留言板

尊敬的读者、作者、审稿人, 关于本刊的投稿、审稿、编辑和出版的任何问题, 您可以本页添加留言。我们将尽快给您答复。谢谢您的支持!

姓名
邮箱
手机号码
标题
留言内容
验证码

基于脑-肠轴探讨SGLT-2抑制剂通过改善脑卒中神经修复的机制

毛妮 王晓玲 翟艳钊 张蕾

毛妮, 王晓玲, 翟艳钊, 张蕾. 基于脑-肠轴探讨SGLT-2抑制剂通过改善脑卒中神经修复的机制[J]. 昆明医科大学学报.
引用本文: 毛妮, 王晓玲, 翟艳钊, 张蕾. 基于脑-肠轴探讨SGLT-2抑制剂通过改善脑卒中神经修复的机制[J]. 昆明医科大学学报.
Ni MAO, Xiaoling WANG, Yanzhao ZHAI, Lei ZHANG. Gut-Brain Axis Mediated Mechanisms of SGLT-2Inhibitors in Enhancing Neural Repair after Ischemic Stroke[J]. Journal of Kunming Medical University.
Citation: Ni MAO, Xiaoling WANG, Yanzhao ZHAI, Lei ZHANG. Gut-Brain Axis Mediated Mechanisms of SGLT-2Inhibitors in Enhancing Neural Repair after Ischemic Stroke[J]. Journal of Kunming Medical University.

基于脑-肠轴探讨SGLT-2抑制剂通过改善脑卒中神经修复的机制

基金项目: 山东省卫生健康委员会科研项目(20221890)
详细信息
    作者简介:

    毛妮(1985~),女,山东烟台人,硕士研究生,主治医师,主要从事神经重症及脑血管病研究工作

  • 中图分类号: R743.3

Gut-Brain Axis Mediated Mechanisms of SGLT-2Inhibitors in Enhancing Neural Repair after Ischemic Stroke

  • 摘要:   目的  探讨达格列净(dapagliflozin,DAP)对缺血性脑卒中(ischemic stroke,IS)大鼠大脑中动脉阻塞(middle cerebral artery occlusion,MCAO)模型的神经保护作用及机制。   方法  建立MCAO模型,将大鼠随机分为假手术组、模型组和DAP组(n = 10)。DAP组于再灌注2 h后灌胃[1 mg/(kg·d)],连续7 d。检测大鼠神经功能缺损评分(modified neurological severity score,mNSS)、脑梗死体积、脑含水量及海马神经元凋亡;16S核糖体RNA(16S ribosomal RNA,16S rRNA)测序分析菌群;酶联免疫吸附试验(enzyme linked immunosorbent assay,ELISA)测定血清神经生长因子(nerve growth factor,NGF)、脑源性神经营养因子(brain-derived neurotrophic factor,BDNF)、D-乳酸(D-lactic acid,D-LA)、二胺氧化酶(diamine oxidase,DAO)及多种炎症因子(inflammatory cytokines),包括肿瘤坏死因子-α(tumor necrosis factor-α,TNF-α)、白细胞介素-1β(interleukin-1β,IL-1β)和白细胞介素-6(interleukin-6,IL-6)等;采用 Western blot 方法检测紧密连接蛋白1(zonula occludens-1,ZO-1)、闭锁蛋白(Occludin)、紧密连接蛋白 Claudin-1(claudin-1,CLDN-1)、切割型半胱天冬酶-3(cleaved caspase-3)、高级糖基化终产物相关核蛋白(high mobility group box 1,HMGB1)、高级糖基化终产物受体(receptor for advanced glycation end products,RAGE)、核因子κB(nuclear factor-κB,NF-κB)及磷酸化核因子κB(phosphorylated nuclear factor-κB,p-NF-κB)水平。  结果  与模型组相比,DAP组mNSS评分降低(P < 0.01),脑梗死体积、脑含水量及神经元凋亡减少(P < 0.01)。DAP组乳酸杆菌属(Lactobacillus)、双歧杆菌属(Bifidobacterium)丰度升高,肠杆菌属(Enterobacter)下降,并与mNSS相关(P < 0.001)。DAP提高血清NGF、BDNF,降低D-乳酸、DAO及炎症因子(P < 0.01),上调ZO-1、Occludin、Claudin-1,下调cleaved Caspase-3、HMGB1、RAGE、NF-κB及p-NF-κB(P < 0.01)。  结论  DAP可通过抑制凋亡与炎症、调节肠道菌群来改善MCAO大鼠神经功能和脑损伤。
  • 图  1  DAP对大鼠脑组织的影响($ \bar x \pm s $,n = 3)

    A:TTC染色显示各组大鼠脑梗死情况;B:各组大鼠脑梗死体积比较;C:各组大鼠脑含水量比较。与假手术组比较,*P < 0.01;与模型组比较,#P < 0.01。

    Figure  1.  Effects of DAP on rat brain tissue ($ \bar x \pm s $,n = 3)

    图  2  DAP对大鼠海马神经元凋亡率影响($ \bar x \pm s $,n = 3)

    A:TUNEL染色显示各组大鼠海马组织神经元凋亡情况(×200);B:各组大鼠海马组织神经元凋亡率的统计学分析。与假手术组比较,*P < 0.01;与模型组比较,#P < 0.01。

    Figure  2.  Effect of DAP on apoptosis rate of rat hippocampal neurons ($ \bar x \pm s $,n = 3)

    图  3  各组大鼠肠道菌群相对丰度变化比较($ \bar x \pm s $,n = 5)

    与假手术组比较,*P < 0.01;与模型组比较,#P < 0.01。

    Figure  3.  Comparison of relative abundance of intestinal flora among groups of rats($ \bar x \pm s $,n = 5)

    图  4  DAP对大鼠血清相关指标的影响($ \bar x \pm s $,n = 5)

    A:各组大鼠血清中NGF和BDNF水平比较;B:各组大鼠血清中D-乳酸和DAO水平比较;C:各组大鼠血清中IL-8和IL-6水平比较。与假手术组比较,*P < 0.01;与模型组比较,#P < 0.01。

    Figure  4.  Effect of DAP on serum related indexes in rats ($ \bar x \pm s $,n = 5)

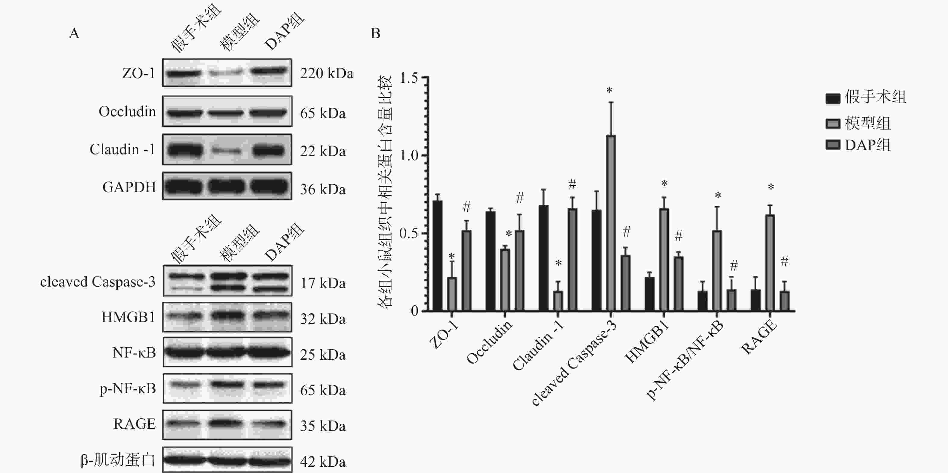
    图  5  DAP对大鼠结肠及脑组织蛋白表达的影响($ \bar x \pm s $,n = 3)

    A:各组大鼠结肠和脑组织相关蛋白的表达情况;B:各组大鼠组织相关蛋白相对表达水平的统计学分析。与假手术组比较,*P < 0.01;与模型组比较,#P < 0.01。

    Figure  5.  Effect of DAP on protein expression in rat colon and brain tissue ($ \bar x \pm s $,n = 3)

    表  1  各组大鼠mNSS评分比较($ \bar x \pm s $,n = 10)

    Table  1.   Comparison of mNSS scores in groups of rats ($ \bar x \pm s $,n = 10)

    组别 假手术组 模型组 DAP组
    mNSS评分(分) 0.00 ± 0.00 13.06 ± 0.73* 6.50 ± 0.54 #
      与假手术组比较,*P < 0.01;与模型组比较,#P < 0.01。
    下载: 导出CSV

    表  2  各组大鼠菌群相对丰度与mNSS评分的相关性关系

    Table  2.   Correlation analysis between relative abundance of bacterial flora and mNSS score in rats

    菌群神经功能评分
    rP
    双歧杆菌属−0.896<0.001
    乳酸杆菌属−0.926<0.001
    肠杆菌属0.922<0.001
    下载: 导出CSV
  • [1] Ding Q, Liu S, Yao Y, et al. Global, regional, and national burden of ischemic stroke, 1990–2019[J]. Neurology, 2022, 98(3): e279-e290.
    [2] Zhao Y, Zhang X, Chen X, et al. Neuronal injuries in cerebral infarction and ischemic stroke: From mechanisms to treatment[J]. Int J Mol Med, 2022, 49(2): 1-9.
    [3] Mira R G, Lira M, Cerpa W. Traumatic brain injury: mechanisms of glial response[J]. Front Physiol, 2021, 12: 740939. doi: 10.3389/fphys.2021.740939
    [4] Pan Y, Shi G. Silver jubilee of stroke thrombolysis with alteplase: evolution of the therapeutic window[J]. Front Neurol, 2021, 12: 593887. doi: 10.3389/fneur.2021.593887
    [5] Fischesser D M, Bo B, Benton R P, et al. Controlling reperfusion injury with controlled reperfusion: Historical perspectives and new paradigms[J]. J Cardiovasc Pharmacol Ther, 2021, 26(6): 504-523. doi: 10.1177/10742484211046674
    [6] Zhou S Y, Guo Z N, Yang Y, et al. Gut-brain axis: Mechanisms and potential therapeutic strategies for ischemic stroke through immune functions[J]. Front Neurosci, 2023, 17: 1081347. doi: 10.3389/fnins.2023.1081347
    [7] Huang Q, Xia J. Influence of the gut microbiome on inflammatory and immune response after stroke[J]. Neurol Sci, 2021, 42(12): 4937-4951. doi: 10.1007/s10072-021-05603-6
    [8] Liu Y, Zhao P, Cai Z, et al. Buqi-Huoxue-Tongnao decoction drives gut microbiota-derived indole lactic acid to attenuate ischemic stroke via the gut-brain axis[J]. Chin Med, 2024, 19(1): 126. doi: 10.1186/s13020-024-00991-1
    [9] Zou X, Wang L, Xiao L, et al. Gut microbes in cerebrovascular diseases: gut flora imbalance, potential impact mechanisms and promising treatment strategies[J]. Front Immunol, 2022, 13: 975921. doi: 10.3389/fimmu.2022.975921
    [10] Kamp Y J M, de Ligt M, Dautzenberg B, et al. Effects of the SGLT2 inhibitor dapagliflozin on energy metabolism in patients with type 2 diabetes: a randomized, double-blind crossover trial[J]. Diabetes Care, 2021, 44(6): 1334-1343. doi: 10.2337/dc20-2887
    [11] Brown E, Wilding J P H, Alam U, et al. The expanding role of SGLT2 inhibitors beyond glucose-lowering to cardiorenal protection[J]. Ann Med, 2021, 53(1): 2072-2089. doi: 10.1080/07853890.2020.1841281
    [12] Giglio R V, Patti A M, Rizvi A A, et al. Advances in the pharmacological management of diabetic nephropathy: a 2022 international update[J]. Biomedicines, 2023, 11(2): 291. doi: 10.3390/biomedicines11020291
    [13] Chidambaram S B, Rathipriya A G, Mahalakshmi A M, et al. The influence of gut dysbiosis in the pathogenesis and management of ischemic stroke[J]. Cells, 2022, 11(7): 1239. doi: 10.3390/cells11071239
    [14] Biose I J, Chastain W H, Wang H, et al. Optimizing intraluminal monofilament model of ischemic stroke in middle-aged sprague-dawley rats[J]. BMC Neurosci, 2022, 23(1): 75. doi: 10.1186/s12868-022-00764-2
    [15] Nuszkiewicz J, Kukulska-Pawluczuk B, Piec K, et al. Intersecting pathways: the role of metabolic dysregulation, gastrointestinal microbiome, and inflammation in acute ischemic stroke pathogenesis and outcomes[J]. J Clin Med, 2024, 13(14): 4258. doi: 10.3390/jcm13144258
    [16] Simats A, Liesz A. Systemic inflammation after stroke: implications for post‐stroke comorbidities[J]. EMBO Mol Med, 2022, 14(9): e16269. doi: 10.15252/emmm.202216269
    [17] Saeed M M. Repurposing dapagliflozin for Alzheimer's disease: a mechanistic exploration[J]. Future J Pharm Sci, 2024, 10(1): 177. doi: 10.1186/s43094-024-00751-w
    [18] Pham L T T, Mangmool S, Parichatikanond W. Sodium-glucose cotransporter 2 (SGLT2) inhibitors: Guardians against mitochondrial dysfunction and endoplasmic reticulum stress in heart diseases[J]. ACS Pharmacol Transl Sci, 2024, 7(11): 3279-3298. doi: 10.1021/acsptsci.4c00240
    [19] Huang X, Hussain B, Chang J. Peripheral inflammation and blood–brain barrier disruption: effects and mechanisms[J]. CNS Neurosci Ther, 2021, 27(1): 36-47. doi: 10.1111/cns.13569
    [20] Sakaue T, Fujishima Y, Fukushima Y, et al. Adiponectin accumulation in the retinal vascular endothelium and its possible role in preventing early diabetic microvascular damage[J]. Sci Rep, 2022, 12(1): 4159. doi: 10.1038/s41598-022-08041-2
    [21] Zhang X, Li H, Zhao Y, et al. Neuronal injury after ischemic stroke: Mechanisms of crosstalk involving necroptosis[J]. J Mol Neurosci, 2025, 75(1): 15. doi: 10.1007/s12031-025-02313-y
    [22] Li N, Zhu Q X, Li G Z, et al. Empagliflozin ameliorates diabetic cardiomyopathy probably via activating AMPK/PGC-1α and inhibiting the RhoA/ROCK pathway[J]. World J Diabetes, 2023, 14(12): 1862. doi: 10.4239/wjd.v14.i12.1862
    [23] Zhang J X, Yuan W C, Li C G, et al. A review on the mechanisms underlying the antitumor effects of natural products by targeting the endoplasmic reticulum stress apoptosis pathway[J]. Front Pharmacol, 2023, 14: 1293130. doi: 10.3389/fphar.2023.1293130
    [24] Xie W, Yan X, Yang X, et al. The regulation of neuroinflammatory response after stroke by intestinal flora microorganisms[J]. Front Cell Infect Microbiol, 2025, 15: 1594834. doi: 10.3389/fcimb.2025.1594834
    [25] Gong X, Liu Y, Liu X, et al. Disturbance of gut bacteria and metabolites are associated with disease severity and predict outcome of NMDAR encephalitis: A prospective case–control study[J]. Front Immunol, 2022, 12: 791780. doi: 10.3389/fimmu.2021.791780
    [26] Lu Q, Guo Y, Yang G, et al. Structure and anti-inflammation potential of lipoteichoic acids isolated from Lactobacillus strains[J]. Foods, 2022, 11(11): 1610. doi: 10.3390/foods11111610
    [27] Jing Y, Yang D, Bai F, et al. Spinal cord injury-induced gut dysbiosis influences neurological recovery partly through short-chain fatty acids[J]. NPJ Biofilms Microbiomes, 2023, 9(1): 99. doi: 10.1038/s41522-023-00466-5
    [28] Yang L, Li X, Zhu X, et al. Involvement of role of HMGB1-NLRP3 pathway in systemic disorders[J]. Front Cell Dev Biol, 2025, 13: 1600596. doi: 10.3389/fcell.2025.1600596
  • [1] 王艾云, 王雨婷, 蔡静, 倪若妍, 罗彩莹, 喻卓, 陈鹏.  肠道菌群及其代谢产物在动脉粥样硬化发生发展中的作用, 昆明医科大学学报. 2024, 45(12): 160-166. doi: 10.12259/j.issn.2095-610X.S20241223
    [2] 牛俊杰, 姬文娟, 于拽拽.  肠道菌群、血清ET、PCT水平与脓毒症病情程度、预后的相关性, 昆明医科大学学报. 2024, 45(4): 140-145. doi: 10.12259/j.issn.2095-610X.S20240420
    [3] 李媛媛, 宋亚贤, 徐玉善, 曾晓甫, 袁惠, 徐兆, 江艳.  肠道菌群代谢物TMAO与非酒精性脂肪性肝病的关系, 昆明医科大学学报. 2024, 45(2): 77-84. doi: 10.12259/j.issn.2095-610X.S20240210
    [4] 董莉, 宁荣萍, 肖琼怡.  多模态超声影像联合临床指标预测缺血性脑卒中进展价值, 昆明医科大学学报. 2024, 45(3): 166-173. doi: 10.12259/j.issn.2095-610X.S20240325
    [5] 李波, 孙杨, 缪应雷.  炎症性肠病的肠道微生态变化及对策, 昆明医科大学学报. 2024, 45(4): 1-8. doi: 10.12259/j.issn.2095-610X.S20240401
    [6] 王海军, 邱良武, 习杨彦彬, 庞俊娣.  有氧运动干预慢性脑缺血学习记忆能力研究进展, 昆明医科大学学报. 2024, 45(3): 186-191. doi: 10.12259/j.issn.2095-610X.S20240328
    [7] 刘孟雪, 缪佳, 盛雪鹤.  血UA、Smad1蛋白、尿mALB含量与2型糖尿病肾病患者达格列净治疗效果的相关性分析, 昆明医科大学学报. 2024, 45(4): 170-176. doi: 10.12259/j.issn.2095-610X.S20240425
    [8] 聂忠顺, 缪应雷.  生物制剂背景下粪菌移植对炎症性肠病的应用前景, 昆明医科大学学报. 2024, 45(10): 147-154. doi: 10.12259/j.issn.2095-610X.S20241023
    [9] 徐孟丹, 向虹, 高晓龙, 张进, 吴海燕, 王礼琳.  达格列净对射血分数轻度下降性心力衰竭患者心脏结构及功能的影响, 昆明医科大学学报. 2024, 45(11): 95-102. doi: 10.12259/j.issn.2095-610X.S20241114
    [10] 李露, 田云粉.  肠道菌群与儿童非酒精性脂肪性肝病的研究进展, 昆明医科大学学报. 2023, 44(7): 148-155. doi: 10.12259/j.issn.2095-610X.S20230708
    [11] 张云芳, 庄杉杉, 余艳, 李铮, 吴晓明, 聂晓改.  PEAR1基因多态性与缺血性脑卒中的相关性研究, 昆明医科大学学报. 2023, 44(11): 135-139. doi: 10.12259/j.issn.2095-610X.S20231120
    [12] 李丹, 万绪莲, 李律宇, 云宇, 罗光云, 刘韦兵, 林公府, 李宁, 黎勇坤, 段为钢.  尿酸酶缺失大鼠肠道菌群的变化, 昆明医科大学学报. 2023, 44(2): 27-32. doi: 10.12259/j.issn.2095-610X.S20230205
    [13] 张成才, 宁蓉, 陈娜, 彭艺晨, 周丽, 杨晰宸, 卢静怡, 张彭跃, 李蕊.  正中神经电刺激对缺血性脑卒中大鼠突触可塑性的影响, 昆明医科大学学报. 2023, 44(12): 6-12. doi: 10.12259/j.issn.2095-610X.S20231201
    [14] 刘四香, 黄永坤, 王明英, 胡红卫, 马敏, 凌昱.  功能性便秘患儿的肠道菌群分析及治疗干预, 昆明医科大学学报. 2022, 43(3): 123-127. doi: 10.12259/j.issn.2095-610X.S20220309
    [15] 曾怡, 廖云娟, 李颖, 何振坤.  达格列净治疗早期糖尿病肾病的疗效及对血清MCP-1、IL-6水平的影响, 昆明医科大学学报. 2021, 42(12): 41-46. doi: 10.12259/j.issn.2095-610X.S20211218
    [16] 尹赛格, 孙俊, 杨新旺.  外源性应用多肽分子防治缺血性脑卒中损伤的研究进展, 昆明医科大学学报. 2021, 42(9): 156-161. doi: 10.12259/j.issn.2095-610X.S20210929
    [17] 马润, 陈孝红, 沈秀芬, 陶淑.  Lp-PLA2检测对缺血性脑卒中辅助诊断的研究, 昆明医科大学学报. 2020, 41(08): 88-93.
    [18] 刘宏伟, 姚建辉, 刘鹏军, 李卫民.  miR-145靶向PDCD4在缺血性脑卒中的作用机制, 昆明医科大学学报. 2020, 41(04): 18-24.
    [19] 李玲, 张芳, 何小凤, 胡建蓉, 吴琼.  多学科团队合作模式在缺血性脑卒中患者出院准备度中的应用, 昆明医科大学学报. 2019, 40(11): 165-170.
    [20] 王志敏.  无瓣膜病变心房纤颤患者缺血性脑卒中相关因素研究, 昆明医科大学学报. 2013, 34(03): -.
  • 加载中
图(5) / 表(2)
计量
  • 文章访问数:  59
  • HTML全文浏览量:  74
  • PDF下载量:  34
  • 被引次数: 0
出版历程
  • 收稿日期:  2025-07-25
  • 网络出版日期:  2025-12-11

目录

    /

    返回文章
    返回