2095-610X.S20210632
    [10] 杨丹.  间充质干细胞的旁分泌作用对糖尿病肾病的影响, 昆明医科大学学报. 2016, 37(10): -.
    [11] 李会芳.  糖尿病肾病易感基因位点多态性的交互作用, 昆明医科大学学报. 2015, 36(06): -1.
    [12] 向茜.  25羟维生素D与2型糖尿病肾病的关系, 昆明医科大学学报. 2015, 36(05): -.
    [13] 安新焕.  ACE和eNOS 2个基因多态性并存与糖尿病肾病的相关性, 昆明医科大学学报. 2015, 36(11): -.
    [14] 杜兴华.  血清胱抑素C和血清肌酐、尿素在糖尿病肾病早期诊断中的应用价值, 昆明医科大学学报. 2014, 35(03): -.
    [15] 王兴宁.  尿微量白蛋白与肌酐比值在2型糖尿病早期肾损伤中的应用, 昆明医科大学学报. 2014, 35(09): -1.
    [16] 毛文文.  布美他尼治疗老年2型糖尿病中晚期肾病的临床疗效观察, 昆明医科大学学报. 2014, 35(01): -1.
    [17] 杨黎黎.  乌拉坦影响红细胞能量代谢导致溶血反应的机制研究, 昆明医科大学学报. 2012, 33(06): -.
    [18] 唐丽丽.  GLP-1与2型糖尿病及糖尿病肾病的相关性研究, 昆明医科大学学报. 2012, 33(01): -.
    [19] α-硫辛酸对2型糖尿病早期肾病保护作用的探讨, 昆明医科大学学报. 2011, 32(03): -.
    [20] 李梅蕊.  PC-1基因多态性与2型糖尿病及糖尿病肾病的相关性研究, 昆明医科大学学报. 2008, 29(01): -.
  • 加载中
图(5) / 表(3)
计量
  • 文章访问数:  502
  • HTML全文浏览量:  212
  • PDF下载量:  87
  • 被引次数: 0
出版历程
  • 收稿日期:  2025-08-26
  • 网络出版日期:  2025-12-03

目录

    /

    返回文章
    返回