留言板

尊敬的读者、作者、审稿人, 关于本刊的投稿、审稿、编辑和出版的任何问题, 您可以本页添加留言。我们将尽快给您答复。谢谢您的支持!

姓名
邮箱
手机号码
标题
留言内容
验证码

miR-16-5p通过介导GPR30表达促进OGD模型小胶质细胞的炎症反应和凋亡

李智勇 陈政刚 彭俊 梁大中

李智勇, 陈政刚, 彭俊, 梁大中. miR-16-5p通过介导GPR30表达促进OGD模型小胶质细胞的炎症反应和凋亡[J]. 昆明医科大学学报. doi: 10.12259/j.issn.2095-610X.S20251003
引用本文: 李智勇, 陈政刚, 彭俊, 梁大中. miR-16-5p通过介导GPR30表达促进OGD模型小胶质细胞的炎症反应和凋亡[J]. 昆明医科大学学报. doi: 10.12259/j.issn.2095-610X.S20251003
Zhiyong LI, Zhenggang CHEN, Jun PENG, Dazhong LIANG. miR-16-5p Promotes Inflammation and Apoptosis in Oxygen-Glucose Deprivation Microglia Model by Mediating GPR30 Expression[J]. Journal of Kunming Medical University. doi: 10.12259/j.issn.2095-610X.S20251003
Citation: Zhiyong LI, Zhenggang CHEN, Jun PENG, Dazhong LIANG. miR-16-5p Promotes Inflammation and Apoptosis in Oxygen-Glucose Deprivation Microglia Model by Mediating GPR30 Expression[J]. Journal of Kunming Medical University. doi: 10.12259/j.issn.2095-610X.S20251003

miR-16-5p通过介导GPR30表达促进OGD模型小胶质细胞的炎症反应和凋亡

doi: 10.12259/j.issn.2095-610X.S20251003
基金项目: 海南省自然科学基金高层次人才项目(822RC865);海南省脑血管病临床医学研究中心专项基金(LCYX202309);韩国世翰大学研究基金(SH2025-20-238120)
详细信息
    作者简介:

    李智勇(1976~),男,黑龙江鹤岗人,医学硕士,副主任医师,主要从事脑血管病和脑肿瘤研究工作

    通讯作者:

    梁大中,E-mail:pt6226@sehan.ac.kr

  • 中图分类号: R741

miR-16-5p Promotes Inflammation and Apoptosis in Oxygen-Glucose Deprivation Microglia Model by Mediating GPR30 Expression

  • 摘要:   目的  探究在缺血性中风小胶质细胞(BV-2)体外模型中,miR-16-5p通过靶向GPR30表达促进细胞凋亡和炎症反应的分子机制。  方法  通过氧-葡萄糖剥夺(oxygen glucose deprivation,OGD)处理BV-2细胞构建缺血性中风的细胞模型。qRT-PCR评估OGD细胞中miR-16-5p和GPR30 mRNA表达水平。在OGD细胞中转染miR-16-5p inhibitor沉默miR-16-5p表达,并通过ELISA试剂盒和Annexin V-FITC/PI染色检测miR-16-5p对OGD细胞模型的炎症反应和凋亡的变化。通过Starbase预测和双荧光素酶报告基因实验验证miR-16-5p靶向GPR30的3'-非翻译区(UTR)序列。在OGD细胞中敲低miR-16-5p或/和GPR30检测细胞炎症反应和凋亡的变化。  结果  miR-16-5p在OGD诱导的细胞中表达升高(P < 0. 01),而GPR30表达降低(P < 0. 01)。敲低miR-16-5p抑制了OGD细胞的炎症因子表达水平以及细胞凋亡的比例(P < 0. 01)。抑制miR-16-5p表达能够上调GPR30 mRNA和蛋白质水平(P < 0. 01)。同时沉默miR-16-5p和GPR30,能够部分促进单独转染miR-16-5p inhibitor细胞的炎症因子表达水平和细胞凋亡的比例(P < 0. 05)。  结论   在小胶质细胞OGD模型中,miR-16-5p通过抑制GPR30的表达,激活小胶质细胞的炎症反应,促进其凋亡。
  • 图  1  miR-16-5p和GPR30在OGD模型BV-2细胞中的表达水平($ \bar x \pm s $,n = 3)

    *P < 0.01;***P < 0.001。

    Figure  1.  Expression levels of miR-16-5p and GPR30 in OGD model BV-2 cells ($ \bar x \pm s $,n = 3)

    图  2  敲低miR-16-5p后各组细胞的炎症因子含量($ \bar x \pm s $,n = 3)

    *P < 0.05;**P < 0.01;***P < 0.001。

    Figure  2.  Levels of inflammatory factors in each group after miR-16-5p knockdown ($ \bar x \pm s $,n = 3)

    图  3  敲低miR-16-5p后各组细胞的凋亡和炎症蛋白的表达水平变化 ($ \bar x \pm s $,n = 3)

    A:凋亡和炎症蛋白在各组细胞中的免疫印迹图;B:凋亡和炎症蛋白相对表达量分析;*P < 0.05;**P < 0.01。

    Figure  3.  Changes in apoptosis and expression levels of inflammatory proteins in various groups of cells after knocking down miR-16-5p ($ \bar x \pm s $,n = 3)

    图  4  敲低miR-16-5p后各组细胞的凋亡比例 ($ \bar x \pm s $,n = 3)

    A: 敲低miR-16-5p后对各组细胞凋亡的影响;B:敲低miR-16-5p后各组细胞凋亡率;***P < 0.001。

    Figure  4.  Apoptosis ratio of cells in each group after knocking down miR-16-5p ($ \bar x \pm s $,n = 3)

    图  5  生物信息学预测miR-16-5p和GPR30的靶向调控位点

    Figure  5.  Bioinformatics prediction of targeted regulatory sites for miR-16-5p and GPR30

    图  6  miR-16-5p靶向负调控GPR30的表达 ($ \bar x \pm s $,n = 3)

    ***P < 0.001。

    Figure  6.  miR-16-5p targeting negative regulation of GPR30 expression ($ \bar x \pm s $,n = 3)

    图  7  抑制miR-16-5p对GPR30 mRNA在细胞中的表达水平的影响 ($ \bar x \pm s $,n = 3)

    *P < 0.05;**P < 0.01。

    Figure  7.  Effect of inhibiting miR-16-5p on the expression level of GPR30 mRNA in cells ($ \bar x \pm s $,n = 3)

    图  8  抑制miR-16-5p对GPR30蛋白质在细胞中的表达水平的影响 ($ \bar x \pm s $,n = 3)

    A:GPR30蛋白在各组细胞中的免疫印迹图;B:GPR30蛋白相对表达量柱状图;**P < 0.01。

    Figure  8.  Effect of miR-16-5p inhibition on the expression level of GPR30 protein in cells ($ \bar x \pm s $,n = 3)

    图  9  miR-16-5p调控GPR30 mRNA的表达 ($ \bar x \pm s $,n = 3)

    **P < 0.01;***P < 0.001。

    Figure  9.  miR-16-5p regulates the expression of GPR30 mRNA ($ \bar x \pm s $,n = 3)

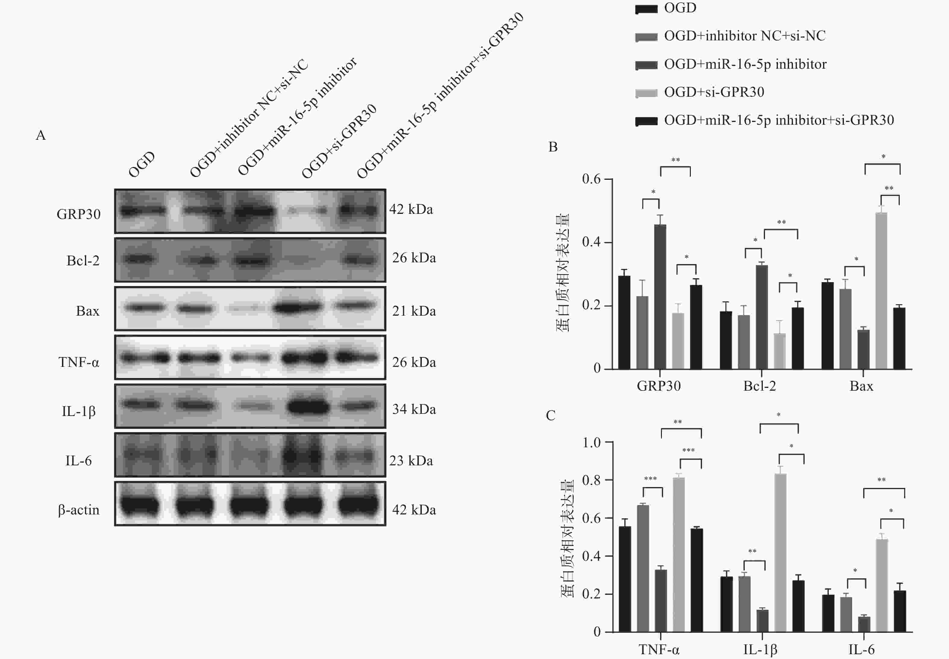
    图  12  miR-16-5p调控GPR30蛋白介导细胞凋亡和炎症蛋白的表达水平($ \bar x \pm s $,n = 3)

    A:GRP30、凋亡和炎症蛋白在各组细胞中的免疫印迹图;B:GRP30和凋亡蛋白相对表达量;C:炎症蛋白相对表达量;*P < 0.05;**P < 0.01;***P < 0.001。

    Figure  12.  miR-16-5p regulates GPR30 protein mediated apoptosis and expression levels of inflammatory proteins ($ \bar x \pm s $,n = 3)

    图  10  miR-16-5p调控GPR30介导炎症反应 ($ \bar x \pm s $,n = 3)

    *P < 0.05;**P < 0.01;***P < 0.001。

    Figure  10.  miR-16-5p regulates GPR30 mediated inflammatory response ($ \bar x \pm s $,n = 3)

    图  11  miR-16-5p调控GPR30介导细胞凋亡 ($ \bar x \pm s $,n = 3)

    A: 敲低miR-16-5p或/和GPR30后对各组细胞凋亡的影响;B:敲低miR-16-5p或/和GPR30后各组细胞凋亡率;*P < 0.05;**P < 0.01;***P < 0.001。

    Figure  11.  miR-16-5p regulates GPR30 mediated cell apoptosis ($ \bar x \pm s $,n = 3)

    表  1  qRT-PCR引物序列

    Table  1.   qRT-PCR primer sequences

    基因 正向引物序列(5'-3' 反向引物序列(5'-3'
    miR-16-5p GCAGCACGTAAATATTGGC GAACATGTCTGCGTATCTC
    GPR30 GCCACATAGTCAACCTTGCAGC CGTCTTCTGCTCCACATAGAGC
    U6 GAACGCCTCATGATTTGCAGG AGAAGACTGAAACAGCACAGAGA
    GAPDH CATCACTGCCACCCAGAAGACTG ATGCCAGTGAGCTTCCCGTTCAG
    下载: 导出CSV
  • [1] Gong Z, Guo J, Liu B, et al. Mechanisms of immune response and cell death in ischemic stroke and their regulation by natural compounds[J]. Front Immunol, 2023, 14: 1287857.
    [2] Khoshnam S E, Winlow W, Farzaneh M, et al. Pathogenic mechanisms following ischemic stroke[J]. Neurol Sci, 2017, 38(7): 1167-1186. doi: 10.1007/s10072-017-2938-1
    [3] Kumari S, Dhapola R, Sharma P, et al. The impact of cytokines in neuroinflammation-mediated stroke[J]. Cytokine Growth Factor Rev, 2024, 78: 105-119. doi: 10.1016/j.cytogfr.2024.06.002
    [4] Yang S, Qin C, Chen M, et al. TREM2-IGF1 mediated glucometabolic enhancement underlies microglial neuroprotective properties during ischemic stroke[J]. Adv Sci (Weinh), 2024, 11(10): e2305614. doi: 10.1002/advs.202305614
    [5] Guan X, Zhu S, Song J, et al. Microglial CMPK2 promotes neuroinflammation and brain injury after ischemic stroke[J]. Cell Rep Med, 2024, 5(5): 101522. doi: 10.1016/j.xcrm.2024.101522
    [6] Diener C, Keller A, Meese E. The miRNA-target interactions: An underestimated intricacy[J]. Nucleic Acids Res, 2024, 52(4): 1544-1557. doi: 10.1093/nar/gkad1142
    [7] Diener C, Keller A, Meese E. Emerging concepts of miRNA therapeutics: From cells to clinic[J]. Trends Genet, 2022, 38(6): 613-626. doi: 10.1016/j.tig.2022.02.006
    [8] Fehlmann T, Lehallier B, Schaum N, et al. Common diseases alter the physiological age-related blood microRNA profile[J]. Nat Commun, 2020, 11(1): 5958. doi: 10.1038/s41467-020-19665-1
    [9] Peng S, Shen L, Yu X, et al. miR-200a attenuated oxidative stress, inflammation, and apoptosis in dextran sulfate sodium-induced colitis through activation of Nrf2[J]. Front Immunol, 2023, 14: 1196065. doi: 10.3389/fimmu.2023.1196065
    [10] Macvanin M, Obradovic M, Zafirovic S, et al. The role of miRNAs in metabolic diseases[J]. Curr Med Chem, 2023, 30(17): 1922-1944. doi: 10.2174/0929867329666220801161536
    [11] Li H, Duan J, Zhang T, et al. miR-16-5p aggravates sepsis-associated acute kidney injury by inducing apoptosis[J]. Ren Fail, 2024, 46(1): 2322688. doi: 10.1080/0886022X.2024.2322688
    [12] Zhao Q C, Xu Z W, Peng Q M, et al. Enhancement of miR-16-5p on spinal cord injury-induced neuron apoptosis and inflammatory response through inactivating ERK1/2 pathway[J]. J Neurosurg Sci, 2024, 68(1): 101-108.
    [13] Hadjimarkou M M, Vasudevan N. GPER1/GPR30 in the brain: Crosstalk with classical estrogen receptors and implications for behavior[J]. J Steroid Biochem Mol Biol, 2018, 176: 57-64. doi: 10.1016/j.jsbmb.2017.04.012
    [14] Zhang Z, Qin P, Deng Y, et al. The novel estrogenic receptor GPR30 alleviates ischemic injury by inhibiting TLR4-mediated microglial inflammation[J]. J Neuroinflammation, 2018, 15(1): 206. doi: 10.1186/s12974-018-1246-x
    [15] Kanazawa M, Ninomiya I, Hatakeyama M, et al. Microglia and monocytes/macrophages polarization reveal novel therapeutic mechanism against stroke[J]. Int J Mol Sci, 2017, 18(10): 2135. doi: 10.3390/ijms18102135
    [16] Wei W, Zhang L, Xin W, et al. TREM2 regulates microglial lipid droplet formation and represses post-ischemic brain injury[J]. Biomed Pharmacother, 2024, 170: 115962. doi: 10.1016/j.biopha.2023.115962
    [17] Kolosowska N, Gotkiewicz M, Dhungana H, et al. Intracerebral overexpression of miR-669c is protective in mouse ischemic stroke model by targeting MyD88 and inducing alternative microglial/macrophage activation[J]. J Neuroinflammation, 2020, 17(1): 194. doi: 10.1186/s12974-020-01870-w
    [18] . Li G, Morris-Blanco K C, Lopez M S, et al. Impact of microRNAs on ischemic stroke: From pre- to post-disease[J]. Prog Neurobiol, 2018, 163-164(2): 59-78.
    [19] Yang X, Tang X, Sun P, et al. MicroRNA-15a/16-1 antagomir ameliorates ischemic brain injury in experimental stroke[J]. Stroke, 2017, 48(7): 1941-1947. doi: 10.1161/STROKEAHA.117.017284
    [20] Tsai P C, Liao Y C, Wang Y S, et al. Serum microRNA-21 and microRNA-221 as potential biomarkers for cerebrovascular disease[J]. J Vasc Res, 2013, 50(4): 346-354. doi: 10.1159/000351767
    [21] Peng H, Yang H, Xiang X, et al. MicroRNA-221 participates in cerebral ischemic stroke by modulating endothelial cell function by regulating the PTEN/PI3K/AKT pathway[J]. Exp Ther Med, 2020, 19(1): 443-450.
    [22] Li P, Teng F, Gao F, et al. Identification of circulating microRNAs as potential biomarkers for detecting acute ischemic stroke[J]. Cell Mol Neurobiol, 2015, 35(3): 433-447. doi: 10.1007/s10571-014-0139-5
    [23] Badacz R, Kleczynski P, Legutko J, et al. Expression of miR-1-3p, miR-16-5p and miR-122-5p as possible risk factors of secondary cardiovascular events[J]. Biomedicines, 2021, 9(8): 1055. doi: 10.3390/biomedicines9081055
    [24] Toro R, Perez-Serra A, Mangas A, et al. miR-16-5p suppression protects human cardiomyocytes against endoplasmic reticulum and oxidative stress-induced injury[J]. Int J Mol Sci, 2022, 23(3): 1036. doi: 10.3390/ijms23031036
    [25] Briz V, Liu Y, Zhu G, et al. A novel form of synaptic plasticity in field CA3 of hippocampus requires GPER1 activation and BDNF release[J]. J Cell Biol, 2015, 210(7): 1225-1227. doi: 10.1083/jcb.201504092
    [26] Day N L, Floyd C L, D'Alessandro T L, et al. 17beta-estradiol confers protection after traumatic brain injury in the rat and involves activation of G protein-coupled estrogen receptor 1[J]. J Neurotrauma, 2013, 30(17): 1531-1541. doi: 10.1089/neu.2013.2854
    [27] Wang X S, Yue J, Hu L N, et al. Activation of G protein-coupled receptor 30 protects neurons by regulating autophagy in astrocytes[J]. Glia, 2020, 68(1): 27-43. doi: 10.1002/glia.23697
  • [1] 李妍平, 李青芸, 霍蓉, 董小林, 李红梅, 魏欢, 曾毅.  miR-21-5p靶向STAT3调节OGD/R诱导的神经元损伤, 昆明医科大学学报. 2025, 46(5): 12-20. doi: 10.12259/j.issn.2095-610X.S20250502
    [2] 周晓娟, 杨立斌, 杨鹏, 龚浩, 杨旭.  微体外循环对冠状动脉搭桥术后全身炎症反应和输血需求的影响, 昆明医科大学学报. 2025, 46(3): 58-65. doi: 10.12259/j.issn.2095-610X.S20250310
    [3] 杨曼, 赵兴安, 葛芸娜, 秦娟, 王玺雅, 陶四明.  基于综合生物信息分析鉴定心房颤动相关炎症基因及其与免疫细胞浸润的关联, 昆明医科大学学报. 2024, 45(3): 18-29. doi: 10.12259/j.issn.2095-610X.S20240303
    [4] 李妍平, 董小林, 李青芸, 李红梅, 魏欢, 曾毅.  miR-21-5p通过抑制STAT3缓解OGD诱导的HT22细胞炎症和凋亡并促进增殖, 昆明医科大学学报. 2024, 45(12): 1-7.
    [5] 蔡冰, 张伟, 刘静, 刘屹.  miR-218-5p通过调控LAYN抑制结肠癌发展的机制, 昆明医科大学学报. 2023, 44(12): 32-40. doi: 10.12259/j.issn.2095-610X.S20231206
    [6] 赵亚玲, 武坤, 王凯, 黄蓉, 何根娅, 纳玉辉, 何苗, 丁臻博, 张彩营.  妊娠期糖尿病宫内高血糖环境对子代外周炎症反应的影响, 昆明医科大学学报. 2023, 44(11): 70-75. doi: 10.12259/j.issn.2095-610X.S20231110
    [7] 张晔琳, 马丽娅, 彭旭晖, 杨禾丰, 佘睿.  hsa-let-7a-5p调控牙周膜干细胞增殖及凋亡, 昆明医科大学学报. 2023, 44(10): 47-54. doi: 10.12259/j.issn.2095-610X.S20231028
    [8] 张梁, 王保全, 雷喜锋, 王旭, 柯阳, 张玮.  miR-29c-3p/IGF1分子轴对肝星状细胞活化,增殖和凋亡的作用机制, 昆明医科大学学报. 2023, 44(9): 7-14. doi: 10.12259/j.issn.2095-610X.S20230926
    [9] 孙健玮, 向茜, 刘子超, 徐珊珊, 丁丁.  PTEN基因表达对甲状腺癌BCPAP和FTC133细胞凋亡以及ERK和AKT表达的影响, 昆明医科大学学报. 2021, 42(8): 23-30. doi: 10.12259/j.issn.2095-610X.S20210805
    [10] 尹赛格, 孙俊, 杨新旺.  外源性应用多肽分子防治缺血性脑卒中损伤的研究进展, 昆明医科大学学报. 2021, 42(9): 156-161. doi: 10.12259/j.issn.2095-610X.S20210929
    [11] 李俊杰, 蒋海燕, 白文娅, 霍思颖, 孙志生, 邵建林.  沉默RND3表达对氧糖缺失/复氧复糖损伤海马神经细胞炎症反应和细胞凋亡的影响, 昆明医科大学学报. 2021, 42(10): 14-21. doi: 10.12259/j.issn.2095-610X.S20211012
    [12] 李飞.  西乐葆对骨折延迟愈合患者血液流变学和炎症因子水平的影响, 昆明医科大学学报. 2016, 37(10): -.
    [13] 谢姝姮.  小鼠缺血性脑卒中后免疫抑制及其机制, 昆明医科大学学报. 2016, 37(07): -.
    [14] 王海峰.  上调microRNA-101沉默EZH2基因表达对人膀胱癌T24细胞系增殖和凋亡的影响, 昆明医科大学学报. 2014, 35(09): -1.
    [15] 陈学平.  氨培养胎鼠神经细胞钙离子浓度变化与凋亡的相关性, 昆明医科大学学报. 2014, 35(06): -.
    [16] 孟丽红.  疏血通注射液治疗缺血性中风的临床研究, 昆明医科大学学报. 2013, 34(04): -.
    [17] 夏英杰.  SD大鼠髁状突颈部骨折对大鼠髁状突软骨细胞增殖与凋亡的影响, 昆明医科大学学报. 2012, 33(05): -.
    [18] 赵青.  细胞凋亡在Meckel’s 软骨消失中的作用研究, 昆明医科大学学报. 2012, 33(09): -.
    [19] 殷露玮.  SD大鼠脊髓全横断损伤后神经细胞凋亡的研究, 昆明医科大学学报. 2009, 30(01): -.
    [20] 李振.  多发性硬化患者外周血Annexin V结合T淋巴细胞凋亡和Fas的表达, 昆明医科大学学报. 2008, 29(01): -.
  • 加载中
图(12) / 表(1)
计量
  • 文章访问数:  56
  • HTML全文浏览量:  43
  • PDF下载量:  1
  • 被引次数: 0
出版历程
  • 收稿日期:  2025-06-25
  • 网络出版日期:  2025-09-25

目录

    /

    返回文章
    返回