留言板

尊敬的读者、作者、审稿人, 关于本刊的投稿、审稿、编辑和出版的任何问题, 您可以本页添加留言。我们将尽快给您答复。谢谢您的支持!

姓名
邮箱
手机号码
标题
留言内容
验证码

ARNI联合标准抗心衰治疗后HFrEF患者左室逆重构的预测因素研究

陈海燕 陈伟 赵卫

陈海燕, 陈伟, 赵卫. ARNI联合标准抗心衰治疗后HFrEF患者左室逆重构的预测因素研究[J]. 昆明医科大学学报.
引用本文: 陈海燕, 陈伟, 赵卫. ARNI联合标准抗心衰治疗后HFrEF患者左室逆重构的预测因素研究[J]. 昆明医科大学学报.
Haiyan CHEN, Wei CHEN, Wei ZHAO. Predictors of Left Ventricular Reverse Remodeling in HFrEF Patients Treated with ARNI Combined with Standard Heart Failure Therapy[J]. Journal of Kunming Medical University.
Citation: Haiyan CHEN, Wei CHEN, Wei ZHAO. Predictors of Left Ventricular Reverse Remodeling in HFrEF Patients Treated with ARNI Combined with Standard Heart Failure Therapy[J]. Journal of Kunming Medical University.

ARNI联合标准抗心衰治疗后HFrEF患者左室逆重构的预测因素研究

基金项目: 国家重点研发计划资助项目(2023YFC2414200);云南省科技厅计划基金资助项目(202301AY070001-054)
详细信息
    作者简介:

    陈海燕(1995~),女,云南曲靖人,在读硕士研究生,主要从事心血管影像学研究工作

    通讯作者:

    赵卫,E-mail:kyyyzhaowei@foxmail.com

  • 中图分类号: R541.6

Predictors of Left Ventricular Reverse Remodeling in HFrEF Patients Treated with ARNI Combined with Standard Heart Failure Therapy

  • 摘要:   目的  基于心脏磁共振成像(cardiac magnetic resonance imaging,CMR),分析影响射血分数降低的心力衰竭(heart failure with reduced ejection fraction,HFrEF)患者经血管紧张素受体脑啡肽酶抑制剂(angiotensin rceptor-nepilysin inhibitor,ARNI)联合标准抗心衰药物治疗后发生左心室逆重构(left ventricular reverse remodelling,LVRR)的影响因素。  方法  本研究纳入就诊于昆明医科大学第一附属医院的HFrEF患者65名,均采用ARNI联合标准抗心衰药物治疗。收集患者的临床资料、用药情况、CMR及超声心动图指标。根据超声心动图随访结果分为LVRR组和非LVRR组,并进行统计学分析。  结果  患者中位随访时间10(5,20)个月。LVRR组31例(48%),非LVRR组34例(52%)。与非LVRR组相比,LVRR组ARNI起始剂量较高,房颤发生率较低,室间隔厚度、左室侧壁厚度、心肌质量及心肌质量指数较高,左心房前后径(Left Atrial Anterior-Posterior Diameter,LAAPD)较小,钆延迟强化(late gadolinium enhancement,LGE)心肌占左室心肌质量百分比(LGE%)较低,差异均有统计学意义(P < 0.05)。将这些变量以LVRR为终点事件进行回归分析,最终得出3个LVRR的预测因素:ARNI起始剂量(OR: 3.253,95%CI: 1.277~8.285,P = 0.013)、LGE%(OR: 0.789 95%CI: 0.647~0.963,P = 0.020)、LAAPD(OR: 0.883,95%CI: 0.804~0.969,P = 0.009)。  结论  ARNI起始剂量、LGE%及LAAPD是HFrEF患者经ARNI联合标准抗心衰药物治疗后LVRR的预测因素。CMR可为ARNI抗心衰治疗提供疗效预测指标。
  • 图  1  LGE图像后处理

    A:短轴LGE序列图像。红线勾画区域为心内膜,绿线勾画区域为心外膜,蓝线勾画区域为正常心肌参考区,黄色区域为延迟强化心肌;B:左室心肌16节段LGE牛眼图。

    Figure  1.  LGE Image Post-processing

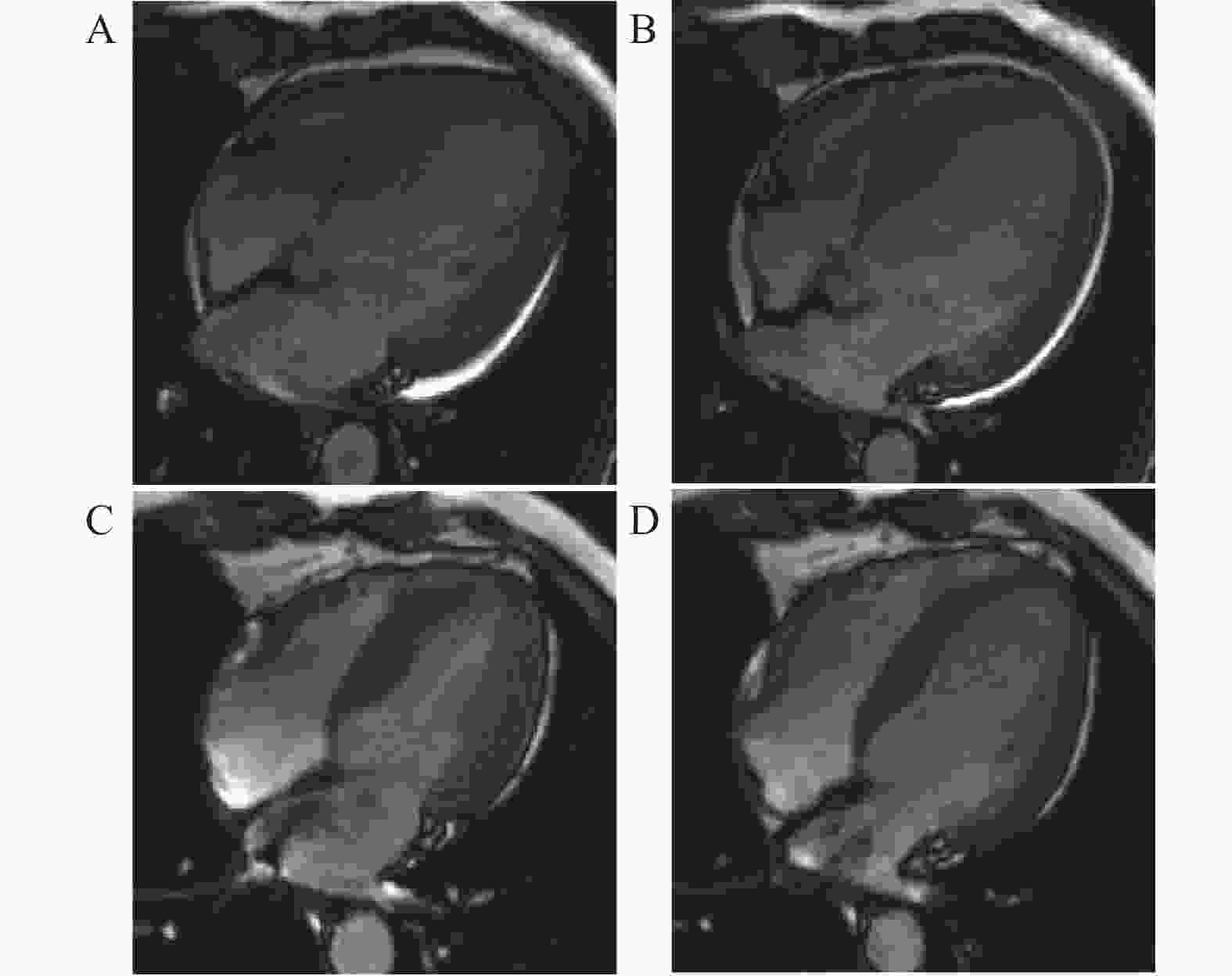
    图  2  LVRR组CMR典型病例展示

    A:治疗前四腔心电影序列收缩末期图像;B:治疗前四腔心电影序列舒张末期图像;C:治疗后四腔心电影序列收缩末期图像;D:治疗后四腔心电影序列舒张末期图像。

    Figure  2.  LVRR Group CMR Typical Case Presentation

    表  1  心脏磁共振扫描参数

    Table  1.   Cardiac magnetic resonance scan parameters

    参数序列TR(ms)TE(ms)FOV(mm)体素翻转角(°)层厚(mm)层间距(mm)
    电影序列SSFP421.4330×330160×1726082
    LGEPSIR6363.1330×330200×1522582
      注:TR:重复时间;TE:回波时间;SSFP:稳态自由进动序列;PSIR:相位敏感反转恢复序列。
    下载: 导出CSV

    表  2  LVRR组及非LVRR组治疗前后的CMR比较

    Table  2.   Comparison of baseline and follow-up CMR parameters in the LVRR and non-LVRR groups

    项目 组别 治疗前 治疗后 统计值 P
    室间隔厚度 (mm) LVRR组(n = 22) 11.1 ± 3.1 11.3 ± 3.9 t = −0.217 0.830
    非LVRR组(n = 19) 9.8 ± 2.2 9.1 ± 1.8 t = 1.263 0.223
    侧壁厚度 (mm) LVRR组(n = 22) 8.8 ± 2.5 7.6 ± 2.4 t = 2.632 0.016*
    非LVRR组(n = 19) 6.5 ± 1.6 6.0 ± 1.3 t = 1.265 0.222
    LAAPD (mm) LVRR组(n = 22) 35.5 ± 7.4 33.0 ± 6.2 t = 1.586 0.128
    非LVRR组(n = 19) 40.1 ± 8.3 38.3 ± 5.7 t = 1.043 0.311
    左心房横径 (mm) LVRR组(n = 22) 50.1 ± 9.0 40.1 ± 6.7 t = 4.358 <0.001*
    非LVRR组(n = 19) 51.3 ± 8.9 46.2 ± 8.1 t = 2.503 0.022*
    右心房横径 (mm) LVRR组(n = 22) 46.2 ± 7.8 41.5 ± 7.9 t = 1.874 0.023*
    非LVRR组(n = 19) 46.8 ± 8.5 42.4 ± 6.8 t = 2.091 0.051
    LVEDV (mL) LVRR组(n = 22) 296.0 ± 97.0 201.0 ± 106.2 t = 4.950 <0.001*
    非LVRR组(n = 19) 260.5 ± 77.1 247.3 ± 88.8 t = 1.132 0.272
    LVESV (mL) LVRR组(n = 22) 234.7 ± 91.9 115.4 ± 101.9 t = 5.678 <0.001*
    非LVRR组(n = 19) 205.7 ± 77.2 180.5 ± 89.0 t = 1.802 0.088
    SV (mL) LVRR组(n = 22) 61.3 ± 23.7 85.6 ± 17.8 t = −3.929 0.001*
    非LVRR组(n = 19) 54.8 ± 18.1 66.8 ± 24.8 t = −2.162 0.044*
    LVEF LVRR组(n = 22) 22.4 ± 10.8 48.2 ± 14.1 t = −6.972 <0.001*
    非LVRR组(n = 19) 22.6 ± 9.2 29.7 ± 13.0 t = −2.810 0.012*
    心肌质量 (g) LVRR组(n = 22) 170.5 ± 57.2 129.3 ± 43.3 t = 5.945 <0.001*
    非LVRR组(n = 19) 121.6 ± 34.5 119.9 ± 38.2 t = 0.396 0.696
    LVEDVi (mL/m2 LVRR组(n = 22) 160.9 ± 46.3 118.4 ± 66.9 t = 3.567 0.002*
    非LVRR组(n = 19) 154.9 ± 41.3 144.7 ± 50.0 t = 1.601 0.127
    LVESVi (mL/m2 LVRR组(n = 22) 127.0 ± 45.6 66.8 ± 57.2 t = 5.203 <0.001*
    非LVRR组(n = 19) 122.2 ± 42.0 105.5 ± 50.4 t = 2.229 0.039*
    SVi (mL/m2 LVRR组(n = 22) 33.9 ± 12.8 47.3 ± 10.0 t = −4.387 <0.001*
    非LVRR组(n = 19) 32.7 ± 9.9 39.2 ± 13.8 t = −2.040 0.056
    心肌质量指数 (g/m2 LVRR组(n = 22) 91.8 ± 25.6 69.8 ± 20.3 t = 5.542 <0.001*
    非LVRR组(n = 19) 72.1 ± 16.4 69.5 ± 17.0 t = 0.999 0.331
    GRS LVRR组(n = 22) 7.5 (6.3,9.6) 24.1 (14.3,27.7) Z = −3.912 <0.001*
    非LVRR组(n = 19) 7.9 (6.1,11.3) 11.3 (7.4,16.3) Z = −3.099 0.002*
    GCS LVRR组(n = 22) −6.2 (−7.6,−5.2) −15.7 (−17.1,−10.8) Z = −3.977 <0.001*
    非LVRR组(n = 19) −6.3 (−8.7,−5.0) −8.1 (−11.2,−6.1) Z = −2.999 0.003*
    GLS LVRR组(n = 22) −5.7 (−7.1,−3.9) −12.7 (−13.7,−8.2) Z = −4.107 <0.001*
    非LVRR组(n = 19) −6.4 (−8.2,−4.4) −7.9 (−11.7,−6.5) Z = −2.417 0.016*
    LGE% LVRR组(n = 22) 0.8 (0.0,1.4) 0.9 (0.0,1.8) Z = −2.145 0.032*
    非LVRR组(n = 19) 2.6 (0.9,10.0) 2.8 (0.5,10.3) Z = −0.804 0.421
      *P < 0.05。
    下载: 导出CSV

    表  3  非LVRR组与LVRR组临床资料比较

    Table  3.   Comparison of clinical characteristics between LVRR and non-LVRR groups

    项目 非LVRR组(n = 34) LVRR组(n = 31) 统计值 P
    年龄(岁) 50.0 ± 14.0 46.0 ± 14.0 t = 1.187 0.240
    性别(男性)[n(%)] 19(55.9) 22(71.0) χ2 = 1.584 0.208
    高血压史[n(%)] 14(41.2) 18(58.1) χ2 = 1.850 0.174
    收缩压(mmHg) 118.0 ± 22.0 123.0 ± 19.0 t = −0.999 0.322
    舒张压(mmHg) 77.0 ± 14.0 80.0 ± 15.0 t = −0.660 0.512
    BSA(m²) 1.7 ± 0.2 1.8 ± 0.2 t = −1.920 0.059
    BNP(pg/mL) 847.0(206.5,1593.7 516.0(138.9,980.2) Z = −1.865 0.062
    NT-ProBNP(pg/mL) 1254.5(464.0,6502.0 1166.0(402.0,2356.0 Z = −1.169 0.242
    肌酐(μmol/L) 86.3 ± 23.1 102.7 ± 30.1 t = −2.475 0.016*
    心率(次/min) 83.0 ± 12.0 82.0 ± 11.0 t = 0.280 0.780
    房颤[n(%)] 6(17.6) 0(0.0) 0.025*
    左束支传导阻滞[n(%)] 6(17.6) 4(12.9) χ2 = 0.280 0.596
      *P < 0.05.
    下载: 导出CSV

    表  6  非LVRR组与LVRR组超声心动图比较

    Table  6.   Comparison of echocardiographic parameters between LVRR and non-LVRR groups

    项目非LVRR组(n = 34)LVRR组(n = 31)统计值P
    LVEDD(mm)61.0 ± 8.064.0 ± 9.0t = −1.3630.178
    LVEDV(mL)217.0 ± 83.0230.0 ± 85.0t = −0.6320.530
    LVESV(mL)131.0 ± 54.0153.0 ± 67.0t = −1.4360.156
    LVEF(%)34.0 ± 11.034.0 ± 8.0t = −0.0500.960
    下载: 导出CSV

    表  4  非LVRR组与LVRR组用药情况比较

    Table  4.   Comparison of medications between LVRR and non-LVRR groups

    项目 非LVRR组(n = 34) LVRR组(n = 31) 统计值 P
    ARNI起始剂量[n(%)] Z = 12.743 0.006*
     25(mg/bid) 16(47.1) 6(19.4)
     50(mg/bid) 15(44.1) 16(51.6)
     100(mg/bid) 3(8.8) 9(29.0)
    β受体阻滞剂[n(%)] 31(91.2) 31(100.0) 0.240
    盐皮质激素受体拮抗剂[n(%)] 32(94.1) 26(83.9) 0.244
    利尿剂[n(%)] 26(76.5) 27(87.1) χ2 = 1.216 0.270
      *P < 0.05.
    下载: 导出CSV

    表  5  非LVRR组与LVRR组CMR比较

    Table  5.   Comparison of CMR between LVRR and non-LVRR groups

    项目 非LVRR组(n = 34) LVRR组(n = 31) 统计值 P
    室间隔厚度(mm) 9.3 ± 2.7 10.9 ± 3.1 t = −2.194 0.032*
    侧壁厚度(mm) 6.4 ± 1.6 8.0 ± 2.5 t = −3.034 0.004*
    LAAPD(mm) 40.9 ± 9.0 35.0 ± 7.5 t = 2.875 0.005*
    左心房横径(mm) 51.2 ± 10.3 49.6 ± 9.5 t = 0.635 0.528
    右心房横径(mm) 45.1 ± 8.1 45.4 ± 7.2 t = −0.170 0.865
    LVEDV(mL) 261.6 ± 86.9 274.8 ± 90.8 t = −0.600 0.551
    LVESV(mL) 206.6 ± 86.1 215.9 ± 85.9 t = −0.433 0.666
    SV(mL) 55.0 ± 18.1 59.0 ± 23.3 t = −0.773 0.442
    LVEF(%) 23.0 ± 9.5 23.0 ± 10.7 t = −0.024 0.981
    心肌质量(g) 123.1 ± 42.6 157.3 ± 55.3 t = −2.810 0.007*
    LVEDVi(mL/m2 156.5 ± 45 154.2 ± 41.8 t = 0.213 0.832
    LVESVi(mL/m2 123.2 ± 45.4 120.4 ± 41.3 t = 0.259 0.796
    SVi(mL/m2 33.3 ± 10.8 33.8 ± 13.4 t = −0.167 0.868
    心肌质量指数(g/m2 73.2 ± 19.5 87.6 ± 24.3 t = −2.634 0.011*
    GRS(%) 8.0(6.1,11.3) 8.0(6.3,12.8) Z = −0.158 0.875
    GCS(%) −6.3(−8.7,−5.0) −6.4(−9.4,−5.2) Z = −0.184 0.854
    GLS(%) −6.1(−9.0,−4.4) −6.0(−7.9,−3.9) Z = −0.348 0.728
    LGE%(%) 3.3(1.2,10.0) 0.8(0.0,1.4) Z = −3.700 <0.001*
      *P < 0.05。
    下载: 导出CSV

    表  7  单因素及多因素Logistic回归分析

    Table  7.   Univariate and multivariate logistic regression analysis

    项目 单因素分析 多因素分析
    P OR(95%置信区间) P OR(95%置信区间)
    房颤 0.999 /
    肌酐 0.022* 1.024(1.003~1.045)
    ARNI起始剂量 0.009* 2.739(1.290~5.831) 0.013* 3.253(1.277~8.285)
    室间隔厚度 0.037* 1.212(1.011~1.454)
    左心室侧壁厚度 0.007* 1.440(1.106~1.877)
    心肌质量指数 0.015* 1.031(1.006~1.056)
    LAAPD 0.010* 0.913(0.852~0.979) 0.009* 0.883(0.804~0.969)
    LGE% 0.008* 0.767(0.629~0.934) 0.020* 0.789(0.647~0.963)
      *P < 0.05。
    下载: 导出CSV
  • [1] 中华医学会心血管病学分会, 中国医师协会心血管内科医师分会, 中国医师协会心力衰竭专业委员会, 等. 中国心力衰竭诊断和治疗指南2024[J]. 中华心血管病杂志, 2024, 52(3): 235-275.
    [2] Hao G, Wang X, Chen Z, et al. Prevalence of heart failure and left ventricular dysfunction in China: The China Hypertension Survey, 2012–2015[J]. Eur J Heart Fail, 2019, 21(11): 1329-1337. doi: 10.1002/ejhf.1629
    [3] Wang H, Li Y, Chai K, et al. Mortality in patients admitted to hospital with heart failure in China: A nationwide Cardiovascular Association Database-Heart Failure Centre Registry cohort study[J]. Lancet Glob Health, 2024, 12(4): e611-e622. doi: 10.1016/S2214-109X(23)00605-8
    [4] 张健, 邹长虹. 扩张型心肌病患者左心室逆重构[J]. 中华心血管病杂志, 2016, 44(4): 287-291.
    [5] Klem I, Klein M, Khan M, et al. Relationship of LVEF and myocardial scar to long-term mortality risk and mode of death in patients with nonischemic cardiomyopathy[J]. Circulation, 2021, 143(14): 1343-1358. doi: 10.1161/CIRCULATIONAHA.120.048477
    [6] McDonagh T A, Metra M, Adamo M, et al. 2021 ESC Guidelines for the diagnosis and treatment of acute and chronic heart failure[J]. Eur Heart J, 2021, 42(36): 3599-3726. doi: 10.1093/eurheartj/ehab368
    [7] Docherty K F, Vaduganathan M, Solomon S D, et al. Sacubitril/valsartan: Neprilysin inhibition 5 years after PARADIGM-HF[J]. JACC Heart Fail, 2020, 8(10): 800-810.
    [8] 中华医学会心血管病学分会心力衰竭学组, 中国医师协会心力衰竭专业委员会, 中华心血管病杂志编辑委员会. 中国心力衰竭诊断和治疗指南2018[J]. 中华心血管病杂志, 2018, 46(10): 760-789.
    [9] Mitchell C, Rahko P S, Blauwet L A, et al. Guidelines for performing a comprehensive transthoracic echocardiographic examination in adults: Recommendations from the American society of echocardiography[J]. J Am Soc Echocardiogr, 2019, 32(1): 1-64. doi: 10.1016/j.echo.2018.06.004
    [10] Kramer C M, Barkhausen J, Bucciarelli-Ducci C, et al. Standardized cardiovascular magnetic resonance imaging (CMR) protocols: 2020 update[J]. J Cardiovasc Magn Reson, 2020, 22(1): 17. doi: 10.1186/s12968-020-00607-1
    [11] Li Z, Han D, Qi T, et al. Hemoglobin A1c in type 2 diabetes mellitus patients with preserved ejection fraction is an independent predictor of left ventricular myocardial deformation and tissue abnormalities[J]. BMC Cardiovasc Disord, 2023, 23(1): 49. doi: 10.1186/s12872-023-03082-5
    [12] 高薇, 陈伟, 王钰, 等. CMR分层纵向应变对肥厚型心肌病心内膜下LGE预测价值初探[J]. 昆明医科大学学报, 2024, 45(8): 58-66.
    [13] Barison A, Aimo A, Ortalda A, et al. Late gadolinium enhancement as a predictor of functional recovery, need for defibrillator implantation and prognosis in non-ischemic dilated cardiomyopathy[J]. Int J Cardiol, 2018, 250: 195-200. doi: 10.1016/j.ijcard.2017.10.043
    [14] Merlo M, Pyxaras S A, Pinamonti B, et al. Prevalence and prognostic significance of left ventricular reverse remodeling in dilated cardiomyopathy receiving tailored medical treatment[J]. J Am Coll Cardiol, 2011, 57(13): 1468-1476. doi: 10.1016/j.jacc.2010.11.030
    [15] 唐婷, 胡凤丽, 孙伟, 等. 2023年ACC射血分数保留的心力衰竭患者管理指南解读[J]. 河北医科大学学报, 2024, 45(12): 1369-1373.
    [16] Kido K, Bianco C, Caccamo M, et al. Evaluating sacubitril/valsartan dose dependence on clinical outcomes in patients with heart failure with reduced ejection fraction[J]. Ann Pharmacother, 2021, 55(9): 1069-1075. doi: 10.1177/1060028020983522
    [17] Chen W W, Jiang J, Gao J, et al. Efficacy and safety of low-dose sacubitril/valsartan in heart failure patients: A systematic review and meta-analysis[J]. Clin Cardiol, 2023, 46(3): 296-303. doi: 10.1002/clc.23971
    [18] Schaper J, Speiser B. The extracellular matrix in the failing human heart[J]. Basic Res Cardiol, 1992, 87(Suppl 1): 303-309.
    [19] Abhayaratna W P, Seward J B, Appleton C P, et al. Left atrial size physiologic determinants and clinical applications[J]. J Am Coll Cardiol, 2006, 47(12): 2357-2363.
    [20] Claus P, Omar A M S, Pedrizzetti G, et al. Tissue tracking technology for assessing cardiac mechanics principles, normal values, and clinical applications[J]. JACC Cardiovasc Imag, 2015, 8(12): 1444-1460. doi: 10.1016/j.jcmg.2015.11.001
    [21] Chen K, Chang L, Huang R, et al. Left atrial conduit strain derived from cardiac magnetic resonance is an independent predictor of left ventricular reverse remodeling in patients with nonischemic cardiomyopathy[J]. BMC Med Imag, 2024, 24(1): 2. doi: 10.1186/s12880-023-01162-8
    [22] Mullens W, Abrahams Z, Francis G S, et al. Importance of venous congestion for worsening of renal function in advanced decompensated heart failure[J]. J Am Coll Cardiol, 2009, 53(7): 589-596. doi: 10.1016/j.jacc.2008.05.068
    [23] Priori S G, Blomström-Lundqvist C, Mazzanti A, et al. 2015 ESC Guidelines for the management of patients with ventricular arrhythmias and the prevention of sudden cardiac death: The Task Force for the Management of Patients with Ventricular Arrhythmias and the Prevention of Sudden Cardiac Death of the European Society of Cardiology (ESC)Endorsed by: Association for European Paediatric and Congenital Cardiology (AEPC)[J]. Eur Heart J, 2015, 36(41): 2793-2867. doi: 10.1093/eurheartj/ehv316
    [24] Papanastasiou C A, Bazmpani M A, Kokkinidis D G, et al. The prognostic value of right ventricular ejection fraction by cardiovascular magnetic resonance in heart failure: A systematic review and meta-analysis[J]. Int J Cardiol, 2022, 368: 94-103. doi: 10.1016/j.ijcard.2022.08.008
  • [1] 徐孟丹, 向虹, 高晓龙, 张进, 吴海燕, 王礼琳.  达格列净对射血分数轻度下降性心力衰竭患者心脏结构及功能的影响, 昆明医科大学学报. 2024, 45(11): 95-102. doi: 10.12259/j.issn.2095-610X.S20241114
    [2] 董丹红, 王维雯, 李德霞, 杨军, 李娜, 马航, 李琳.  慢性射血分数降低的心力衰竭患者药物治疗现状云南单中心调查分析, 昆明医科大学学报. 2023, 44(8): 77-84. doi: 10.12259/j.issn.2095-610X.S20230822
    [3] 杨文雨, 周丽坤, 唐艳, 张卫平.  急性脑血管病诊断中磁共振扩散加权成像与动脉自旋标记的应用价值, 昆明医科大学学报. 2022, 43(4): 70-74. doi: 10.12259/j.issn.2095-610X.S20220413
    [4] 张莉, 岳梨蓉, 王睿, 陈涌, 岳万远, 丁昱.  磁共振成像在无髁突骨折的颞颌关节即刻损伤中的诊断价值, 昆明医科大学学报. 2021, 42(12): 106-111. doi: 10.12259/j.issn.2095-610X.S20211228
    [5] 王维雯, 李德霞, 张杰, 李琳.  射血分数降低的心力衰竭患者血清可溶性ST2与心脏重构的相关性, 昆明医科大学学报. 2021, 42(8): 71-77. doi: 10.12259/j.issn.2095-610X.S20210813
    [6] 李云玲, 鲍天昊, 张亚洲, 田伟盟, 毛文文, 胡晓云, 李华, 顾俊.  左心室射血分数<45%的老年慢性心衰患者合并认知功能障碍的影响因素, 昆明医科大学学报. 2019, 40(07): 69-73.
    [7] 林义临, 张宏, 丁筱雪.  脑啡肽酶抑制剂治疗慢性心衰的研究进展, 昆明医科大学学报. 2019, 40(05): 1-4.
    [8] 毕国力, 龚霞蓉, 张洁, 芮茂萍, 任丽香, 陈渝晖, 陈婧.  磁共振3D-BRAVO增强成像在脑静脉窦血栓中的诊断价值, 昆明医科大学学报. 2018, 39(07): 58-60.
    [9] 蔡莉, 段楚玮, 朱云珍, 赵卫, 何波, 张振光.  磁共振小肠造影多序列联合成像在小肠疾病诊断中的应用, 昆明医科大学学报. 2017, 38(10): 74-78.
    [10] 施湖涛, 宋光义, 龙治刚.  昆明本地人群心脏房室径线及心室收缩功能正常值的磁共振正常参考值, 昆明医科大学学报. 2017, 38(08): 20-24.
    [11] 白向锋, 陶杰, 蒙俊, 杨伟.  左心室重建术对左心室重构的影响, 昆明医科大学学报. 2017, 38(11): 34-39.
    [12] 黄振华, 石鑫, 王辉涛, 张劲松, 王光, 郝金刚, 刘建和.  磁共振弥散加权成像在膀胱癌T分期的应用价值, 昆明医科大学学报. 2016, 37(12): 67-71.
    [13] 李燕萍.  射血分数保留的心力衰竭临床特征, 昆明医科大学学报. 2016, 37(04): -.
    [14] 杨少华.  血清多种肿瘤标记物联合磁共振成像在胰腺癌中的诊断价值, 昆明医科大学学报. 2015, 36(09): -1.
    [15] 白向锋.  脑钠素(BNP)评价左心室重建术对急性心肌梗死后左心室重构的影响, 昆明医科大学学报. 2014, 35(10): -1.
    [16] 王庆慧.  三维斑点追踪成像技术评价房间隔缺损患者左心室扭转的临床应用, 昆明医科大学学报. 2013, 34(02): -.
    [17] 陈丽星.  血管紧张素-(1-7)对野百合碱诱导的肺动脉高压及右心室重构的影响, 昆明医科大学学报. 2013, 34(01): -.
    [18] 谢筱晞.  3.0T磁共振成像评价踝关节运动损伤的应用价值, 昆明医科大学学报. 2012, 33(05): -.
    [19] 王甄.  磁共振成像对膝关节半月板损伤的诊断价值分析, 昆明医科大学学报. 2010, 31(01): -.
    [20] 郝金钢.  磁共振灌注加权成像对原发性肝癌诊断的初步研究, 昆明医科大学学报. 2007, 28(06): -.
  • 加载中
图(2) / 表(7)
计量
  • 文章访问数:  1
  • HTML全文浏览量:  0
  • PDF下载量:  0
  • 被引次数: 0
出版历程
  • 收稿日期:  2025-06-03

目录

    /

    返回文章
    返回